V Jornadas de Ecografía de la semFYC

9 y 10 de febrero de 2024

Comunicaciones: Casos clínicos

Pocus al rescate, lo que esconde la coluria (póster)

Ámbito del caso

Atención continuada

Motivos de consulta

Coluria + dolor abdominal

Historia clínica

Enfoque individual

  • Antecedentes personales: adenocarcinoma de pulmón izquierdo con metástasis cerebrales. Fumador IPA 23 paq/año y enolismo crónico (5-6 cubatas/día). 
  • Anamnesis: varón de 64 años que acude al punto de atención continuada (PAC) por orina colúrica de 3 días de evolución. Se acompaña de molestias difusas en abdomen que no logra focalizar y sensación distérmica.
  • Exploración física: palidez mucocutánea, leve tinte ictérico. Auscultación cardiaca sin alteraciones, pulmonar con roncus dispersos y crepitantes finos en base derecha. Abdomen globuloso y distendido, dolor a la palpación en hemiabdomen superior, murhpy dudoso, Blumberg negativo, PPR bilateral negativa. No ascitis.
  • La ecografía a pie de cama (POCUS) es esencial para identificar la causa de los síntomas del paciente, contribuyendo directamente al diagnóstico.

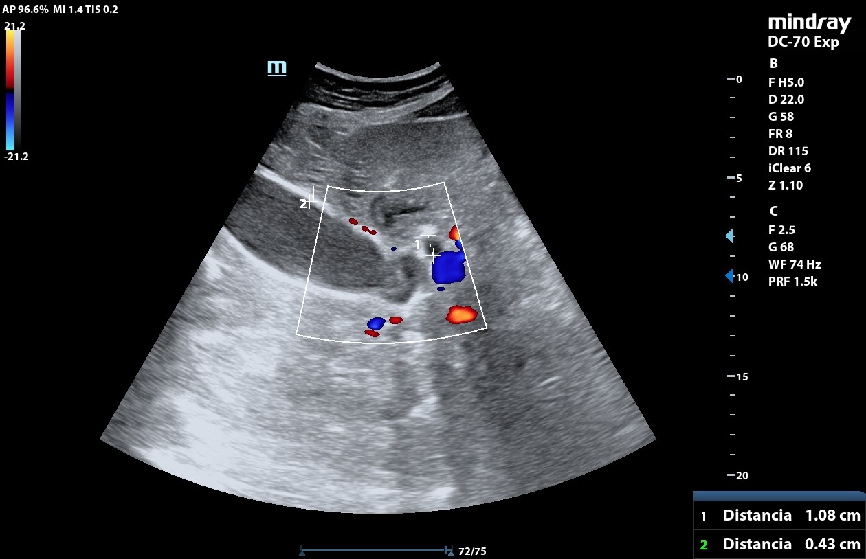
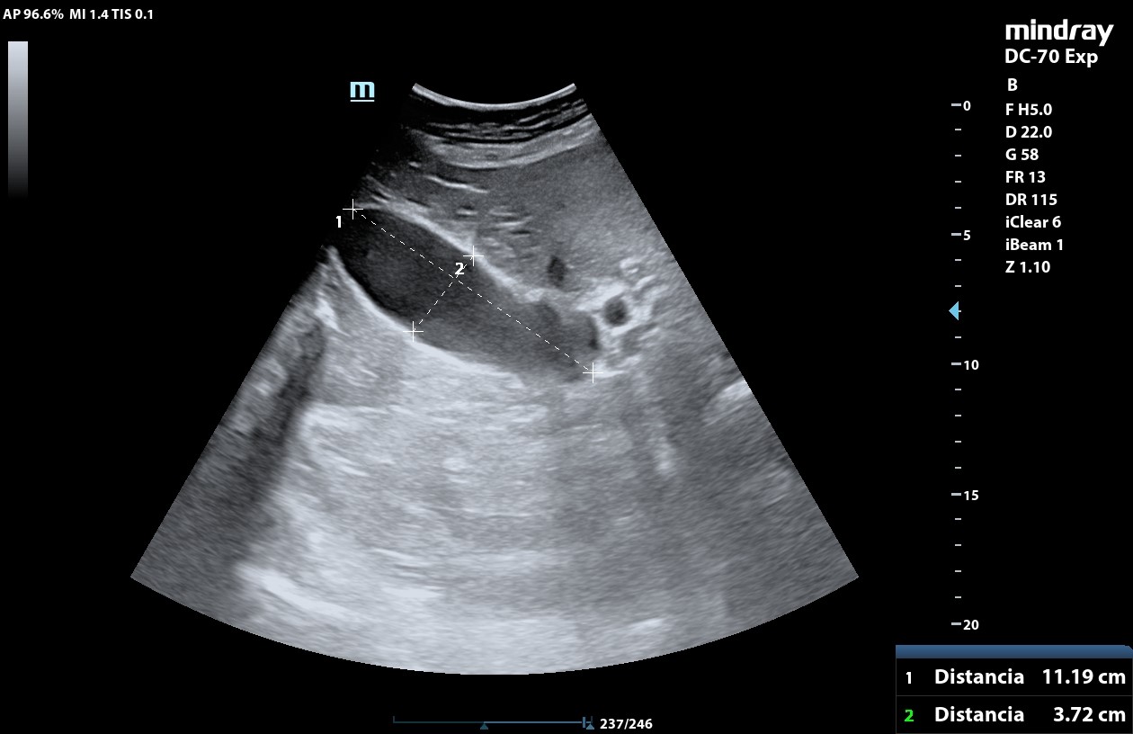
Hallazgos ecográficos

