X Jornadas de Actualización en Medicina de Urgencias y VI Jornadas de Ecografía de la semFYC
6-7-8 de febrero de 2025
Enfoque individual: antecedentes personales, anamnesis, exploración, pruebas complementarias, etc.
Hombre de 47 años, acude por dolor cólico en flanco izquierdo de 10 días de evolución, afebril, no síntomas digestivos ni urinarios. Niega traumatismo abdominal.
A su llegada, estable hemodinámicamente, afebril. En la exploración dolor en hipocondrio y flanco izquierdo, sin megalias, masas ni irritación peritoneal. Puño percusión renal negativa.
En el análisis hipertransaminasemia (GOT 953 U/L y GPT 390 U/L). Plaquetopenia de 27.000, acidosis metabólica leve (PH 7.31) y fracaso renal agudo (Creatinina 3,96 mg/dl y filtrado Glomerual de 16,9 ml/min). En orina presenta microhematuria aislada.
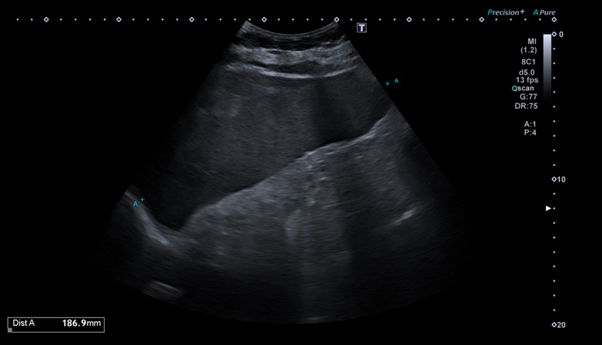
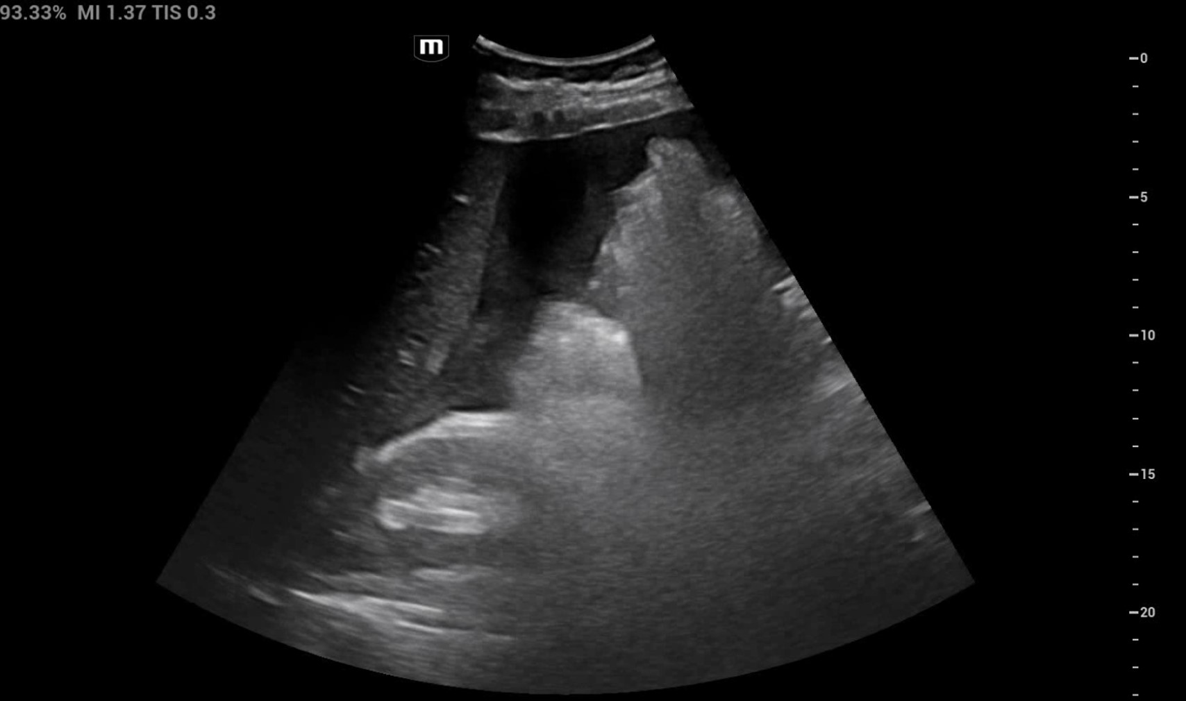
Se realiza ecografía clínica con esplenomegalia de 18 cm con líquido libre en receso esplenorrenal e interasas. Hígado con tamaño y morfología normal con atenuación aumentada de parénquima en probable contexto de hepatopatía difusa. Riñones de tamaño y morfología normal, con buena diferenciación corticomedular. No se observa dilatación de la vía excretora. Vejiga escasamente replecionada sin visualizar engrosamientos focales de la pared.
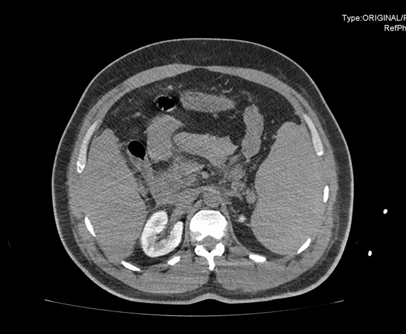
En base a estos hallazgos se realizó TAC (tomografía axial computerizada) de abdomen donde se confirmaron los signos de hepatopatía con hipertensión portal. Esplenomegalia y rotura contenida de bazo sin signos de hemorragia activa en el momento actual.
Juicio clínico, diagnóstico diferencial, identificación de problemas
Inicialmente los síntomas del paciente y la microhematuria podrían orientar hacia un cólico renoureteral izquierdo. Comenzó con datos de coagulopatía que plantearon diagnóstico diferencial con microangiopatías trombóticas. Pero la trombocitopenia y la hipertransaminasemia unido a la esplenomegalia y el líquido libre en espacio esplenorrenal orientan a rotura esplénica que finalmente se confirmó en el TAC.
Tratamiento y planes de actuación
Se iniciaron medidas de soporte vital con transfusión de plaquetas y fibrinógeno. Se comentó el caso con cirugía general que decidieron manejo conservador al no presentar sangrado activo y tratarse de una rotura esplénica contenida.
Evolución
Finalmente se trasladó a cuidados intensivos donde comenzó con empeoramiento de perfil hepático. Se trasladó a la unidad de trasplante hepático de nuestro hospital de referencia. Tres días después presentó fallo multiorgánico y falleció.


