X Jornadas de Actualización en Medicina de Urgencias y VI Jornadas de Ecografía de la semFYC
6-7-8 de febrero de 2025
Hombre de 55 años acude tras una visita en urgencias por dolor, púrpura e impotencia funcional en tobillo derecho. En urgencias, se hace dimero D, radiografía simple y ecoscopia a pie de cama todo negativo. Le indican ibuprofeno y medias.
Acude a mi consulta por persiste de la clínica y para pedir incapacidad laboral temporal.
Antecedentes personales relevantes, anamnesis, exploración física y lugar que ocupa en ella la ecografía
Previo a este proceso no presentaba antecedentes de interés salvo un esguince etiquetado como leve en la mutua en ese tobillo hacía unos 6 meses. Trabaja como guardia de seguridad en turnos de 12 horas en el aeropuerto.
Exploración.
Edema importante. Ovillo varicoso en zona gemelar posterior sin datos de trombosis ni de inflamación en mi exploración. Purpura cutánea leve, dolor importante a punta de dedo en paquete tendinoso retromaleolar externo.
Descripción de los hallazgos ecográficos y las imágenes más relevantes para la resolución del caso
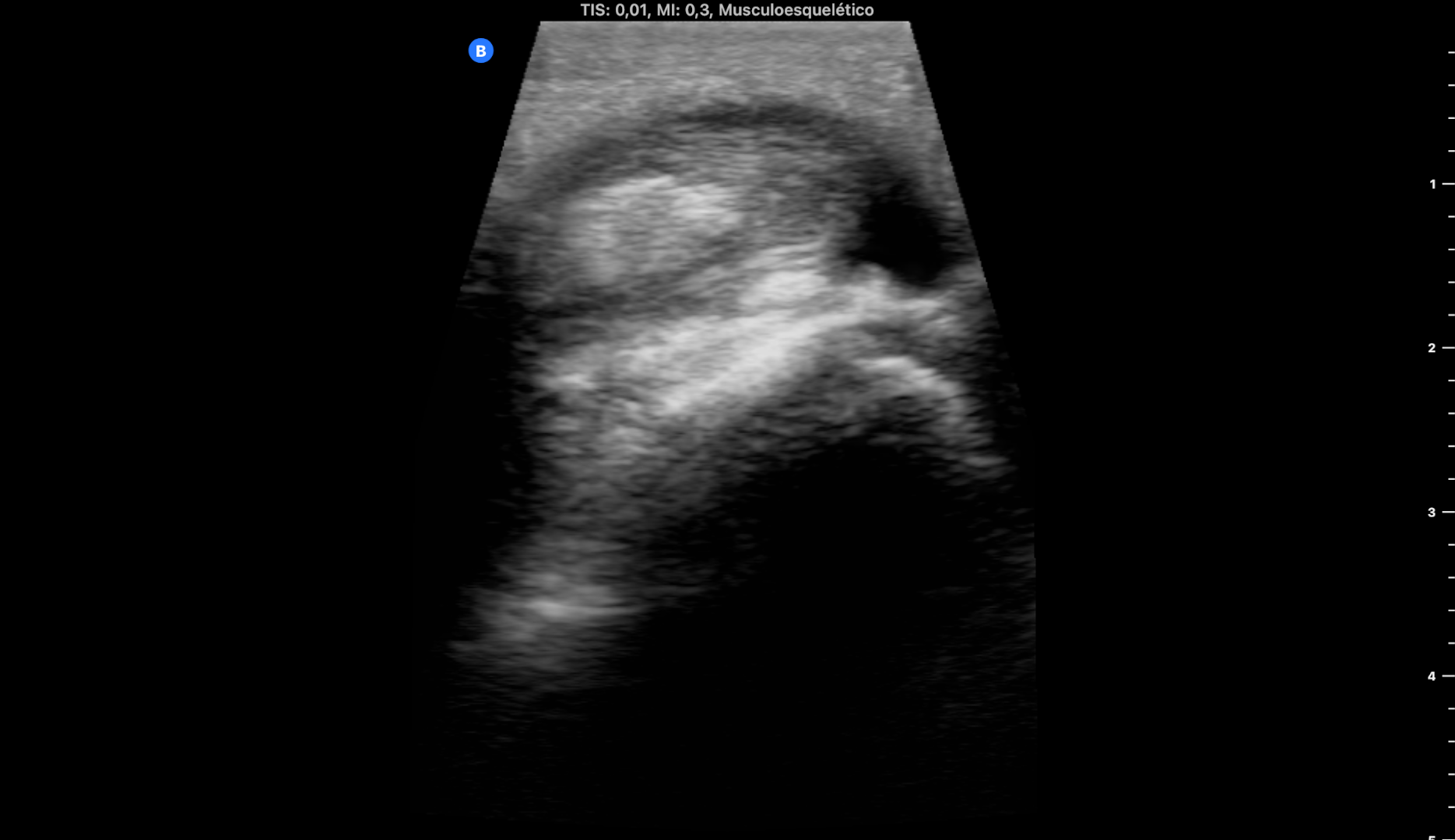
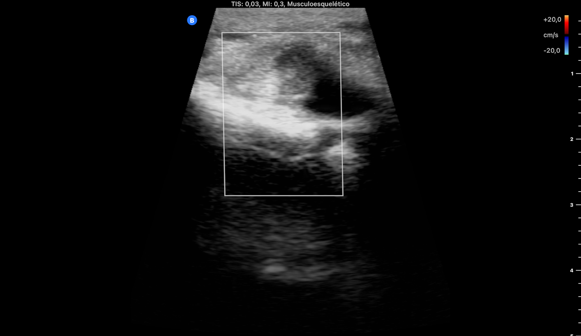
EcoAP: importantes dilataciones varicosas superficiales sin TVP en todo el recorrido de la pierna desde rodilla hacia tobillo. No TVP. No roturas fibrilares. Aquile íntegro.
A nivel del paquete de los tendones peroneos se objetiva importante tenosinovitis y desflecamiento del peroneo largo haciendo una imagen en boomerang.
Otras pruebas complementarias realizadas (si existen)
Le pedí una ecografía reglada a fin de afinar el diagnóstico que confirmó mis hallazgos.
Juicio clínico, diagnóstico diferencial, concordancia con el hospital (en su caso)
Impresión diagnóstica: tenosinovitis de la vaina del paquete tendinoso de los tendones peroneos a nivel de su paso retromaleolar.
Diagnóstico diferencial: TVP, celulitis complicada, edema por várices, paniculitis.
Decisiones adoptadas: tratamiento, planes de actuación
Desde urgencias, le derivaron a vascular sospechando que el edema era por la bipedestacion y las várices.
Le pedí una ecografía reglada a fin de afinar el diagnóstico que confirmó mis hallazgos.
Le derivé a Traumatologia que desestimó IQ.
Le derivé a Rehabilitación para recuperación tendinosa con mejoría progresiva de la clínica.
Evolución y seguimiento
El paciente fue operado con éxito de las várices.
El paciente mejoró muy progresivamente del dolor pero persiste a día de hoy dolor y edema ocasionales y a nivel ecográfico persiste la imagen en boomerang si bien ya no presenta líquido peritendinoso ni edema crónico.
Sin la ecografía, el paciente podría haberse quedado pendiente de IQ de varices, con dolor incapacitante y probablmente se hubiera demorado mucho mas el diagnóstico y la recuperación.



