V Jornadas de Ecografía de la semFYC

9 y 10 de febrero de 2024

Comunicaciones: Casos clínicos

Profundizando en lo superficial (póster)

Ámbito del caso

Atención Primaria

Motivos de consulta

Dolor en cara interna del muslo izquierdo.

Historia clínica

Enfoque individual

Anamnesis: Mujer de 65 años con antecedentes de hipertensión arterial e insuficiencia venosa crónica (IVC) CEAP C2. Consulta por dolor en cara interna de muslo izquierdo de 3 días de evolución, prácticamente continuo, exacerbado con la deambulación y descrito como «tirantez». Niega sobreesfuerzos o traumatismos. Vida activa. Niega cirugías, ingresos o encamamiento. Niega fiebre, disnea, dolor torácico, palpitaciones o síncope. Ha tomado paracetamol sin mejoría.

Exploración física: Miembros inferiores (MMII): en miembro inferior izquierdo se observan telangiectasias y venas reticulares en región maleolar interna. Por encima de la rodilla no se observan estigmas de IVC ni datos de infección cutánea. En cara interna de muslo, en tercio superior, se palpa tumefacción dolorosa con aumento de temperatura local. Pulsos pedios y tibiales conservados. No edemas ni signos de trombosis venosa profunda (TVP). Fuerza y sensibilidad conservadas.

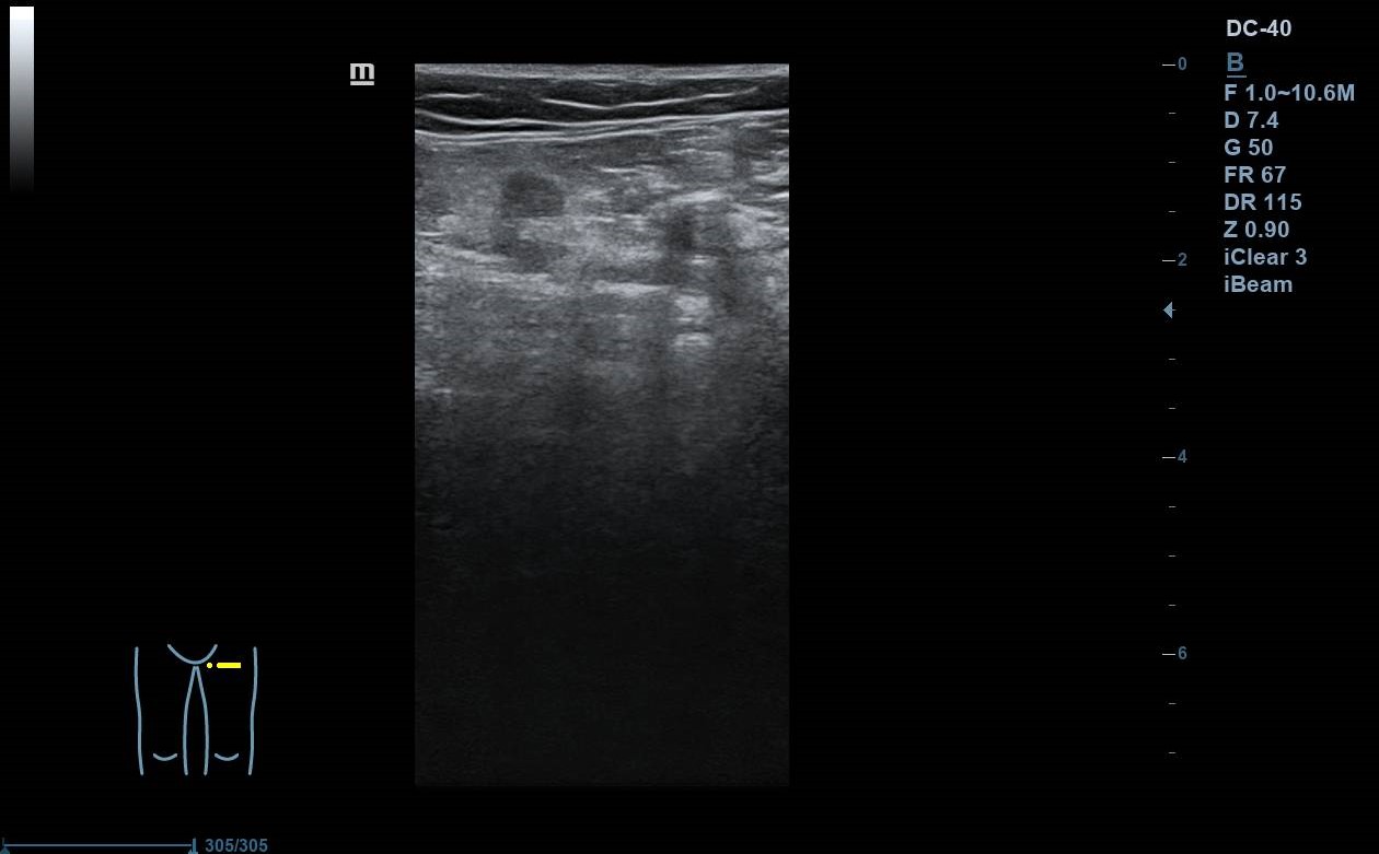
Hallazgos ecográficos

Se realiza ecografía Doppler en el Centro de Salud: se exploran con sonda lineal ambos MMII a nivel inguinal y poplíteo, constatando colapsabilidad, presencia de flujo y ausencia de material ecogénico a nivel de vena femoral común y poplítea. Colocando sonda en el punto doloroso observamos vena safena interna no colapsable. Nos desplazamos superiormente, siguiéndola hasta la unión safenofemoral, sin observar colapsabilidad durante el trayecto.

Pruebas complementarias

No se realizan.

Juicio clínico, diagnóstico diferencial, identificación de problemas

Diagnóstico diferencial: origen musculo-esquelético (distensión, rotura fibrilar, nódulo fibroso cicatricial, osteítis pubiana), vascular (trombosis venosa superficial [TVS], nTVP), infeccioso (celulitis), neurológico (compresión nerviosa), otros (síndrome compartimental).

Juicio clínico: TVS en vena safena interna de al menos 5 cm con afectación próxima a cayado.

Tratamiento y planes de actuación

Dada la extensión de la TVS, se inicia anticoagulación con heparina de bajo peso molecular durante 3 meses. De forma concomitante, se inician antiinflamatorios y terapia compresiva remitiendo el dolor en unos días. 

Evolución

Un mes después se repite ecografía en el centro de salud observándose mejoría de la TVS.

Conclusiones (y aplicabilidad para la Medicina de Familia)

La ecografía complementa el proceso diagnóstico de patologías vasculares y ayuda en la toma de decisiones terapéuticas determinando localización y grado de afectación sin necesidad de derivación a urgencias hospitalarias.


Comunicaciones y ponencias semFYC: 2026; Comunicaciones: Casos clínicos. ISSN: 2339-9333

Autores

Rodríguez Báscones, Almudena
CS Los Pintores. Parla. Madrid
Solana González, Sara
CS Párroco Julio Morate. Madrid
Ansuátegui Burgos, Francisco Javier
CS Los Pintores. Parla. Madrid