V Jornadas de Ecografía de la semFYC

9 y 10 de febrero de 2024

Comunicaciones: Casos clínicos

Nunca es tarde, si el diagnóstico es el correcto (póster)

Ámbito del caso

Atención Primaria.

Motivos de consulta

Dolor abdominal tipo cólico en flanco derecho de meses de evolución.

Historia clínica

Enfoque individual

Mujer de 43 años con sobrepeso que consulta de forma programada y asintomática porque ha acudido en lo que va de año 5 veces a urgencias del punto de atención continuada por dolor abdominal que mejora con analgesia. No ha presentado fiebre ni malestar general en ningón momento. 
Se cita a la paciente a la semana siguiente en ayunas y se realiza ecografía de abdomen donde se observa litiasis biliar. 

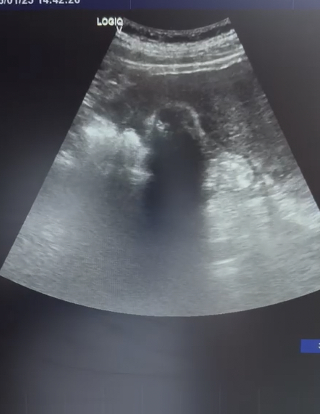
Hallazgos ecográficos

Se observa la vesícula biliar con varias litiasis en su interior y sombra acústica posterior. No se observan signos de colecistitis ni dilatacion de la vía biliar.

Pruebas complementarias

No se realizan otras pruebas. 

Juicio clínico, diagnóstico diferencial, identificación de problemas

Se realiza diagnóstico diferencial con pancreatitis, cólico renal derecho. Pero finalmente se orienta como posibles cólicos biliares de repetición que se confirman en ecografía. 

Tratamiento y planes de actuación

Dada la presencia de litiasis biliares se deriva a la paciente a cirugía general, donde repiten la ecografía y se constata el mismo diagnóstico. Finalmente es intervenida quirúrgicamente de forma programada realizándose una colecistectomía. 

Evolución

Buena evolución tras la colecistectomia. 

Conclusiones (y aplicabilidad para la Medicina de Familia)

La ecografía abdominal es una herramienta valiosa y de primera línea en el diagnóstico de litiasis biliar. Su capacidad para detectar cálculos biliares, evaluar la vesícula biliar y el sistema biliar, su no invasividad y su relativa accesibilidad la convierten en una opción clave para la evaluación inicial de pacientes con sospecha de enfermedad de la vesícula biliar.
 
 

Comunicaciones y ponencias semFYC: 2026; Comunicaciones: Casos clínicos. ISSN: 2339-9333

Autores

Merlo, Javier
CS Petrer 1
Sanz Navarro, Pablo José
CS Petrer 1
Hidalgo Ibáñez, Mónica
CS Petrer 1