X Jornadas de Actualización en Medicina de Urgencias y VI Jornadas de Ecografía de la semFYC
6-7-8 de febrero de 2025
Antecedentes personales relevantes, anamnesis, exploración física y lugar que ocupa en ella la ecografía
No alergias medicamentosas.
Discapacidad cognitiva severa.  
Institucionalizada en residencia.
Paciente mujer de 41 años institucionalizada acude al SNU remitida desde la residencia. Se realiza historia a través del cuidador quien refiere que desde ayer la paciente comienza con deterioro general y somnolencia, con tos y expectoración amarilloverdosa. Le diagnostican infección de vías respiratorias superiores y le pautan ceftriaxona. Al otro día comienza con fiebre de 39 ºC y vuelven a derivarla al SNU. No otra clínica asociada.
Tº: 38,1 ºC. TA: 115/78 mmHg. FC: 95 lpm. SatO2 basal 94%. Estado general conservado. Eupneica en reposo. Consciente, poco colaboradora. Normocoloreada. No impresiona de gravedad.
AP: crepitantes aislados, predominio base derecha. Hipofonesis base de pulmón izquierdo.
Luego comienza con aumento de la sintomatología y acude nuevamente al SNU donde se amplían estudios.
EF 2º día:
Tº: 38 ºC. TA: 115/78 mmHg. FC: 95 lpm. SatO2 96% con GN a 2 lpm. 
Estado general conservado. Eupneica en reposo. Consciente, poco colaboradora. Normocoloreada. No impresiona de gravedad. 
AP: crepitantes aislados predominio base izquierda. 
Se realiza ecografía clínica pulmonar. 
Se deriva al servicio de urgencias hospitalario.  
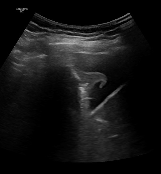
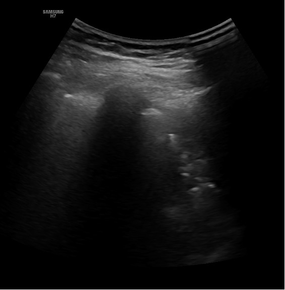
Descripción de los hallazgos ecográficos y las imágenes más relevantes para la resolución del caso
Ecografía clínica pulmonar: infiltrado en base izquierda con mínimo derrame y características de broncograma dinámico. Derrame pleural derecho de escasa cuantía con signo de la medusa.
Otras pruebas complementarias realizadas (si existen)
Radiografía: centrada, bien inspirada, pinzamiento seno costofrénico derecho. 
 
Analítica:
Proteína C reactiva 16,5 mg/dL  
Neumococo, Ag (Orina): negativo.
Antígeno Legionella pneumophilia (orina): negativo. 
Virus respiratorios: negativos.
Juicio clínico, diagnóstico diferencial, concordancia con el hospital (en su caso)
Sospecha: Neumonía broncoaspirativa en institucionalizada. 
Juicio clínico: Neumonía basal izquierda en institucionalizada.
Decisiones adoptadas: tratamiento, planes de actuación
Evolución y seguimiento
La paciente ingresa en planta por insuficiencia respiratoria. Gracias a la ecografía clínica se objetivó en base izquierda una imagen compatible con neumonía basal izquierda. Al alta la paciente presenta mejoría clínica, ventilatoria, oximétrica y analítica con buen estado general. Eupneica en reposo y afebril.
La ecografía clínica ha sido un método eficaz, inocuo y rápido para el diagnóstico, ya que se ha hecho desde el SNU, un ámbito de medicina de familia. Además destacar que a pesar de las características basales de la paciente, puede presentar otros procesos añadidos a las broncoaspiraciones.

