V Jornadas de Ecografía de la semFYC

9 y 10 de febrero de 2024

Comunicaciones: Casos clínicos

Placa pleural aítpica (póster)

Ámbito del caso

Atención Primaria.

Motivos de consulta

Tos crónica.
Dolor en hipocondrio derecho de meses de evolución.

Historia clínica

Enfoque individual

Varón de 53 años, fumador, sin otros antecedentes de interés.
Exploración: buen aspecto general, normocoloreado, auscultación normal, molestias a la palpación de hipocondrio y región costal derecha.
Se decide realizar rx torácica en la que se objetiva placa pleural en base derecha, analítica con discreta neutrofía.
Se realiza ecografía ambulatoria por dolor en hipocondrio derecho.

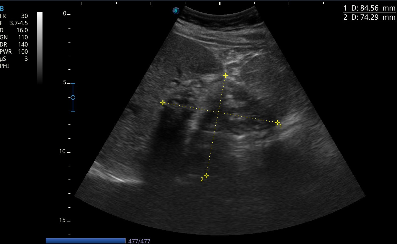
Hallazgos ecográficos

En la ecografía se observa una masa en lóbulo hepático derecho de paredes calcificadas y material heterogéneo hipoecogénico en su interior (8,1*7,6cm).

Pruebas complementarias

Se decide ampliar a TC abdominal que confirma el diagnóstico de quiste hidatídico hepático tipo IV.

Juicio clínico, diagnóstico diferencial, identificación de problemas

Se determina que la placa pleural visualizada en la radiografía corresponde a la pared superior del quiste calcificado.

Tratamiento y planes de actuación

Se inicia tratamiento farmacológico con albendazol, y aunque el tratamiento electivo en grandes quistes (> 5 cm) es el quirúrgico, se remite a consulta de medicina digestiva para valoración y seguimiento.

Evolución

El paciente evoluciona satisfactoriamente, se realizan analíticas periódicas para vigilar hemograma y función hepática por riesgo de hepatotoxicidad por albendazol.

Conclusiones (y aplicabilidad para la Medicina de Familia)

En conclusión, nos gustaría remarcar la importancia de la ecografía en Atención Primaria, tanto como prueba complementaria como para el seguimiento de los pacientes.
 

Comunicaciones y ponencias semFYC: 2026; Comunicaciones: Casos clínicos. ISSN: 2339-9333

Autores

Lara Baño, Andrea
CS Integrado. Onda
Leiva Navarro, Miriam
CS Integrado. Onda
Garcia Culebras, Elena Isabel
CS Integrado. Onda