V Jornadas de Ecografía de la semFYC
9 y 10 de febrero de 2024
Enfoque individual
En sus antecedentes ginecológicos se describen dos partos eutócicos, sin abortos y menopausia a los 40 años, sin otros antecedentes médicos de interés ni tratamiento habitual.
En la exploración física presenta SatO2 94%. En la auscultación pulmonar se objetivan crepitantes hasta campo medio derecho, la auscultación cardiaca es rítmica sin soplos y en la exploración abdominal presenta abdomen distendido, blando, no doloroso a la palpación, sin signos de irritación peritoneal. No presenta oleada ascítica.
Hallazgos ecográficos
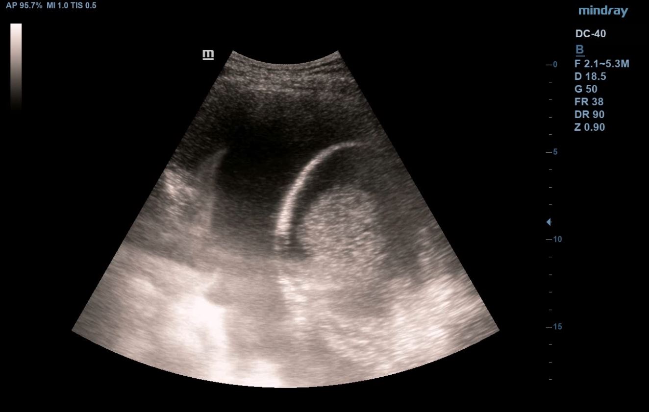
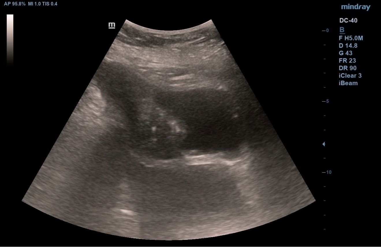
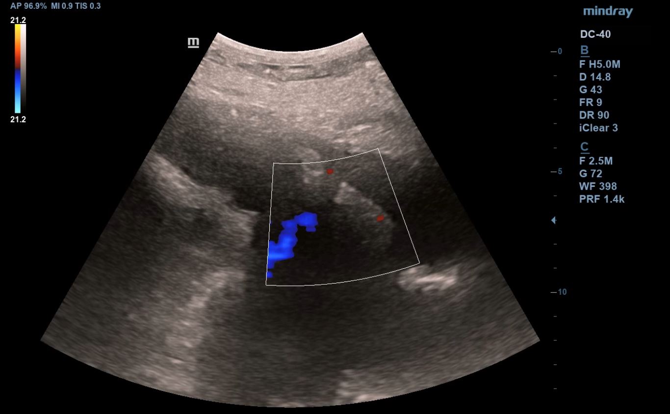
Se realiza ecografía clínica abdominal y pulmonar en la consulta, donde se visualiza líquido libre en espacio hepatorenal, esplenorenal y espacio de Douglas. En región pélvica presenta masa de aspecto heterogéneo con zonas anecoicas de 12 x 10 cm, con mapa color positivo. En la ecografía pulmonar presenta derrame pleural derecho.
Estos hallazgos orientan como primera posibilidad a una neoplasia no conocida, por lo que se deriva a la paciente a Urgencias Hospitalarias para continuar estudio.
Pruebas complementarias
A su llegada a urgencias se realiza analítica de sangre, radiografía de tórax y paracentesis diagnóstica. En estas pruebas destaca elevación de reactantes de fase aguda (PCR 137 mg/L), derrame pleural derecho y presencia de células mesoteliales en líquido ascítico. Posteriormente se solicita TAC toraco-abdomino-pélvico de forma preferente e ingreso en Medicina Interna.
Juicio clínico, diagnóstico diferencial, identificación de problemas
En TAC toraco-abdomino-pélvico se describe «Gran masa pélvica de densidad heterogénea de 12 x 21 x 18 cm que sugiere neoplasia de origen ginecológico como primera posibilidad. Abundante líquido libre abdominal y pleural bilateral».
Tratamiento y planes de actuación
Durante el ingreso es valorada por Servicio de Ginecología. Ante estos hallazgos se decide realizar laparotomía y biopsia intraoperatoria obteniendo diagnóstico de fibroma/fibrotecoma, con biopsia negativa para malignidad.
Evolución
Finalmente se realiza histerectomía con anexectomía izquierda.
Con este caso se demuestra la gran importancia de tener disponible un ecógrafo en la consulta de Atención Primaria. Los síntomas referidos por la paciente eran bastante inespecíficos, y gracias a la presencia del ecógrafo se ha podido detectar una patología potencialmente grave y actuar de forma rápida.
