5, 6 y 7 de febrero de 2026
Atención Primaria.
El paciente acude a consulta por hematuria de 3 días de duración, con inicio hace una semana, asociada a una posible disuria.
Enfoque individual
Anamnesis: El paciente refiere hematuria durante los últimos 3 días, con una historia de disuria poco clara. No fiebre ni dolor abdominal. Exploración física: No dolor a la palpación en la zona renal o vesical.
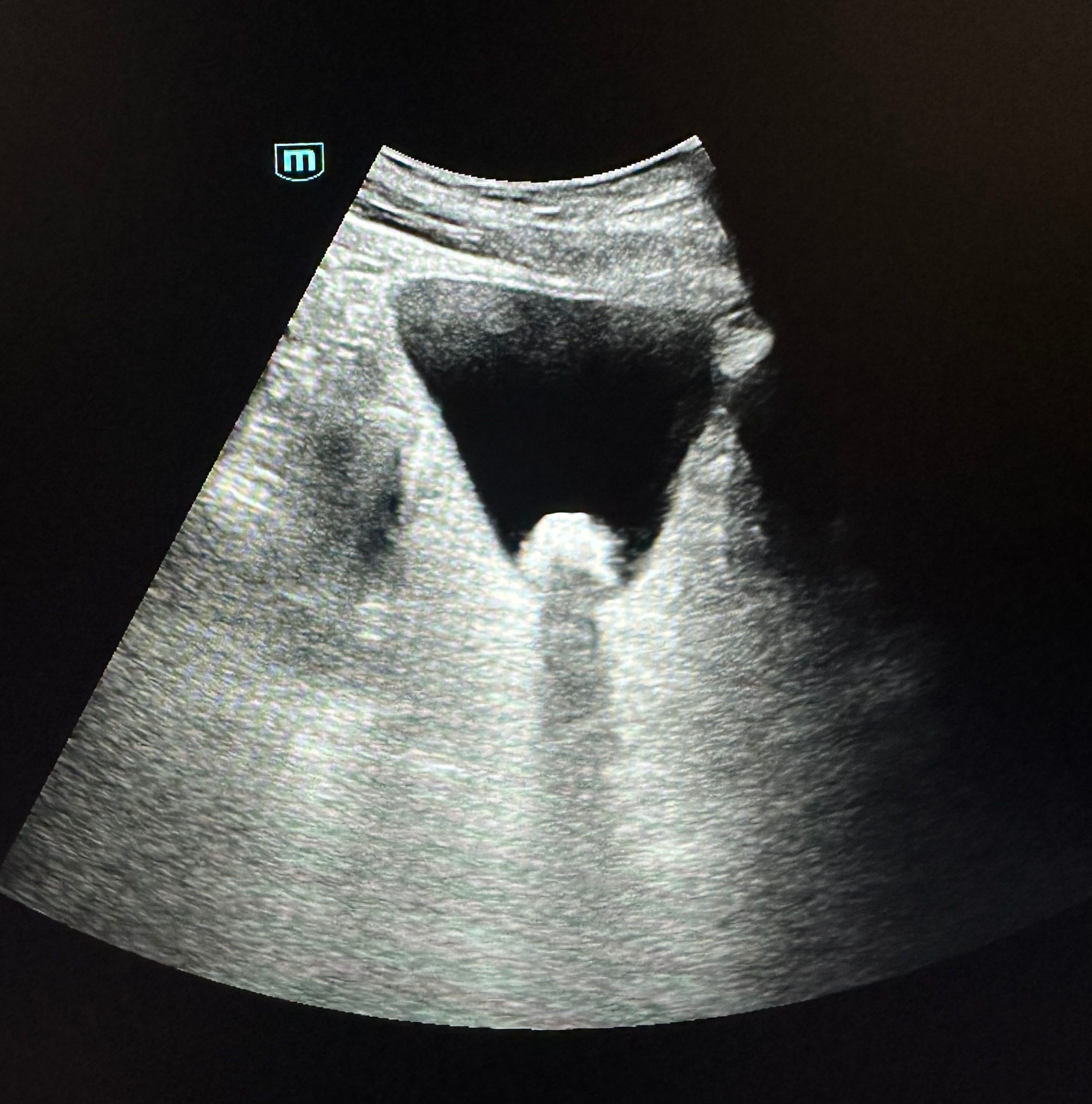
Hallazgos ecográficos
En la ecografía realizada se observó una litiasis vesical de 1,6 cm x 1,5 cm. No se observó dilatación de la vía urinaria ni otros hallazgos relevantes que sugirieran complicaciones agudas.
Pruebas complementarias
No existen.
Juicio clínico, diagnóstico diferencial, concordancia con el hospital (en su caso)
Juicio clínico: litiasis vesical. Diagnóstico diferencial: Infección urinaria, litiasis renal o vesical, neoplasias urológicas.
Tratamiento, planes de actuación
Se pautó fosfomicina, y ante la persistencia de los síntomas, se realizó una ecografía.
Evolución
El paciente fue derivado a urología.
En una valoración de la hematuria, la ecografía sigue siendo una herramienta fundamental para descartar causas potencialmente graves. La litiasis vesical no es una patología frecuente y en este caso se subraya la importancia de una adecuada anamnesis y exploración física, y el papel crucial de la ecografía en la evaluación de trastornos urinarios.

