X Jornadas de Actualización en Medicina de Urgencias y VI Jornadas de Ecografía de la semFYC
6-7-8 de febrero de 2025
Atención Primaria.
Omalgia derecha postraumática.
Antecedentes personales relevantes, anamnesis, exploración física y lugar que ocupa en ella la ecografía
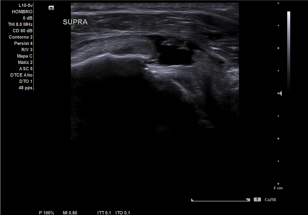
Mujer de 81 años sin antecedentes personales de interés al caso que consulta por primera vez por omalgia derecha tras golperase con un macetero tras caída causal hacía 2 meses. Había consultado en urgencias el día del traumatismo donde le habían descartado fracturas y dado el alta con analgésicos. A la exploración, no hematoma ni deformidad visual y maniobras sugestivas de lesión de tendón del supraespinoso. La ecografía ocupa el lugar de una primera aproximación diagnóstica y búsqueda del origen del dolor permitiendo visualizar tanto tendones como derrames articulares causantes de la sintomatología.
Descripción de los hallazgos ecográficos y las imágenes más relevantes para la resolución del caso
En la ecografía realizada observamos una rotura completa del tendón supraespino, rotura parcial del subescapular y severo derrame peritendón del bíceps junto con derrame articular glenohumeral.
Otras pruebas complementarias realizadas (si existen)
Radiografía: sin signos de fractura.
Resonancia magnética: rotura completa del supraespinoso, rotura completa del subescapular, rotura miotendinosa del infraespinoso, severo derrame articular glenohumeral.
Juicio clínico, diagnóstico diferencial, concordancia con el hospital (en su caso)
Juicio diagnóstico: rotura manguito de los rotadores (rotura completa supraespinoso).
Diagnóstico diferencial: fractura húmero, artritis humeral, pseudoartrosis de húmero, tendinitis, tendinosis.
Decisiones adoptadas: tratamiento, planes de actuación
Se optimizó el tratamiento analgésico pautado y se ofreció a la paciente la infiltración ecoguiada, que rechazó en ese momento. Además se amplió el estudio a una resonancia magnética para confirmar los hallazgos que encontramos con la ecografía clínica realizada en el Centro de Salud.
Evolución y seguimiento
Al observar dichos hallazgos decidimos pedir una resonancia magnética que confirmó los hallazgos. Posteriormente derivamos a traumatología que citó a la paciente e indicó que sería candidata a cirugía de colocación de prótesis invertida que ella rechazó. Posteriormente a la semana, volvió a nuestra consulta indicando que el dolor había aumentado y se le realizó la infiltración.
La ecografía es una técnica no invasiva y segura que implementada en el Centro de Salud ofrece grandes ventajas como por ejemplo un diagnóstico temprano más o menos exacto y el ahorro de tiempo y recursos, como por ejemplo este caso en el que en la primera consulta de la paciente ya se pudo diagnosticar y posteriormente derivar a traumatología con una sospecha diagnóstica precisa. Permite además una mejora de la confianza del paciente en su médico y una mejoría de la calidad asistencial y comunicación entre distintas especialidades.