  • POCUS: aumento tamaño de la vesícula biliar, eje longitudinal mayor de 11,19 cm, con pared vesicular engrosada de 0,43 cm y dilatación de la vía biliar. En su interior hay material ecogénico que no deja sombra posterior, compatible con barro biliar. No objetivo páncreas por interposición de gas intestinal. No presencia de líquido libre.

Pruebas complementarias

  • Pruebas complementarias en PAC:
    • Tira de orina (CS): colúrica, bilirrubina ++.

Juicio clínico, diagnóstico diferencial, identificación de problemas

  • Juicio clínico: probable colangitis aguda.
  • Diagnóstico diferencial: cólico biliar complicado tipo colangitis aguda vs neoplasia pancreática vs pancreatitis aguda.
  • Concordancia con el hospital: es derivado al servicio de urgencias hospitalario, donde se realizan:
    •  Analítica: aumento de PCR y enzimas hepáticas.
    • TAC: pancreatitis aguda con necrosis <30% y dilatación de la VBE sin filiar causa (probablemente molde de barro biliar +/- litiasis). 

Tratamiento y planes de actuación

Plan de actuación: es derivado al servicio de urgencias hospitalario y se deja al paciente ingresado a cargo de digestivo tras valoración por oncología, quien considera al paciente candidato de CPRE para drenaje biliar. 

Evolución

Paciente ingresado en la actualidad.

Conclusiones (y aplicabilidad para la Medicina de Familia)

La capacidad de realizar evaluaciones rápidas y directas mediante POCUS mejora la toma de decisiones, especialmente en situaciones de urgencia. La integración de la ecografía en la Atención Primaria puede potenciar la eficacia diagnóstica y la coordinación con servicios hospitalarios, optimizando la atención al paciente.
 
 
 
 

Comunicaciones y ponencias semFYC: 2026; Comunicaciones: Casos clínicos. ISSN: 2339-9333

Autores

Bello Baluja, María Elena
CS de Santa Brígida. Las Palmas. Islas Canarias
Mendoza Mendoza, Yanira Esperanza
CS de Santa Brígida. Las Palmas. Islas Canarias
Sánchez Villaamil, Paula
CS de Miller Bajo. Las Palmas. Islas Canarias