V Jornadas de Ecografía de la semFYC

9 y 10 de febrero de 2024

Comunicaciones: Casos clínicos

No todo síndrome miccional es infección de orina (póster)

Ámbito del caso

Atención Primaria.

Motivos de consulta

Urgencia miccional y dolor abdominal.

Historia clínica

Enfoque individual

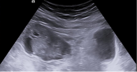
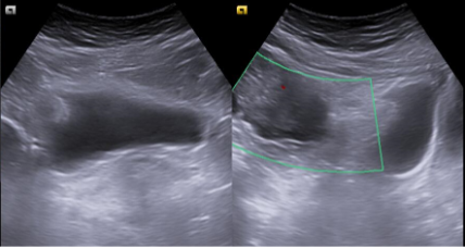
Mujer de 64 años, con antecedente de infecciones urinarias de repetición, consulta por urgencia miccional de dos meses de evolución, con dolor en fosa iliaca derecha e hipogastrio ocasional. Se realiza urocultivo y se pauta antibioterapia. Consulta nuevamente por persistencia de la clínica a pesar de urocultivo posterior negativo. Se realiza petición de ecografía abdominal pero, dada la continuidad de la sintomatología, se realiza mientras tanto ecografía POCUS en centro de salud. 

Hallazgos ecográficos

Compresión extrínseca de la vejiga por tumoración mixta solidoquística que proceden de zona anexial derecha, en zona superior y lateral derecha.

Pruebas complementarias

  • Analítica (marcadores tumorales): Ca 125 141.0, HE4 132, fórmula ROMA postmenopáusica 64.81% (alto riesgo, a descartar neoplasia ovárica). 
  • TC toraco-abodmino-pélvico: masa ovárica derecha con metástasis linfáticas, retroperitoneales e iliacas derechas, probable estadio IIIa1 de la FIGO.
  • Anatomía patológica tras anexectomía doble diagnóstica: Anejo derecho: tumor seroso de alto grado de predominio sólido con áreas quísticas, que se extiende a mucosa y superficie tubárica como también a fimbrias de trompa de Falopio. Presencia de embolias vasculares linfáticas. Anejo izquierdo: trompa permeable, sin alteraciones histológicas significativas. Líquido ascítico negativo para malignidad.

Juicio clínico, diagnóstico diferencial, identificación de problemas

Carcinoma de ovario derecho seroso de alto grado, estadio IIIa de la FIGO.

Diagnóstico diferencial: infección del tracto urinario, tumor vesical, incontinencia urinaria de urgencia.

Tratamiento y planes de actuación

Tras hallazgos ecográficos, se deriva a la paciente de forma urgente a Ginecología, donde le solicitan TC y se ingresa de forma programada para intervención quirúrgica, confirmándose el diagnóstico de tumor ovárico. 

Evolución

La paciente de 64 años que ingresa para cirugía programada (Anexectomía bilateral + toma de biopsias laparoscópicas) por masa anexial derecha a estudio. El procedimiento cursa sin incidencias, siendo el postoperatorio satisfactorio. Posteriormente, la paciente es remitida a consultas de Oncología Médica para tratamiento adyuvante.

Conclusiones (y aplicabilidad para la Medicina de Familia)

La ecografía abdominal es una herramienta muy útil para el Médico de Familia y permite adelantar el tiempo diagnóstico y el inicio del tratamiento de la patología subyacente. En este caso, gracias a la realización de una ecografía clínica en el centro de salud, se pudo objetivar una masa anexial derecha, causante de la sintomatología, y de esta forma iniciar el tratamiento de una forma precoz.


Comunicaciones y ponencias semFYC: 2026; Comunicaciones: Casos clínicos. ISSN: 2339-9333

Autores

Victoria López, Mar
CS San Antón. Cartagena. Murcia
Perez-Crespo Gómez, Carmen
CS San Antón. Cartagena. Murcia
Castañeda Pérez-Crespo, Alba
CS San Antón. Cartagena. Murcia