X Jornadas de Actualización en Medicina de Urgencias y VI Jornadas de Ecografía de la semFYC
6-7-8 de febrero de 2025
Urgencias Atención Primaria, derivada a Urgencias Hospitalarias.
Dolor en base de hemitórax derecho/hipocondrio derecho y disnea.
Enfoque individual: antecedentes personales, anamnesis, exploración, pruebas complementarias, etc.
EA: Femenina, 60 años, 2 semanas de dolor en base anterolateral de hemitórax derecho e hipocondrio ipsilateral, epigastralgia, tos, disnea rápidamente progresiva hasta hacerse de reposo, sin fiebre. En urgencias del CAP: hipofonesis basal derecha, sibilancias, SaO2: 91% al 0.21, no mejora con Nebulizaciones. Derivan a urgencias de Hospital para estudio y manejo.
AP: HTA, Sínd. Ansioso-Depresivo. Tabaquismo pesado.
Enfoque familiar y comunitario: estudio de la familia y la comunidad (si fuese necesario)
Ex físico: soplo tubárico e hipofonésis basal derecha, sibilancias espiratorias. Dolor en hipocondrio derecho.
Analíticas: Leucos: 8340, N: 68%. PCR: 33,7 mg/L, Procalcit: 4,2 ng/mL, Antigenuria negativa. Covid +. GGT: 176.4 UI/L, FA: 187.2 UI/L. Na: 120,8 mmol/L.
