5, 6 y 7 de febrero de 2026
Enfoque individual
Hombre de 85 años. IABVD. Vive solo en su domicilio y cuida de un huerto. Sin antecedentes personales relevantes. NO FRCV. Traído a SUH por UVI móvil, es encontrado por su hija en su domicilio con desconexión del medio. NO responde a estímulos. A llegada de UVI móvil TA de 80/40. Difícil anamnesis porHallazgos ecográficos
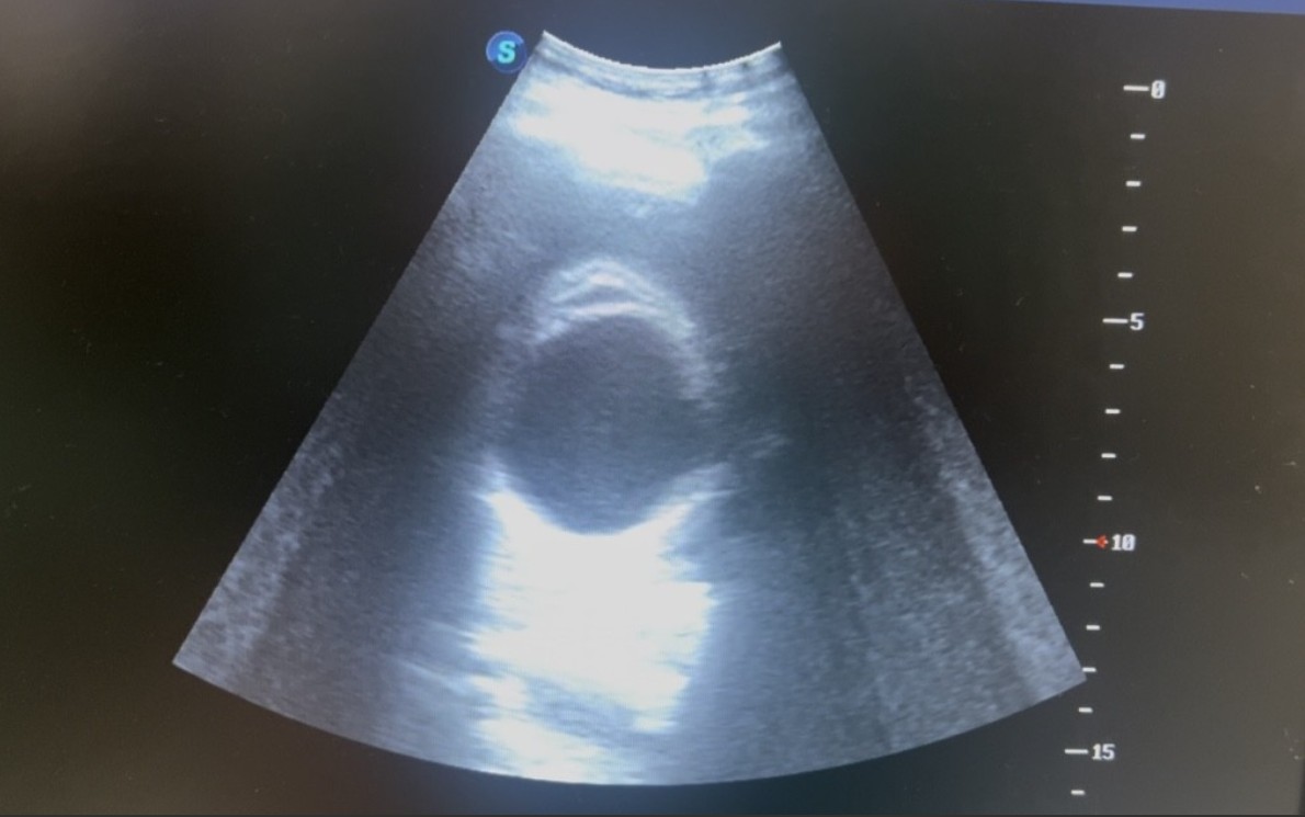
Se le realiza protocolo RUSH en el que única alteración reseñable: distensión vesicular de 10 x 4 cm, con imagen de bole pared sugestiva de signo del «agujero ecográfico» asociando edema y aparente dilatación de colédoco.Pruebas complementarias
TAC TAP: conclusiones: perforación vesícula biliar con salida de material contenida. Coledocolitiasis. Pancreatitis.Juicio clínico, diagnóstico diferencial, concordancia con el hospital (en su caso)
JC previo a prueba de imagen sepsis de origen urológico (vs ictus/meningitis).Tratamiento, planes de actuación
Fluidoterapia.Evolución
CGD descarta el tratamiento quirúrgico urgente, solicitando ITC a radiología intervencionista que realiza drenaje e ingresa en digestivo para tratamiento de pancreatitis y colédocolotitasis.


