X Jornadas de Actualización en Medicina de Urgencias y VI Jornadas de Ecografía de la semFYC
6-7-8 de febrero de 2025
Atención Primaria.
Paciente masculino de 53 años que consulta por lesión nodular cervical derecha de años de evolución, asintomático.
Antecedentes personales relevantes, anamnesis, exploración física y lugar que ocupa en ella la ecografía
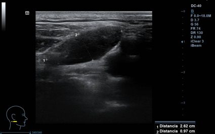
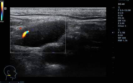
Descripción de los hallazgos ecográficos y las imágenes más relevantes para la resolución del caso
Lesión hipoecogénica cervical de aspecto sólido, de 2,5 x 1 cm (ancho x alto), con hilio vascular que preserva, impresiona de residual, vascularizado (Doppler). Otras lesiones similares de menor tamaño, pero con hilio mejor preservado, de aspecto benigno. Todas las lesiones impresionan de adenopatías. A nivel contralateral: lesiones similares en menor cuantía, también de aspecto benigno. Tiroides normal.
Otras pruebas complementarias realizadas (si existen)
Analítica sanguínea.
Juicio clínico, diagnóstico diferencial, concordancia con el hospital (en su caso)
Decisiones adoptadas: tratamiento, planes de actuación
Fue derivado a ORL vía urgente para descartar proceso linfoproliferativo activo. Mediante ecografía y PAAF-BAG se confirma linfadenitis reactiva, preservando la arquitectura ganglionar, sin afectación por linfoma o carcinoma.
Evolución y seguimiento
Tras descartar malignidad se decide continuar seguimiento por Atención Primaria para realizar controles ecográficos periódicos.
La ecografía permite acortar el proceso diagnóstico, reduciendo la ansiedad anticipatoria del paciente y evitando pruebas más agresivas. Además, este caso centra al médico de familia a no incurrir en juicios diagnósticos apresurados, y subraya la necesidad de aprender ecografía cervical a la hora del diagnóstico diferencial de bultos en el cuello, que pueden alertar al paciente.



