X Jornadas de Actualización en Medicina de Urgencias y VI Jornadas de Ecografía de la semFYC
6-7-8 de febrero de 2025
Urgencias hospitalarias.
Caída.
Enfoque individual: antecedentes personales, anamnesis, exploración, pruebas complementarias, etc.
Convive con dos hermanas y desde hace mes y medio se ha vuelto dependiente para algunas actividades básicas diarias y además ha comenzado con comportamientos extraños.
Enfoque familiar y comunitario: estudio de la familia y la comunidad (si fuese necesario)
Mujer de 75 años que acude a urgencias tras caída con síncope en domicilio sin recordar bien el episodio. En días previos afebril, sin procesos infecciosos. No refiere cefalea, abdominalgia, náuseas ni vómitos, pero sí diarrea en las últimas semanas asociada a pérdida de peso y astenia por las que no ha consultado. Como antecedentes personales destacan una nefrectomía derecha por neoplasia hace 20 años y DM2 en tratamiento oral, sin controles médicos.
A la exploración estable hemodinámicamente y afebril, consciente y orientada con regular estado general y aspecto desnutrido.
Auscultación cardiopulmonar normal, abdomen blando y depresible sin organomegalias ni dolor a la palpación con Murphy negativo. En zona anal presenta lesiones exofíticas indoloras. Exploración neurológica sin alteraciones. Hematoma frontal derecho. En extremidades inferiores destacan edemas bilaterales con fóvea hasta raíz de miembros y úlceras por presión a nivel de ambos isquiones.
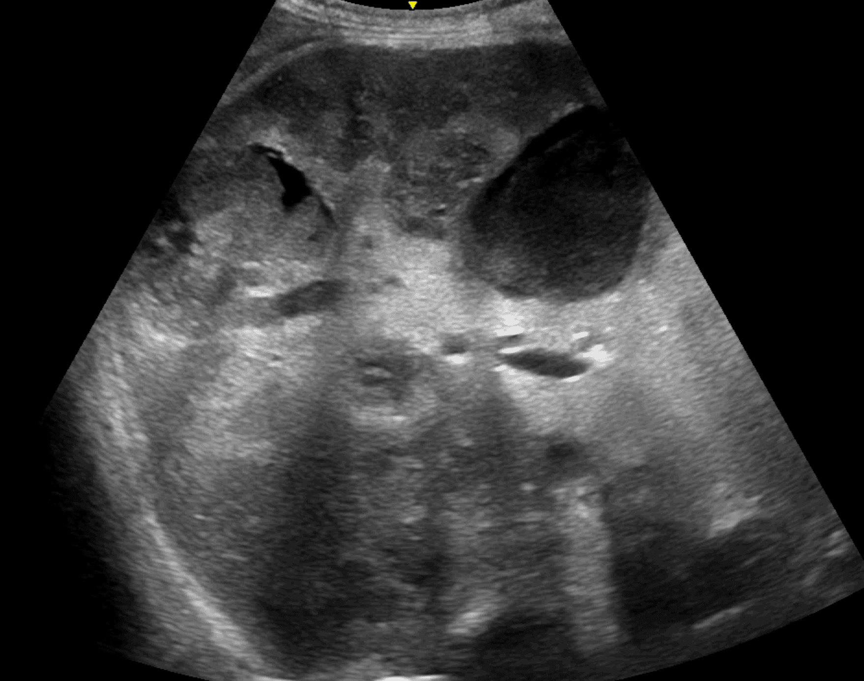
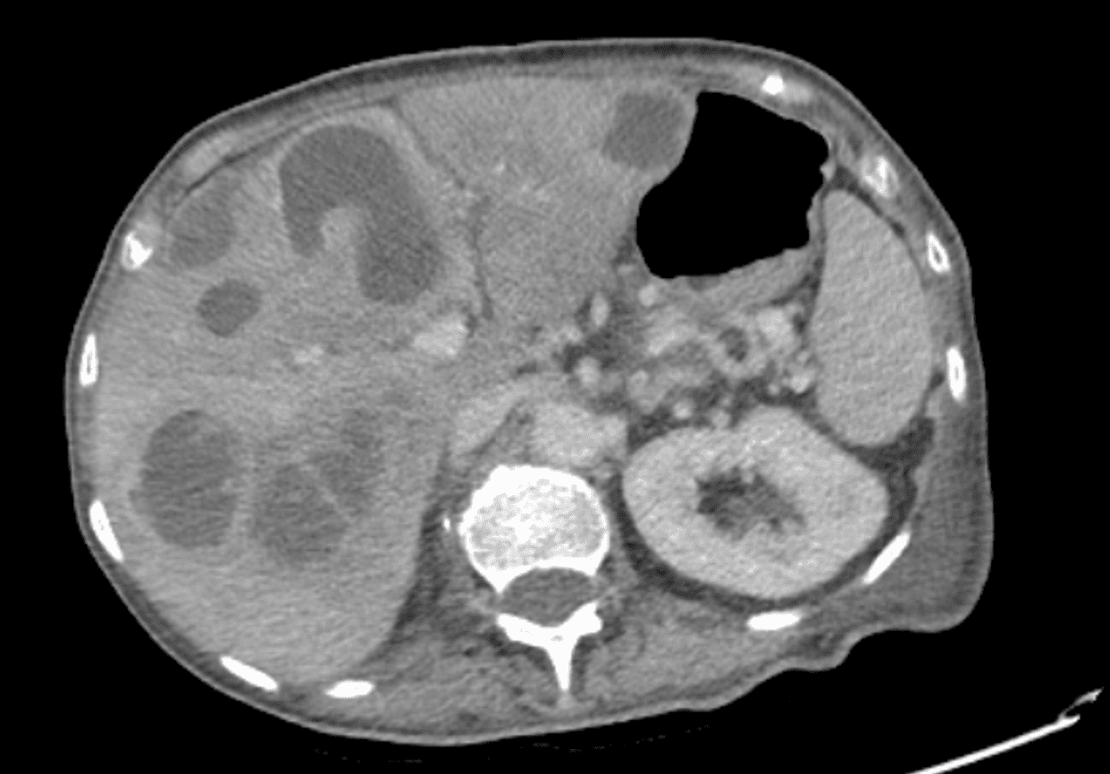
Se realiza una ecografía abdominal a pie de cama con hallazgo de múltiples imágenes hipodensas con contenido heterogéneo y áreas quísticas en hígado, sugestivas de metástasis, por lo que se solicita TAC abdominopélvico que confirma dichas lesiones con componente necrótico sobreinfectado y una con extensa neoplasia rectal localmente avanzada.
A nivel analítico destacan: glucemia y perfil hepático elevados, anemia ferropénica, importante leucocitosis con neutrofilia y PCR y PCT elevadas, así como trombocitosis y alteración de la coagulación.
Se realiza ECG, radiografía de tórax y TAC cerebral sin alteraciones significativas. Se extraen hemocultivos.
Juicio clínico, diagnóstico diferencial, identificación de problemas
Probable neoplasia de recto localmente avanzada metastásica.
Tratamiento y planes de actuación.
Se inicia sueroterapia, antibioterapia empírica y anticoagulación, se comenta el caso con digestivo.
Evolución
Debido al estado frágil y deterioro avanzado de la paciente con una infección activa, se decide ingreso priorizando tratamiento infeccioso y se retrasa el inicio del estudio oncológico.
Como conclusiones me gustaría reforzar el uso de la ecografía clínica en urgencias ya que puede ser clave tanto para realizar diagnósticos que se pasarían por alto sin esta herramienta, como para acelerar procesos diagnósticos como en este caso.

