5, 6 y 7 de febrero de 2026
Urgencias.
Vómitos.
Enfoque individual
Hombre de 58 años con antecedentes de HTA, diabetes tipo 2 y dislipemia, en tratamiento crónico con insulina Novomix, Secalip, Sinjardy, Omeprazol y Acovil, que presenta desde la tarde vómitos alimenticios, fiebre no medida y dolor abdominal difuso, sin síntomas urinarios ni respiratorios. Refiere regreso de Bolivia hace 5 días, donde consumió berros, y niega contacto con personas enfermas.
Enfoque familiar y comunitario
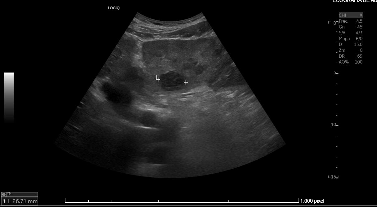
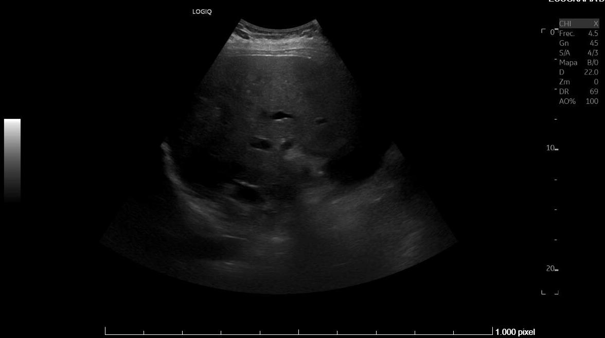
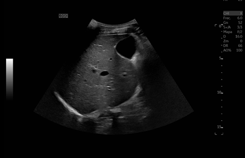
TA 163/83 mmHg, T 39,1 °C, FC 119 lpm, SatO₂ 94%. Abdomen globuloso con molestias en epigastrio y ligera esplenomegalia, sin signos de irritación peritoneal, RHA presentes, puño percusión negativa. Sin alteraciones neurológicas ni otros hallazgos relevantes.
Juicio clínico, diagnóstico diferencial, identificación de problemas
Diagnostico diferencial: Fasciolasis Hepatica, hidatidosis hepatica, Etiología metastasica.
Juicio clínico: Síndrome febril agudo en contexto de infección hepatica probable por Fasciola Hepatica . Esplenomegalia y trombocitopenia.
Tratamiento y planes de actuación
La serología permite detectar la infección a las 2-4 semanas, mientras que el estudio de heces tiene mayor rendimiento a los 3-4 meses; por ello se opta por iniciar con serología.
Tratamiento: Triclabendazol 10 mg/kg/día durante 1-2 días.
Evolución
En seguimiento en otra comunidad.
Una anamnesis cuidadosa, la interpretación de síntomas y el contexto epidemiológico permiten orientar el diagnóstico, iniciar estudios adecuados y asegurar un seguimiento efectivo, mostrando su papel central en la prevención de complicaciones y en la continuidad asistencial.


