V Jornadas de Ecografía de la semFYC

9 y 10 de febrero de 2024

Comunicaciones: Casos clínicos

No todo es lo que parece (2024) (póster)

Ámbito del caso

Atención Primaria.

Motivos de consulta

Bulto en cuello.

Historia clínica

Enfoque individual

Mujer de 43 años, sin antecedentes de interés, salvo madre hipotiroidea.

Consulta por autopalpación reciente de bulto en cuello sin otros síntomas acompañantes.

Exploración física: Nódulo visible y palpable, localizado en cara anterolateral derecha de cuello de aproximadamente 2 cm de diametro, móvil, no adherido a planos profundos, de consistencia gomosa y no doloroso a la palpación.

Realizimos ecografía clínica en consulta. 

Hallazgos ecográficos

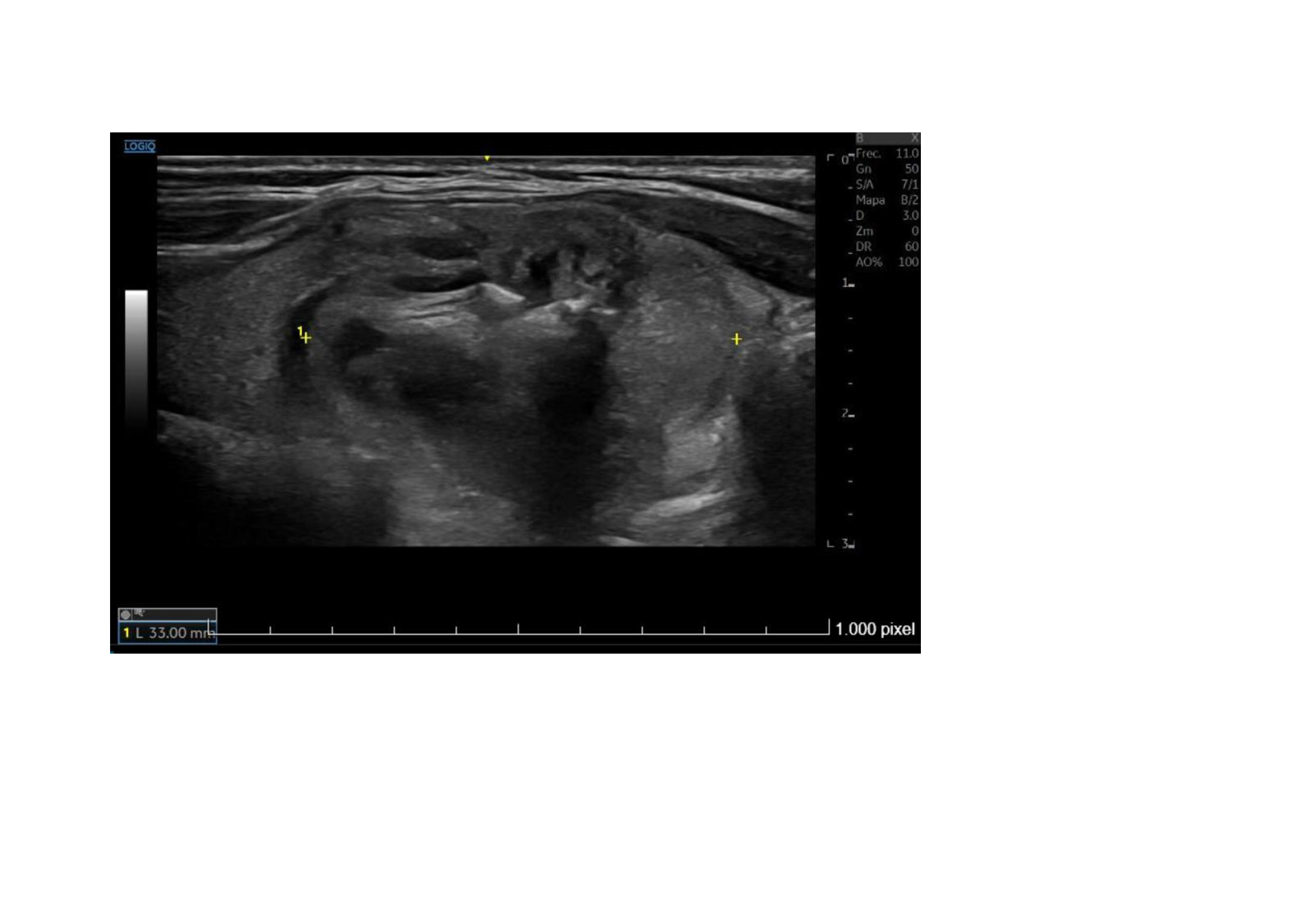
Ecografía clínica: En lóbulo tiroideo derecho observamos nódulo mixto sólido-quístico, de 11,8 x 14,5 x 15,4 mm, de bordes bien delimitados mayoritariamente hipoecogénico, parcialmente tabicado a nivel inferomedial, más alto que ancho con micro calcificaciones en su interior. TIRADS 5.

Ante los hallazgos ecográficos solicitamos Eco-PAAF en nuestro hospital de referencia.

Pruebas complementarias

Analítica normal.

Juicio clínico, diagnóstico diferencial, identificación de problemas

Juicio clínico: Nódulo tiroideo TIRADS 5.

Diagnóstico diferencial: Carcinoma de tiroides, quiste tiroideo, adenoma folicular.

Ecografía Hospital: Lóbulo tiroideo derecho aumentado de tamaño (2,2 cm de diámetro anteroposteior), por la presencia de un nódulo sólido, heterogéneo, levemente hipoecoico, bien definido, con áreas de degeneración quística y calcificaciones groseras en su interior, de 22 x 21 x 33 mm. Resto del tiroides sin alteraciones. No se aprecian adenopatías cervicales. Glándulas salivares sin alteraciones. Conclusión: Nódulo en lóbulo tiroideo derecho, único, TIRADS 4.

PAAF (1 pase sin complicaciones) con resultado citológico: sospecha de neoplasia folicular (Categoría IV de Bethesda).

Pese a la discrepancia en la clasificación TIRADS, por el tamaño del nódulo está indicado en ambos casos la realización de PAAF, siendo esta sugestiva de malignidad e indicada la cirugía.  

Tratamiento y planes de actuación

Se remite a cirugía general para hemitiroidectomía derecha.

Biopsia de la pieza quirugica: Hiperplasia multinodular. Sin evidencia de neoplasia/malignidad.

Evolución

La paciente se encuentra eutiroidea tras la cirugía.

Conclusiones (y aplicabilidad para la Medicina de Familia)

La ecografía tiene un papel fundamental en las consultas de Atención Primaria, acelerando el proceso diagnóstico y disminuyendo los tiempos de espera para realizar pruebas hospitalarias. Hacen posible orientar el caso antes de derivarlo y realizar una aproximación diagnostica.
Puede darse el caso, que la sospecha diagnostica inicial corroborada por prueba de imagen más estudio citológico suponga un falso positivo.


Comunicaciones y ponencias semFYC: 2026; Comunicaciones: Casos clínicos. ISSN: 2339-9333

Autores

Agullo Roca, Francisco
CS Vistalegre La Flota. Murcia
Cabezuelo Baldueza, Marta
CS Vistalegre La Flota. Murcia