X Jornadas de Actualización en Medicina de Urgencias y VI Jornadas de Ecografía de la semFYC
6-7-8 de febrero de 2025
Paciente masculino de 62 años que consulta por dolor abdominal epigástrico irradiado en cinturón a espalda con clínica malestar, diarrea y postración.
Enfoque individual: antecedentes personales, anamnesis, exploración, pruebas complementarias, etc.
Presenta antecedentes de diabetes en tratamiento con metformina y semaglutide 1 g semanal, dislipemia e hipertensión y obesidad.
El paciente refiere desde hace meses dolor cólico postpandrial con analíticas normales. Desde hace 1 día presenta dolor en cinturón con náuseas, vómitos y diarrea. No ha presentado fiebre.
A la exploración presenta Glasgow 15, con normotensión y frecuencia cardíaca normal, con buena coloración de piel y mucosas, con dolor abdominal en epigastrio e hipocondrio derecho con Murphy dudoso.
La analítica muestra aspartato transaminasa 150 U/L, alanina transaminasa 70 U/L, lactato deshidrogenasa 500 U/L, bilirrubina y fosfatasa alcalina normales, proteína C reactiva 300 con leucocitosis izquierda y perfil renal normal. Glucemia en 200 mg/dl. La amilasa resulto de 875 U/L.
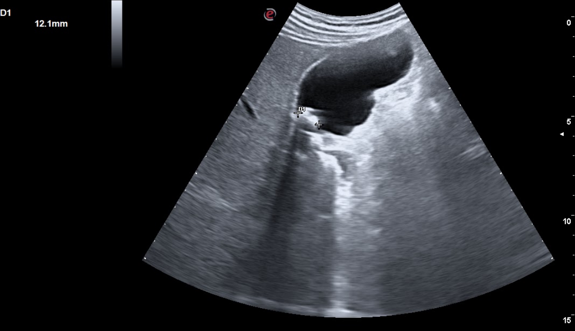
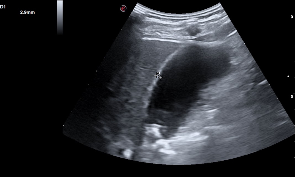
En la radiografía solicitada se aprecia una zona hiperdensa en zona de vesícula, por lo cual realizamos ecografía clínica abdominal en la que se aprecia hígado con ligera hiperecogenicidad difusa homogénea, con tamaño normal, vesícula replecionada con 3-4 imágenes hiperecoicas con sombra acústica posterior, la mayor de 1,2 cm, con una pared de 0,2 mm. Páncreas no visible en ecografía por gas. Vía urinaria normal.
Juicio clínico, diagnóstico diferencial, identificación de problemas
Juicio clínico: Pancreatitis aguda secundaria a semaglutide.
Diagnóstico diferencial: Ulcus duodenal, colecistitis aguda, isquemia mesentérica, síndromes coronarios y neumonía.
Causas de pancreatitis: litiasis, alcohol, secundaria a fármacos, infecciosas, traumáticas, ulcus penetrantes, dislipemias, hiperparatiroidismo, insuficiencia renal, isquemia pancreática, divertículo duodenal.
Tratamiento y planes de actuación
El paciente presentó una puntación de 3 en la escala BISAP y 4 en RANSON, por lo que ingresó en digestivo para estabilización y prueba de imagen a las 72 horas. El paciente ingresó en dieta absoluta, antibioticoterapia empírica y mórficos.
Evolución
A las 72 horas se realizó el TAC mostrando una pancreatitis aguda, que se estabilizó con medidas de soporte y se pudo dar de alta con suspensión de semaglutide.
