5, 6 y 7 de febrero de 2026
Control analítico en paciente nuevo en el cupo.
Enfoque individual
Hombre de 76 años. No fumador. Bebedor moderado.
AP. Hipertensión arterial, hiperuricemia, temblor esencial. Sin antecedentes personales nefrológicos ni familiares conocidos de enfermedad renal.
Acude a visita para valoración de analítica reciente tras cambio de domicilio hace unos meses. Se objetiva descenso de filtrado glomerular respecto a determinaciones previas mayor de 15 ml/min/año, además de ferro pendía leve (50) con resto de análisis sin alteración.
El paciente se encuentra asintomático, con exploración física sin hallazgos relevantes.
Ante el deterioro de la función renal se solicita nuevo análisis ampliado (orina 24 h y sangre oculta en heces) y se realiza ecografía abdominal como parte de la valoración integral.
Hallazgos ecográficos
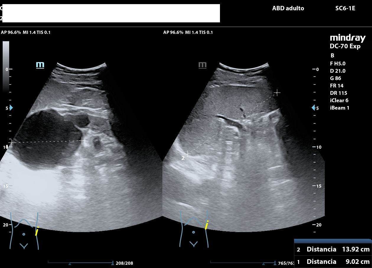
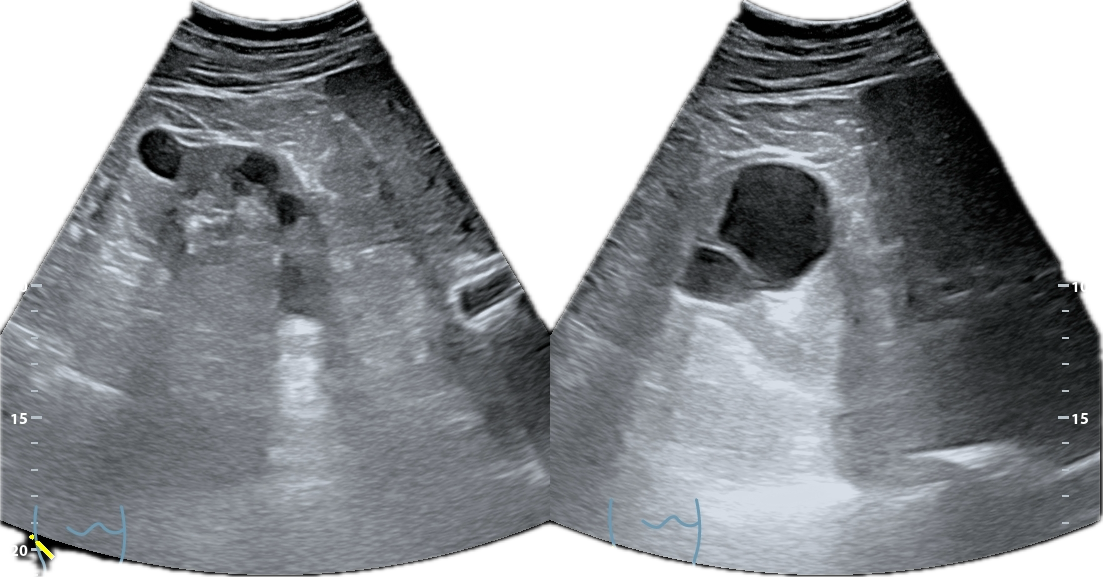
La ecografía abdominal muestra ambos riñones con múltiples quistes corticales y medulares, de diferentes diámetros, distribuidos de forma difusa.
El parénquima presenta un aspecto multiquístico que confiere una morfología global cribo forme, semejante visualmente a un «queso gruyere». No se observan litiasis, ni signos de obstrucción de la vía urinaria.
El quiste de mayor tamaño (aprox. 9 cm) se observa en riñón izquierdo; sin ecos internos, calcificaciones o sextos (categ BosniaK 2). En riñón derecho se aprecian múltiples quistes alguno de ellos con esto grueso en su interior, sin calcificaciones ni componentes sólidos en su interior (categ. BosniaK 2-3).
Pruebas complementarias
Análisis ampliado (orina 24 h y sangre oculta en heces).
Juicio clínico, diagnóstico diferencial, concordancia con el hospital (en su caso)
Enfermedad renal poliquística.
Tratamiento, planes de actuación
La correlación de los hallazgos de laboratorio con las imágenes permite optimizar el seguimiento del paciente; ampliación de pruebas analíticas y derivación al servicio de Nefrología. Además de iniciar el tto para la ferropenia tras resultado negativo de SOH y gestionar citas de seguimiento con la UAF más próximas entre sí para control de constantes y valoración de nuevos hallazgos.
Evolución
El paciente se encuentra en espera de nuevo análisis y TAC abdominopélvico solicitado a través del servicio de Nefrología.
La presencia de un deterioro del filtrado glomerular en un paciente aparentemente estable debe motivar la realización de una ecografía renal, una prueba accesible y resolutiva en Atención Primaria. En este caso permitió identificar de manera incidental una enfermedad renal poliquística previamente no diagnosticada.
La detección precoz posibilita optimizar el control clínico, ajustar tratamiento nefroprotectores y coordinar seguimiento con Nefrología.



