X Jornadas de Actualización en Medicina de Urgencias y VI Jornadas de Ecografía de la semFYC
6-7-8 de febrero de 2025
Atención Primaria.
Paciente de 89 años acude por tos febrícula y mucosidad a la consulta.
Antecedentes personales relevantes, anamnesis, exploración física y lugar que ocupa en ella la ecografía
Presenta antecedentes de insuficiencia cardiaca por disfuncion sistólica, EPOC con necesidad de oxigenoterapia domiciliaria 16 horas, con deterioro de la deambulacion, siendo dependiente para actividades básicas.
Hoy, acude por febrícula de hasta 37,8 ºC con tos y mucosidad desde hace una semana, aumento de su disnea basal, sin síntomas de insuficiencia cardiaca.
A la exploración el paciente se muestra normotenso, con taquicardia a 110 latidos por minuto, frecuencia respiratoria a 17 respiraciones por minuto y la pulsioximetria marca 92 con oxigenoterapia a 2 litros que porta el paciente. La exploración cardiorrespiratoria es anodina salvo subcrepitantes en base derecha y sibilantes teleinspiratorios. Exploracion abdominal normal. Miembros inferiores sin edema ni signos de trombosis.
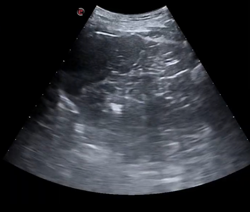
Descripción de los hallazgos ecográficos y las imágenes más relevantes para la resolución del caso
Se realiza ecografía clínica pulmonar observándose un patrón de consolidación en segmento 6 de pulmón derecho con líneas B acompañantes (mayor a 3).
Otras pruebas complementarias realizadas (si existen)
La radiografía de tórax mostraba un aumento de condensación sin clara consolidación. Aparentemente los senos costofrénicos estaban libres.
Juicio clínico, diagnóstico diferencial, concordancia con el hospital (en su caso)
Juicio clínico: neumonía adquirida en la comunidad.
Diagnóstico diferencial: neumococo, legionella pneumophila, mycoplasma pneumoniae, Coxiella Burnetti. Por lo general va a dar el diagnóstico la clínica y la prueba de imagen.
Decisiones adoptadas: tratamiento, planes de actuación
Se instauró tratamiento domiciliario con Levofloxacino cada 12 horas 10 días, terapia inhalatoria en cámara con formoterol/beclometasona/glicopirronio, con Atrovent cada 8 horas de rescate y corticoterapia durante 5 dias.
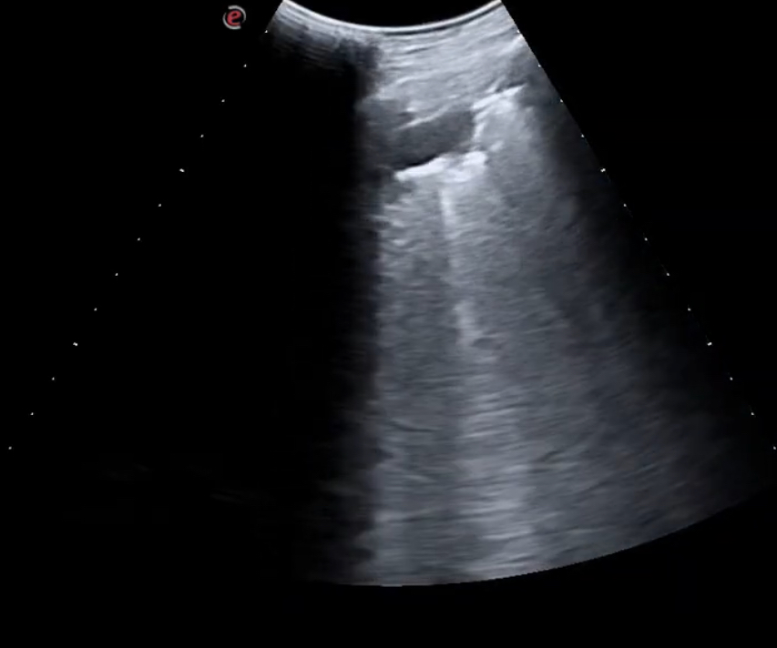
Evolución y seguimiento
Se revisó a los 15 días y el paciente presentaba una mejoría clínica, repitiéndose la ecografía y mostrando mejoría ecográfica sin presentar líneas B ni datos de condensación.
La ecografía clínica pulmonar es una herramienta muy sensible y específica que nos permite identificar lesiones que no llegan a ser visibles en la radiografía. La reproducibilidad de la técnica nos permite valorar la evolución del paciente en la propia consulta.
Con este tipo de técnicas nos podemos ahorrar, en pacientes que estén estables, el traslado hospitalario para realizar pruebas complementarias, ya que pueden ser realizadas en el centro de salud, con gran rentabilidad y menor exposición para pacientes.