Rx Tórax: sugestiva de condensación basal derecha.
Orientada como neumonía. Inicia antibiótico, inhaladores, reposición de sodio y analgesia.
Juicio clínico, diagnóstico diferencial, identificación de problemas
Dolor progresivo persistente en hipocondrio derecho, refractario a analgesia. Se amplían estudios.
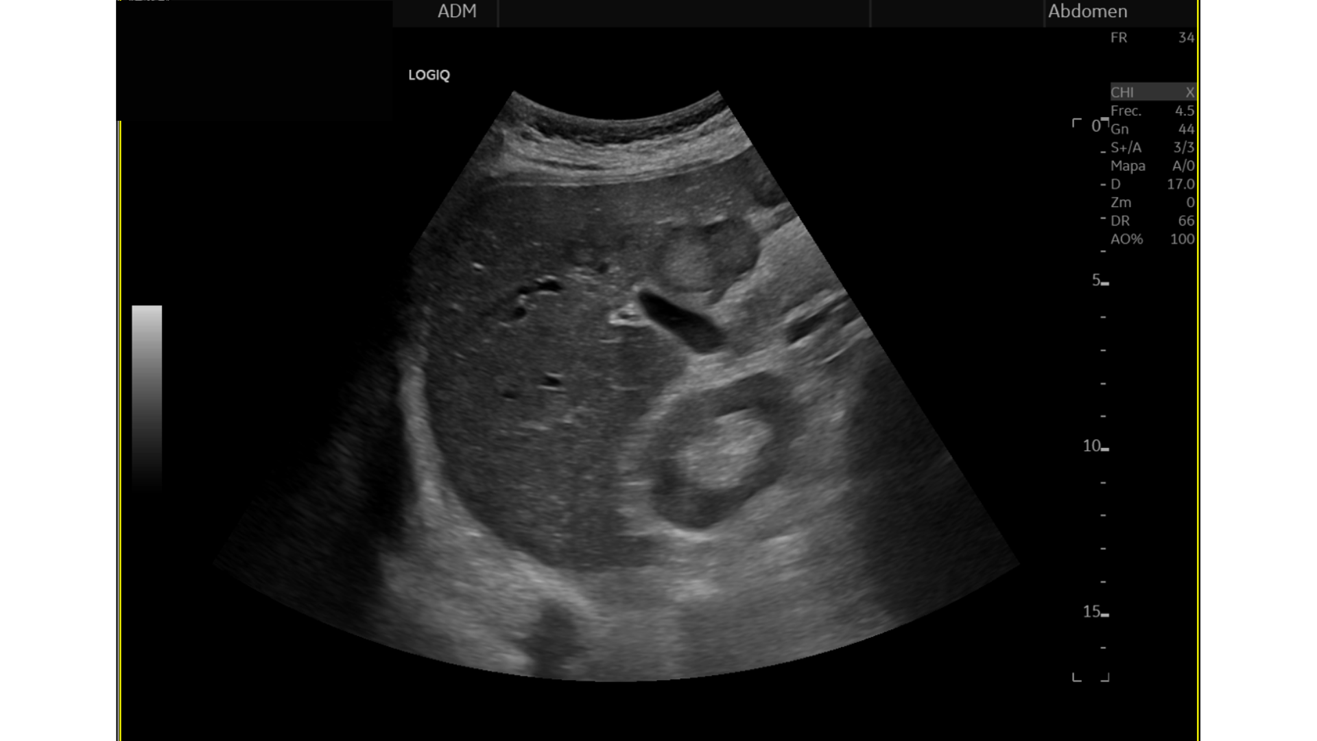
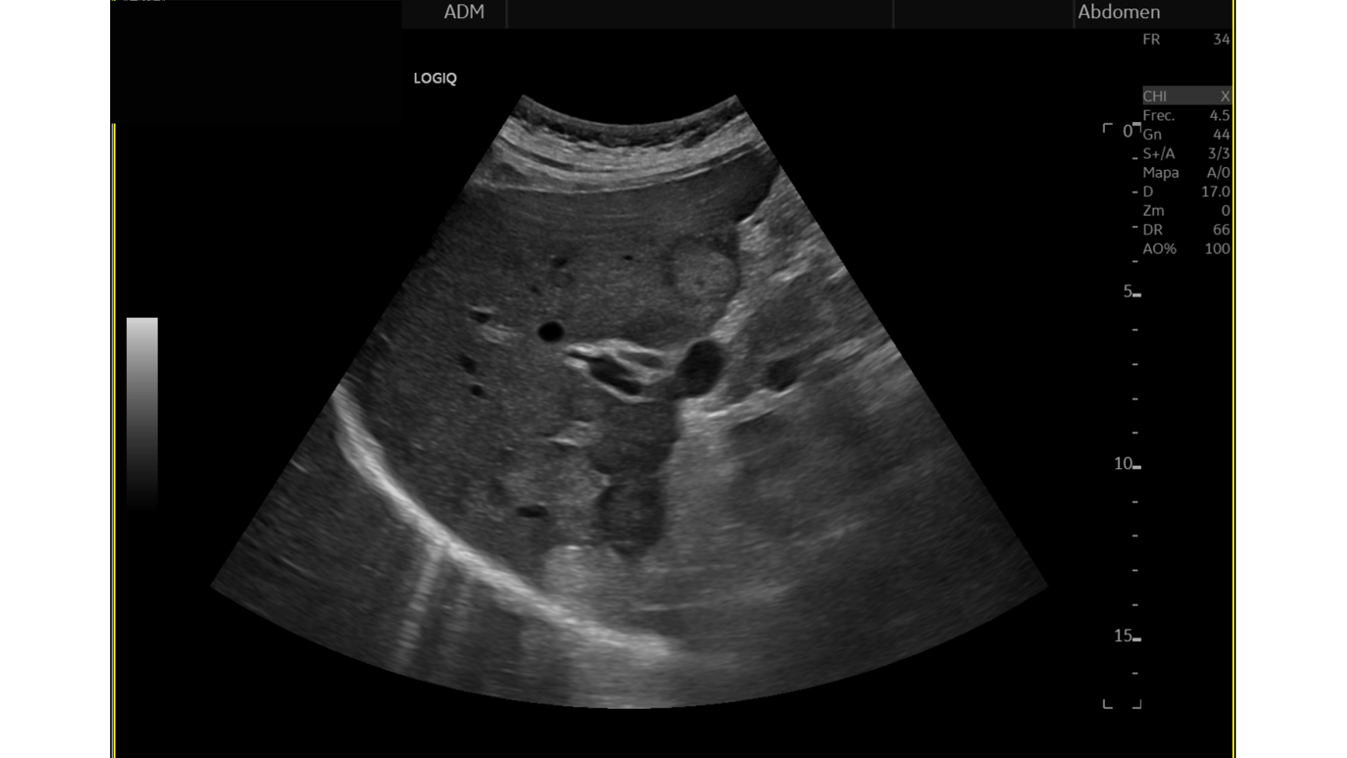
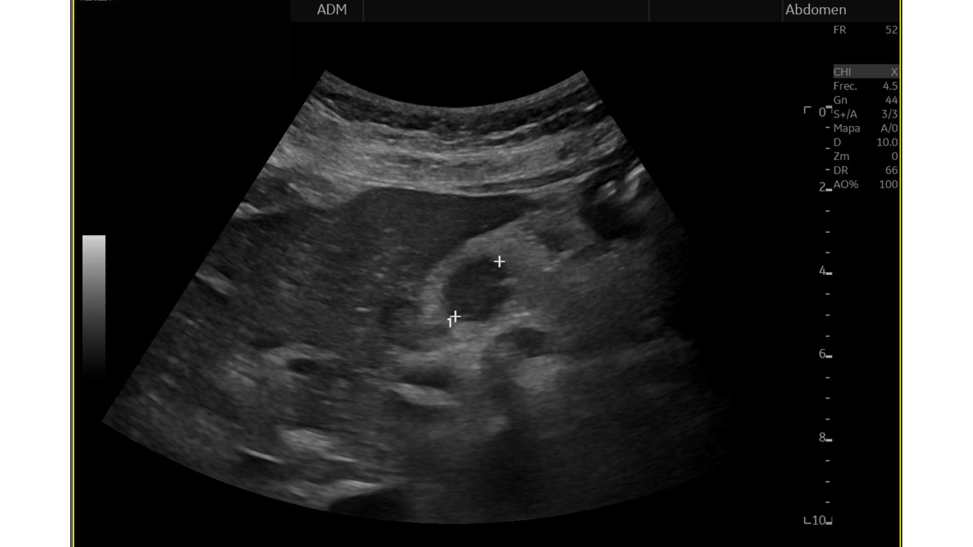
Eco Abdominal: Múltiples imágenes nodulares heterogéneas en ambos lóbulos hepáticos sugestivas de M1. Destaca imágen nodular, hipoecogénica en cabeza/cuerpo de páncreas de aprox. 17 mm, podría corresponderse con proceso neoformativo primario.
Tratamiento y planes de actuación.
Ingresa a Med. Interna: ajuste analgésico, solicitan imágenes complementarias:
TAC ToracoAbdom: Proceso neoformativo primario pulmonar, afectación hiliar y perihiliar derechas afecta LM y LID, signos sospechosos de linfangitis en hemitórax derecho, M1 en hemitórax izquierdo, adenopatías mediastínicas múltiples, derrame pleural derecho inespecífico, M1 hepáticas múltiples, dos M1 pancreáticas y alguna adenopatía abdominal.
Evolución
Intensificación de disnea con requerimientos mayores de oxígeno. Se suma dolor intenso en T12-L1; sospecha clínica de infiltración vertebral por posible diseminación neoplásica. Múltiples requerimientos de mórficos de rescate. Evolución tórpida, deterioro rápidamente progresivo. Interviene UFISS Paliativos. Exitus a las 72 horas de ingreso hospitalario.
Este caso rescata la importancia de la anamnesis y examen físico como elementos fundamentales en la correcta orientación diagnóstica, permitiendo la derivación oportuna a urgencias Hospitalarias. Si bien el diagnóstico inicial de Neumonía basal podría explicar el dolor en hipocondrio derecho, el ejercicio clínico continuo apoyado en la Ecografía Abdominal (un estudio rápido, eficaz, no invasivo y de bajo costo), puede en muchos casos aumentar el rendimiento de la exploración física y facilitar la reorientación diagnóstica.


