V Jornadas de Ecografía de la semFYC

9 y 10 de febrero de 2024

Comunicaciones: Casos clínicos

No todo es trombosis venosa profunda (póster)

Ámbito del caso

Servicio de Urgencias.

Motivos de consulta

Dolor en región medial de pierna izquierda.

Historia clínica

Enfoque individual

Antecedentes de Diabetes Mellitus tipo II, hipertensión arterial y dislipemia. Acude a Urgencias por dolor en región medial de 1/3 medial de pierna izquierda desde hace 3 días. Sin cambios en estilo de vida reciente. Sin cambios en la medicación.

Exploración física: En región medial de pierna izquierda, a la altura de tercio medial tibial, presenta leve eritema de 2-3 cm de longitud con dolor y calor a la palpación. Sin edemas o hematomas. Sin lesiones o heridas cutáneas. Exploración neurovascular distal conservada.

Hallazgos ecográficos

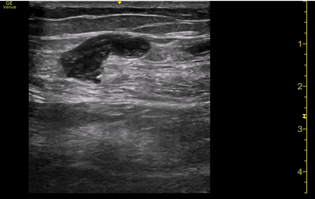
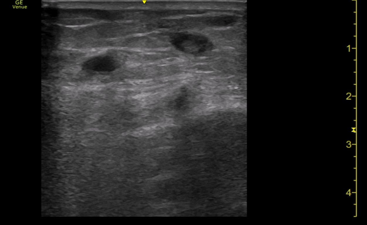
Ecografía a pie de cama: Con sonda lineal, se comienza visualizando vena femoral profunda, la unión de vena safena mayor y la vena poplítea, todas ambas con buena compresión. Por último, se visualiza región dolorosa del paciente, donde se observa vena superficial con contenido hiperecogénico en su interior y ausencia de cambios con la compresión. Se delimita dicha región con longitud inferior a 5 cm y a más de 5 cm de unión safeno-poplítea.

Pruebas complementarias

Analítica sanguínea sin elevación de reactantes de fase aguda, con dímero de 1000. Resto de parámetros en rango.

Juicio clínico, diagnóstico diferencial, identificación de problemas

Trombosis venosa superficial.

Tratamiento y planes de actuación

Por presentarse más lejos de 5 cm de unión safeno-poplítea y una longitud inferior a 5 cm, se procede a anticoagulación con dosis profilácticas con Fondaparinux 2,5 mg subcutáneo. Se explica cómo utilizar dicha medicación al paciente y se cita en consultas de Enfermedades Tromboembólicas de Medicina Interna para seguimiento con Ecografía reglada de control.

Evolución

En consultas, mejoría clínica y ecográfica de la trombosis. Sin complicaciones posteriores.

Conclusiones (y aplicabilidad para la Medicina de Familia)

Las trombosis venosas de miembros inferiores son patologías que todo médico de Familia debería conocer y saber cómo manejar, y aún más importante, entender la importancia y facilidad de la ecografía.

En este paciente, con únicamente un conocimiento de dicha patología y anatomía corporal y un manejo de ecografía permite poder solucionarlo desde un Centro de Salud, sin necesidad de otras pruebas complementarias o de derivar a Urgencias hospitalarias.

Por tanto, un buen manejo de ecografía en el centro de Salud, no solo permite diagnosticar con mayor facilidad y rapidez, sino evita uso de recursos innecesarios.


Comunicaciones y ponencias semFYC: 2026; Comunicaciones: Casos clínicos. ISSN: 2339-9333

Autores

Colmenero Rollinson, Roberto Julian
Fundación Jímenez Díaz. Madrid
Torrado Bonet, María
Fundación Jímenez Díaz. Madrid
Arias Ramírez, Daniel
Fundación Jímenez Díaz. Madrid