5, 6 y 7 de febrero de 2026
Atención Primaria.
Seguimiento analítico de hiperlipidemia
Enfoque individual
Antecedentes personales relevantes: Padres y hermano con hipercolesterolemia.
Anamnesis: hombre de 55 años no fumador, con sobrepeso (IMC 28,6 kg/m2), senderista habitual y sin síntomas cardiovasculares. En 2004, una analítica en Atención Primaria, revela colesterol total de 266 mg/dL, LDL 183 mg/dL, HDL 50 mg/dl y triglicéridos 164 mg/dl, con tensión arterial normal (120/75 mmHg) exploración física sin hallazgos. Se inicia pravastatina 20 mg, dieta y controles.
Durante los siguientes años presenta mala adherencia terapéutica, con progresivo empeoramiento del perfil lipídico. Esto obliga a reevaluar su riesgo cardiovascular.
En septiembre de 2025, una nueva analítica muestra colesterol total 319 mg/dL, LDL 180 mg/dL, triglicéridos 352 mg/dl, apoB100 174 mg/dL. Se decide realizar una ecografía multivaso para evaluar aterosclerosis subclínica y reestratificar el riesgo.
Hallazgos ecográficos
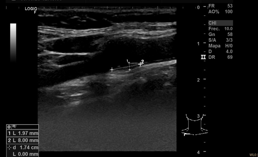
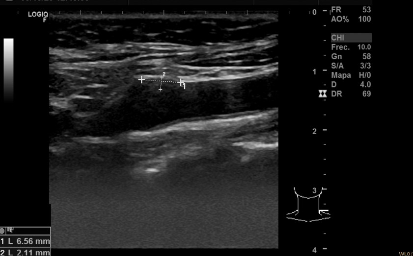
Descripción de los hallazgos ecográficos y las imágenes más relevantes para la resolución del caso: Ecografía multivaso: Placa translúcida de 1,97 x 8 mm en bulbo de carótida derecha, placa translúcida de 6,56 x 2,11 mm en carótida izquierda, placa hiperecogénica de 7,7 x 3,12 mm en femoral derecha. Aorta normal.
Juicio clínico, diagnóstico diferencial, concordancia con el hospital (en su caso)
Juicio clínico: ateromatosis multivaso.
Diagnóstico diferencial: placa de ateroma, trombo mural, engrosamiento de la íntima, arteritis, displasia fibromuscular.
Tratamiento, planes de actuación
Se intensifica tratamiento con atorvastatina 40 mg y se refuerza la educación sanitaria para mejorar la adherencia y los cambios de estilo de vida. Se realiza interconsulta a la Unidad de Riesgo Cardiovascular y Lípidos de Medicina Interna, pendiente de valoración.
Evolución
Se realizará control físico, analítico y adherencia terapeútica.
Este caso refleja que en Atención Primaria es frecuente atender a pacientes asintomáticos con dislipemia y riesgo cardiovascular aparentemente bajo o intermedio según escalas como SCORE2. Sin embargo, estas herramientas pueden subestimar la enfermedad aterosclerótica subclínica. La ecografía multivaso realizada en consulta permite detectar placas y mejorar la estratificación del riesgo, facilitando decisiones terapéuticas más precisas. Además, visualizar las placas ayuda al paciente a tomar conciencia sobre la importancia del control lipídico. El valor elevado de ApoB sugiere un exceso de partículas aterogénicas y la posible presencia de hipercolesterolemia familiar, por lo que sería necesario un estudio específico y valorar antecedentes familiares de enfermedad cardiovascular precoz.



