5, 6 y 7 de febrero de 2026
Enfoque individual
Mujer de 25 años, sin antecedentes de interés, valorada 5 días antes en Urgencias por dolor abdominal, con pruebas complementarias normales y test de embarazo negativo. Alta como dolor abdominal inespecífico. Reconsulta por persistencia e intensificación del mismo en las últimas horas. Afebril, náuseas sin vómitos. Exploración cardiopulmonar normal, y dolor en FID sin claros signos de irritación peritoneal.
Se amplía anamnesis, retirada de implante anticonceptivo 4 meses antes por spotting. FUR 14 días antes con sangrado más abundante y duradero.
Ante la persistencia de dolor con pruebas anodinas, se realiza ecografía clínica.
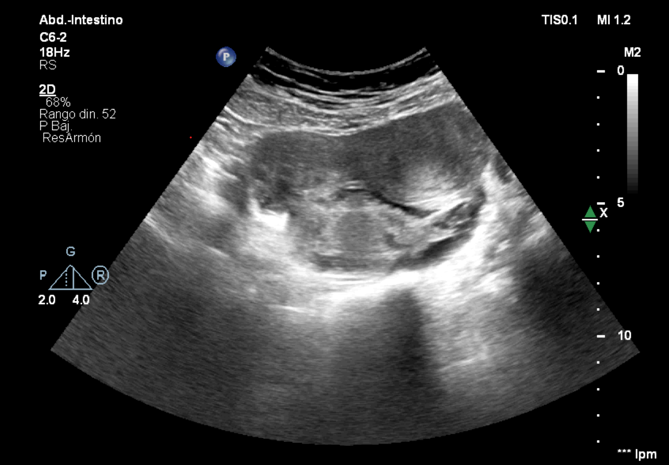
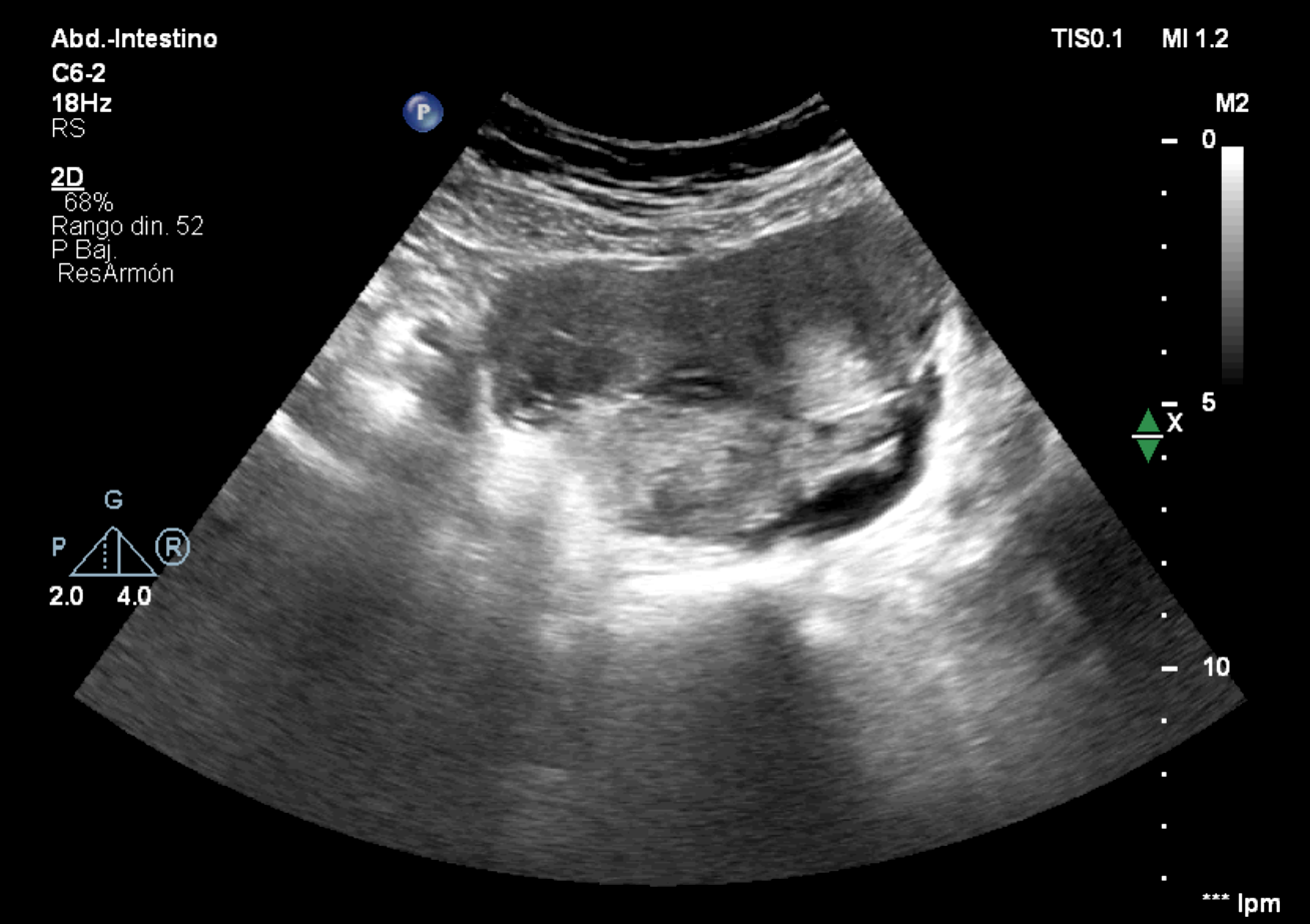
Hallazgos ecográficos
En pelvis menor una estructura paranexial derecha de 76 x 36 mm, bien delimitada, y estructura tubular anecoica adyacente que parece corresponder a la trompa de Falopio dilatada.
Pruebas complementarias
Analítica, 12000 leucocitos sin elevación significativa de reactantes. Sistemático de orina, normal.
Juicio clínico, diagnóstico diferencial, concordancia con el hospital (en su caso)
Se establece como diagnóstico diferencial, CRU, apendicitis aguda, patología ginecológica.
Tratamiento, planes de actuación
Se contacta con Ginecología, repiten test de embarazo, positivo débil. Realizan nueva ecografía, corroborando hallazgos previos, compatibles con embarazo ectópico y hematosalpinx.
Se propone tratamiento con metotrexato.
Evolución
Ante empeoramiento clínico, se realiza cirugía urgente, con hallazgo de gestación ectópica derecha rota; realizándose salpinguectomía derecha. La paciente permanece ingresada para observación posquirúrgica.
La patología ginecológica supone el 13-15% de las consultas en Urgencias por dolor abdominal, de ellas, el 13% corresponden con embarazo ectópico. Aunque no es la causa más frecuente, su número no es desdeñable, y en muchas ocasiones pasa inadvertida por lo inespecífico de la clínica y normalidad de pruebas analíticas.
Es en estos casos donde la ecografía clínica cobra relevancia, permitiendo por un lado descartar presencia de signos ecográficos que sugieran otras etiologías (hidronefrosis en CRU complicado) y por otro, ver la presencia de otros que orienten hacia patología ginecológica (presencia de líquido libre, masas anexiales, hidrosalpinx), si bien, es importante recordar que todo ello deber interpretarse siempre en el correcto marco clínico.
Así en este caso clínico concreto, la ecografía clínica permitió ante un dolor abdominal inespecífico, pero intenso y persistente, lograr el diagnóstico y correcto tratamiento de una patología que, sin él, puede llegar incluso a ser fatal.


