5, 6 y 7 de febrero de 2026
Atención Primaria (AP).
Enfoque individual
Hombre de 60 años de origen Bere-Bere, fumador de 60 paquetes/año.
HTA y trastorno adaptativo en tratamiento.
Refiere excreción de un coágulo de sangre, hematuria recidivante y disuria. No más clínica, exploración física anodina. Visitó su país de origen hace 6 meses.
Paciente vulnerable para el seguimiento médico por causas laborales (no acudió a una ecografía reglada). Se considera la ecografía clínica beneficiosa para realizar un diagnóstico inmediato ya que la sensibilidad y la especificidad de la ecografía para el diagnóstico de tumores vesicales puede alcanzar valores superiores al 90%.
Hallazgos ecográficos
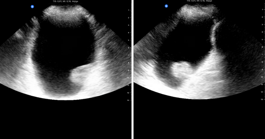
Ecoscopia clínica: izquierda, sonda cónvex en proyección transversal donde se objetiva la lesión en la pared lateral; derecha, proyección longitudinal donde se objetiva la misma lesión con una base pediculada.
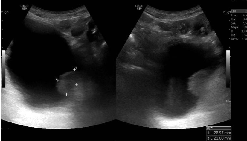
Ecografía reglada: confirma lesión neoplásica con mismas características.
Uso complementario para descartar TVP (por sospecha de coágulo) y repetir ecografía vesical para valorar posible movilización del coágulo y control de resolución posterior.
Pruebas complementarias
Urocultivo. Ecografía reglada. Analítica. RTU-V. Estudio anatomopatológico.
Juicio clínico, diagnóstico diferencial, concordancia con el hospital (en su caso)
Lesión excrecente sésil sospechosa de malignidad. Juicio diagnóstico final hospitalario: carcinoma papilar urotelial vesical.
Diagnóstico diferencial: tumor vesical VS. impronta prostática VS. litiasis vesical VS. coágulo adherido VS. esquistosomiasis vesical.
Tratamiento, planes de actuación
Lesión neoplásica confirmada por ecografía reglada, diagnóstico final y resección por RTU-V. Instilación de 10 ciclos de mitomicina-C intravesicales.
Evolución
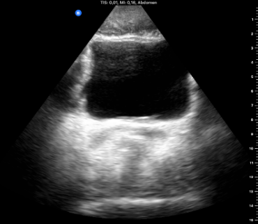
Reconsulta por febrícula y oliguria con coágulos 1 semana después de la RTU-V. Tras ecoscopia anodina en ambulatorio (vejiga sin alteraciones, ambos riñones sin datos de obstrucción), derivación a urgencias y tratamiento con Cefixima 200 mg cada 12 horas. Posterior urocultivo negativo.
Permite descartar patología urgente en la aproximación inicial y realizar el diagnóstico diferencial ante dudas diagnósticas. Diversos estudios respaldan la capacidad diagnóstica, sensibilidad y especificidad de la misma en el diagnóstico diferencial de lesiones vesicales en AP. Sin ella, en este caso, se retrasaría el diagnóstico correspondiente demorando el tratamiento resolutivo.
Descartar TVP por diagnóstico diferencial con coágulo vesical.
Tras el tratamiento quirúrgico, descartó datos de alarma ante clínica obstructiva y fiebre. Aunque habría que haberle derivado a urgencias igualmente para lavado.
Permite seguimiento desde la consulta evitándo entrar y alimentar las listas de espera de ecografía reglada.


