X Jornadas de Actualización en Medicina de Urgencias y VI Jornadas de Ecografía de la semFYC
6-7-8 de febrero de 2025
Paciente masculino de 67 años que consulta por aparición de un bulto indoloro en inframandibular derecha de unos 4 meses de evolución.
Antecedentes personales relevantes, anamnesis, exploración física y lugar que ocupa en ella la ecografía
Descripción de los hallazgos ecográficos y las imágenes más relevantes para la resolución del caso
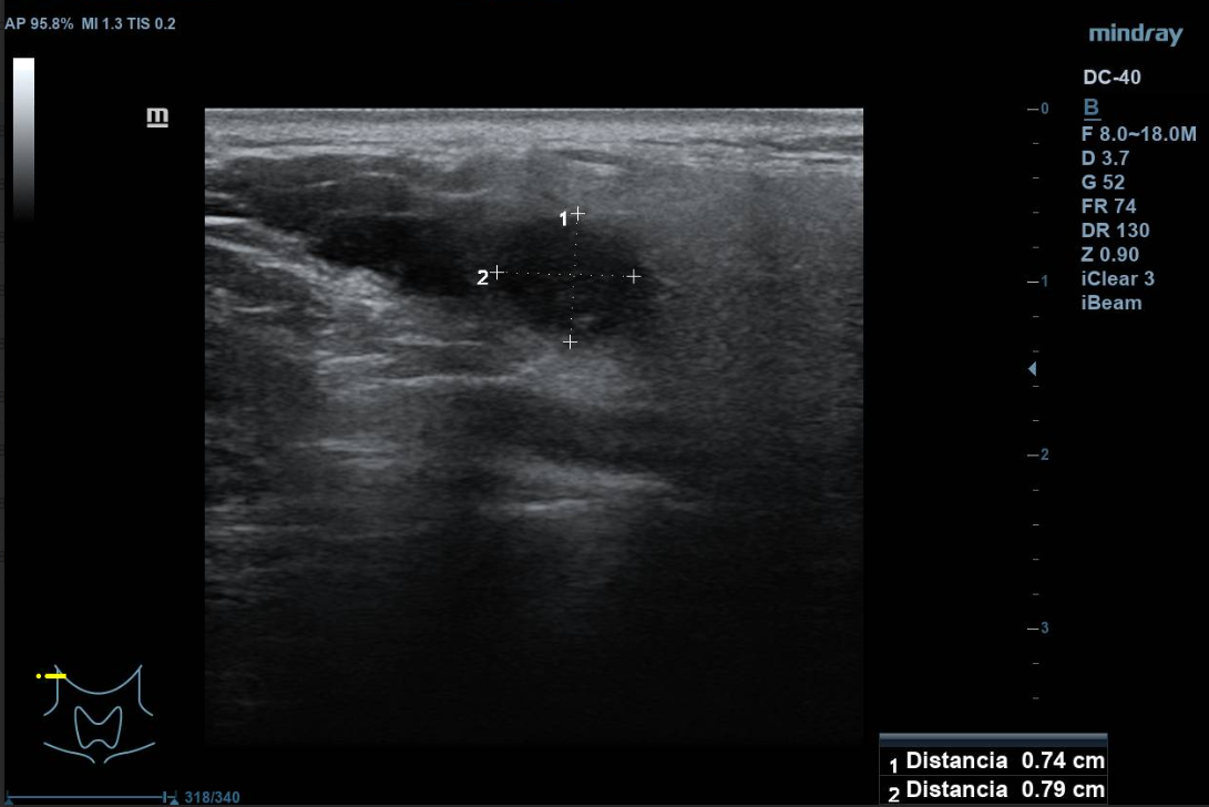
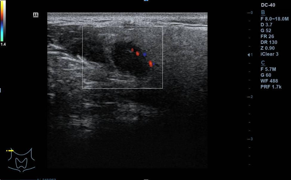
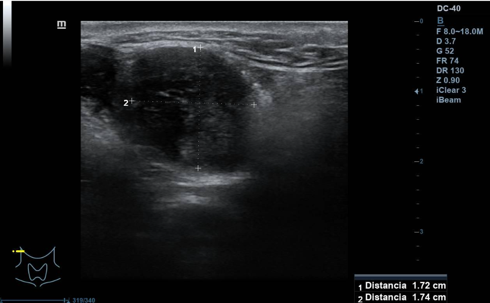
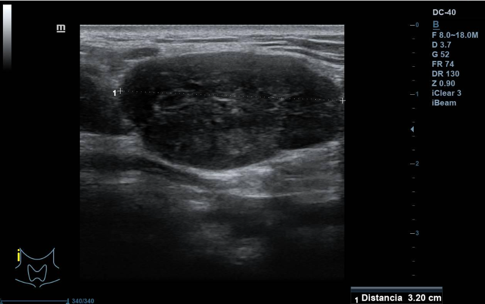
Se aprecian al menos dos lesiones intraparotídeas, una menor hipoecogénica, redondeada de unos 10 mm de diámetro máximo, doppler con vascularización mixta. La mayor de unos 3 cm de diámetro máximo, hipoecogénica, de contenido irregular, con áreas anecogénicas, de características sólidas, bien definido. Vascularización mixta, central y periférica. No se observan adenopatías cervicales de aspecto ecográfico patológico. La parótida contralateral, impresiona de normalidad.
Juicio clínico, diagnóstico diferencial, concordancia con el hospital (en su caso)
Decisiones adoptadas: tratamiento, planes de actuación
El paciente fue derivado a Cirugía Maxilofacial, donde completan estudio con analítica sanguínea, resonancia magnética y PAAF. Histopatología confirma diagnóstico de tumor de Warthin. Como tratamiento realizan BAG parotidectomía parcial conservadora derecha.
Evolución y seguimiento
Evolución postoperatoria favorable, sin recurrencias en sucesivos controles. Continúa en seguimiento por Cirugía Maxilofacial a día de hoy.
Este caso resalta la utilidad de la ecografía de Atención Primaria para el diagnóstico precoz de tumores de glándulas salivales, permitiendo una rápida derivación y mejorando el pronóstico del paciente. Al ser una localización superficial y de fácil visualización, la ecografía ofrece alta rentabilidad sin necesitar conocimientos avanzados en dicha técnica, animando a cualquier médico de familia a iniciarse en ella.



