Comunicaciones: Casos clínicos

Reporte de caso clínico: hematoma subdural subagudo de difícil resolución, postraumático en paciente previamente sano oligosintomático (Oral)

Ámbito del caso (Atención Primaria, servicios de Urgencias o atención domiciliaria)

Servicio de urgencias.

Motivos de consulta

«Estoy lento».

Historia clínica

Enfoque individual: antecedentes personales, anamnesis, exploración, pruebas complementarias, etc.

  • Enfoque individual:
    • Antecedentes personales: Ninguno.
    • Anamnesis: paciente de 61 años acude por cuadro clínico de aproximadamente 20 días de evolución, posterior a presentar caída desde su bicicleta sufre traumatismo en hemicuerpo izquierdo y TCE sin pérdida de la conciencia (usaba casco), excoriaciones en extremidades izquierdas y dolor relacionado sin otros síntomas. Refiere desde hace 1 semana nota aletargamiento en el pensamiento y la emisión de palabras, su esposa presencia un evento en el que pierde la fuerza en el pie derecho, momentáneamente y luego recupera por completo.
    • Exploración Neurológica: Glasgow 15/15, PINRAL, MOE conservados, no disartria, pares craneales sin alteración, no déficit motor o sensitivo, Fuerza 5/5, no signos meníngeos ni de focalización, no alteración de la marcha, no adiadococinesia.
  • Pruebas complementarias:
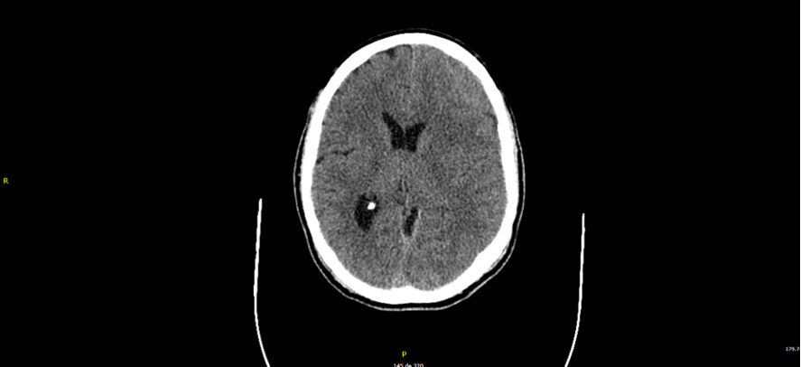
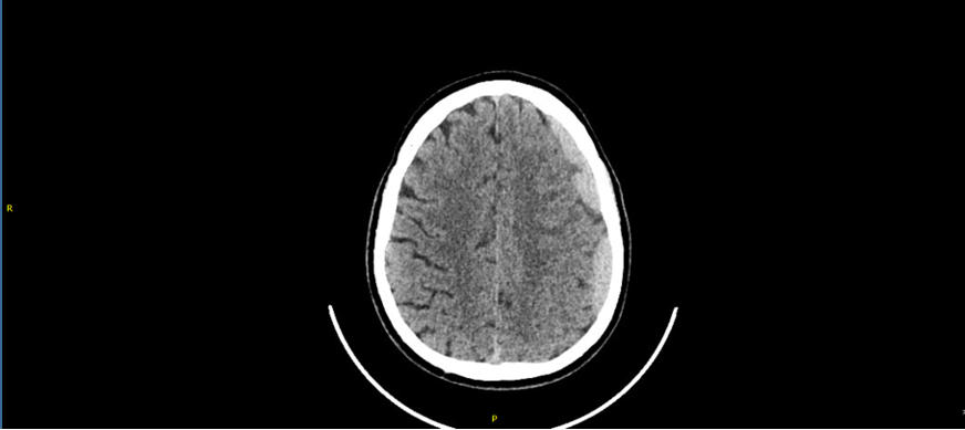
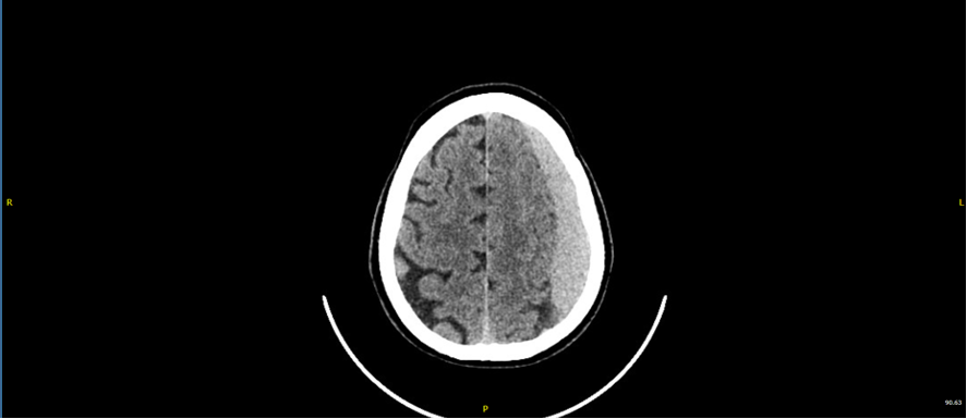
  • TAC de cráneo: Hematoma subdural frontoparietal izdo, de probable evolución subaguda. Efecto de masa sobre parénquima cerebral, con obliteración de surcos de la convexidad izda, con mínimo desplazamiento de línea media (3 mm). 

