V Jornadas de Ecografía de la semFYC
9 y 10 de febrero de 2024
Diarrea.
Enfoque individual
Hallazgos ecográficos
Pruebas complementarias
Juicio clínico, diagnóstico diferencial, identificación de problemas
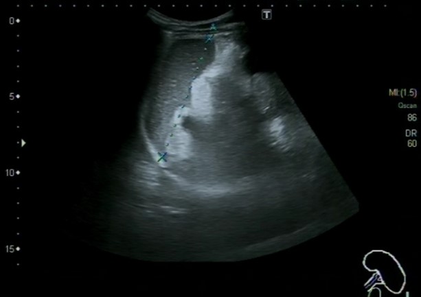
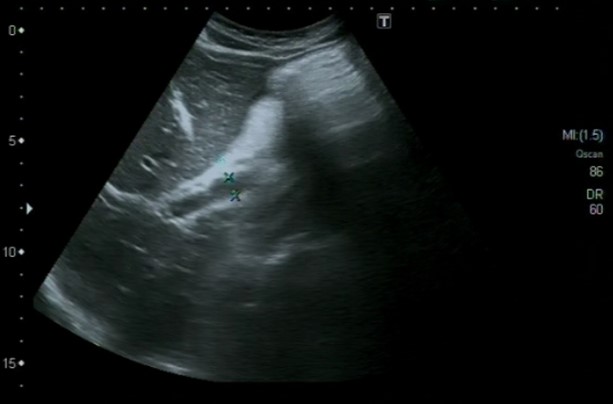
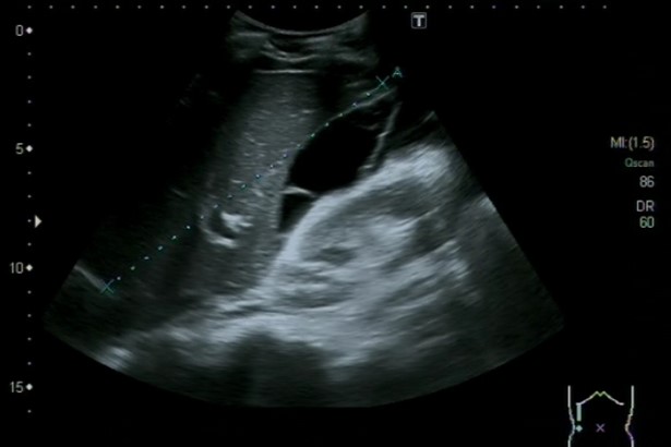
Ascitis a estudio, sugestiva de peritonitis tuberculosa
Tratamiento y planes de actuación
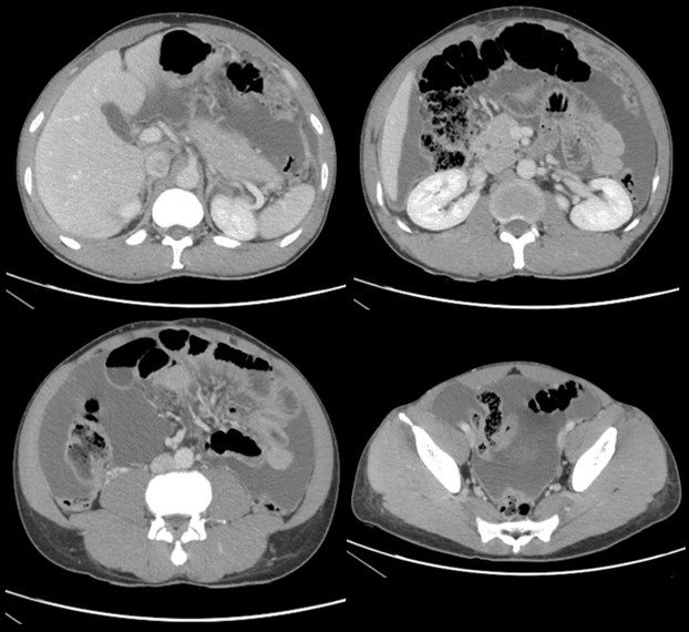
Se completa el estudio en hospitalización con serología de virus hepatotropos, positiva para VHB, adenosina desaminasa (ADA) 127.10 U/l, interferón gamma 1433 pg/ml, detección de interferón gamma (IGRA) positivo, marcadores tumorales negativos y cultivos de líquido ascítico inicialmente negativos, en los que tras larga incubación se aísla Mycobacterium tuberculosis complex confirmando el diagnóstico de presunción de peritonitis de etiología tuberculosa.
Evolución
La ecografía clínica es una herramienta esencial en el diagnóstico de la ascitis. Permite la identificación y cuantificación precisa del líquido, además de evaluar su distribución. La realización de paracentesis guiada por ecografía es fundamental para establecer la causa subyacente de la ascitis, permitiendo obtener muestras de líquido para su análisis. La combinación de la ecografía y la paracentesis mejora la precisión diagnóstica y guía la atención médica apropiada.


