5, 6 y 7 de febrero de 2026
Servicios de Urgencias.
Dolor abdominal y vómitos.
Enfoque individual
APP: Lupus Eritematoso Sistémico cutáneo articular; Síndrome Sjögren; Ac. Antifosfolipídicos (Positivos).
Mujer de 40 años con cuadro clínico de epigastralgia de tres días de evolución, acompañado de cuatro vómitos alimenticios sin alteraciones en el ritmo deposicional, apirética.
Acude a Urgencias en dos ocasiones, con diagnóstico de epigastralgia. Al no mejorar con metamizol y omeprazol, en una tercera visita deciden ampliar estudio.
Exploración: destaca palidez generaliza y afectación por el dolor. Auscultación cardiopulmonar normal. Abdomen blando, depresible, doloroso en epigastrio y en hipocondrio derecho, sin irradiación, Murphy dudoso, Blumberg y Mac Burney Negativos, peristaltismo positivo, sin visceromegalias, ni hernias. Extremidades sin edemas.
Hemograma, gasometría venosa y coagulación sin alteraciones.
Radiografía Tórax: sin patología aguda en parénquima ni en pleura pulmonares.
Radiografía Abdomen: Asas de delgado en marco colónico derecho. Gas en marco colónico izquierdo, Heces en ampolla rectal, sin niveles hidroaéreos (no describen anormalidades).
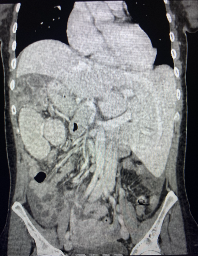
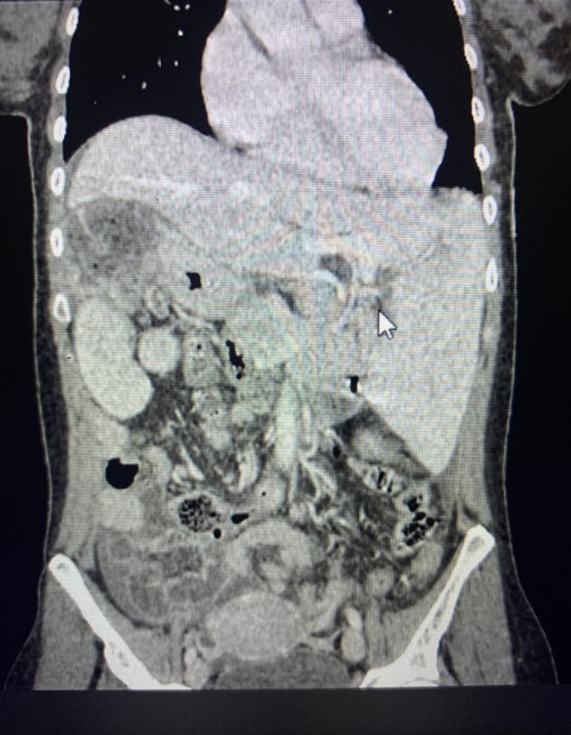
TAC Abdominal: Situs inverso de órganos intraabdominales. Imagen hipodensa de aspecto pseudocoleccionado subdiafragmático derecho de 89 x 63 mm, asociado a aumento de densidad y trabeculación de la grasa adyacente, que no consigue caracterizar por completo. Leve engrosamiento parietal hipodenso segmentario del colon izquierdo, asociado a aumento de densidad y trabeculación de la grasa adyacente, altamente sugestivo de colitis, de etiología indeterminada. Presencia de líquido libre en ambas gotieras y en pelvis.
Enfoque familiar y comunitario
No fue necesario.
Juicio clínico, diagnóstico diferencial, identificación de problemas
Juicio clínico: Situs inverso de órganos intraabdominales y masa subdiafragmática.
Diagnóstico diferencial: vólvulo, desplazamiento por masa o megavíscera abdominal, situs inverso total.
Identificación de problemas: No teníamos el antecedente de situs inverso, en su historia clínica previa, no hubo una interpretación correcta de la radiografía abdominal previa.
Tratamiento y planes de actuación
Paciente intervenida por infarto de bazo superior y hemoperitoneo de 450 cc.
Evolución
Esplenectomía de bazo superior con evolución favorable.
El desconocimiento del situs inversus puede generar errores diagnósticos, de interpretación de imágenes e incluso quirúrgicos (de ahí, la importancia de un buen registro en la historia clínica). La prueba inicial aconsejada es la ecografía abdominal que permite detectar la inversión visceral de manera rápida, y a descartar complicaciones asociadas, incluso antes de la TC.