Enfoque familiar y comunitario: estudio de la familia y la comunidad (si fuese necesario)

No precisa.

Juicio clínico, diagnóstico diferencial, identificación de problemas

JUICIO CLíNICO

  • Hematoma subdural frontoparietal izquierdo subagudo postraumático
  • Bradipsiquia secundaria

IDENTIFICACION DE PROBLEMAS

  • Consulta tardía al servicio de urgencias- paciente pauci/asintomático
  • Ignorancia de los síntomas y signos de alarma en un TCE
  • Minimización de los síntomas

Tratamiento y planes de actuación.

Se comenta con el servicio de Neurocirugía consideran no patología quirúrgica urgente, indican ingreso vigilancia neurológica, profilaxis anticomicial y TAC de cráneo control en 72 horas. 

Evolución

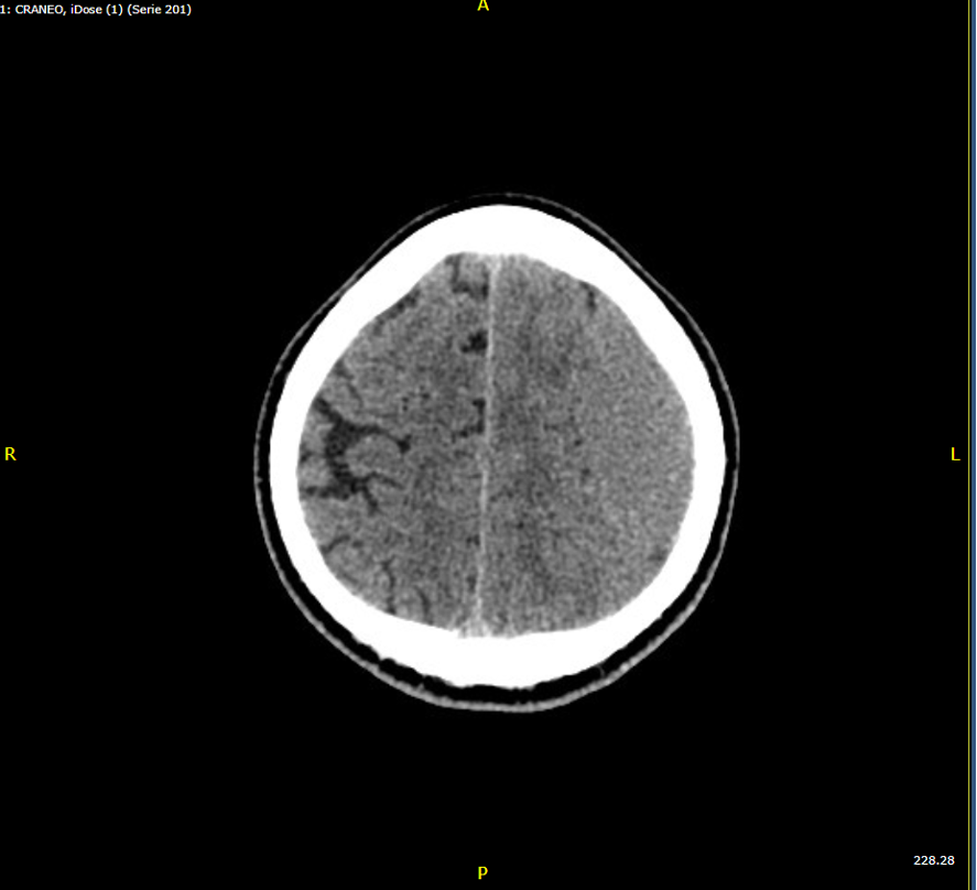
Persiste colección hemática con puntos de resangrado. El paciente persiste pauci/asintomatico se plantea puede beneficiarse de embolización de meningea media.

Conclusiones y aplicabilidad para la medicina de familia

  • La importancia de una anamnesis completa en los TCE, identificar el mecanismo y los potenciales traumatismos de alta energía, a pesar de tratarse de un individuo sano sin ttos previos anticoagulantes y/o antiagregantes.
  • La necesidad de educar a los pacientes acerca de los síntomas y signos de alarma para acudir a los servicios de salud
  • En casos de patología neurológica, el relato de los familiares quienes pueden constatar o identificar alteraciones comportamentales o físicas tempranas.
  • El riesgo de resangrado y posibles complicaciones en los sangrados intracraneales que no está confinado sólo a los pacientes con comorbilidades o alto riesgo.


Comunicaciones y ponencias semFYC: 2026; Comunicaciones: Casos clínicos. ISSN: 2339-9333

Autores

Suarez Tarazona, Karen
Hospital de Zumarraga. País Vasco