V Jornadas de Ecografía de la semFYC

9 y 10 de febrero de 2024

Comunicaciones: Casos clínicos

No todo es lo que parece (póster)

Ámbito del caso

Atención Primaria.

Motivos de consulta

Dolor lumbar.

Historia clínica

Enfoque individual

Mujer de 65 años, que consulta por lumbalgia de semanas de evolución. No traumatismo. No fiebre, dolor abdominal, náuseas, vómitos, ni cambios en orina, heces, ni otra sintomatología.
En la exploración física, se encuentra afebril, sin apofisalgias con dolor a la palpación a nivel de musculatura paravertebral lado derecho. Abdomen y resto de la exploración sin hallazgos relevantes.

Hallazgos ecográficos

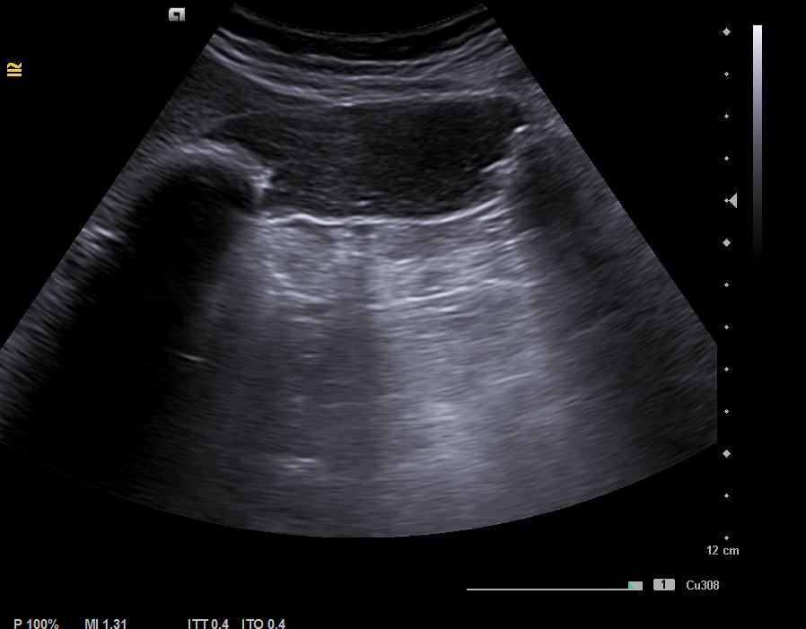
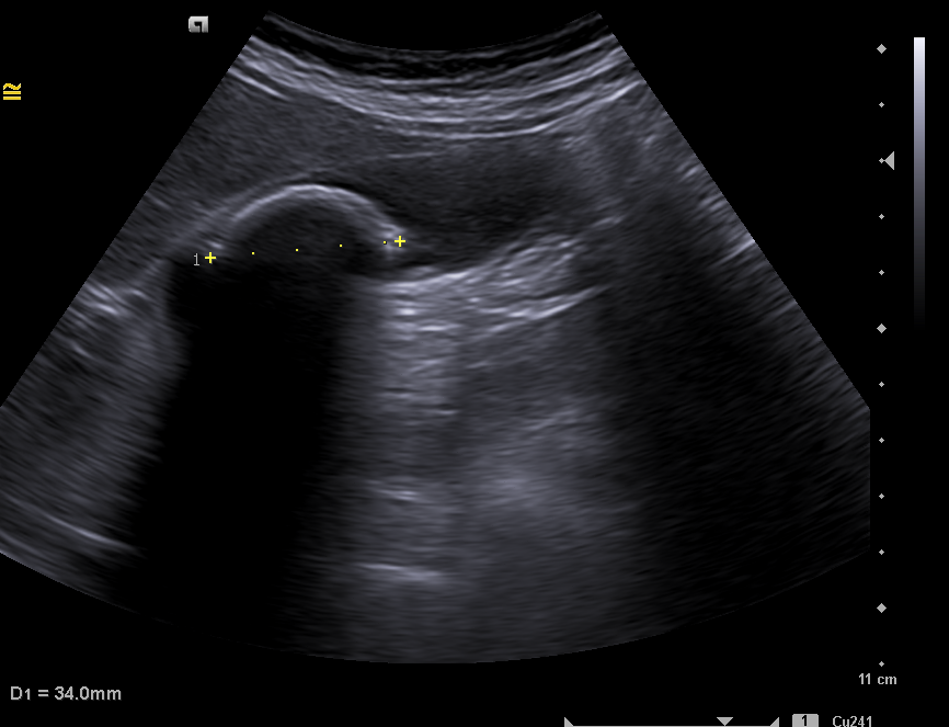
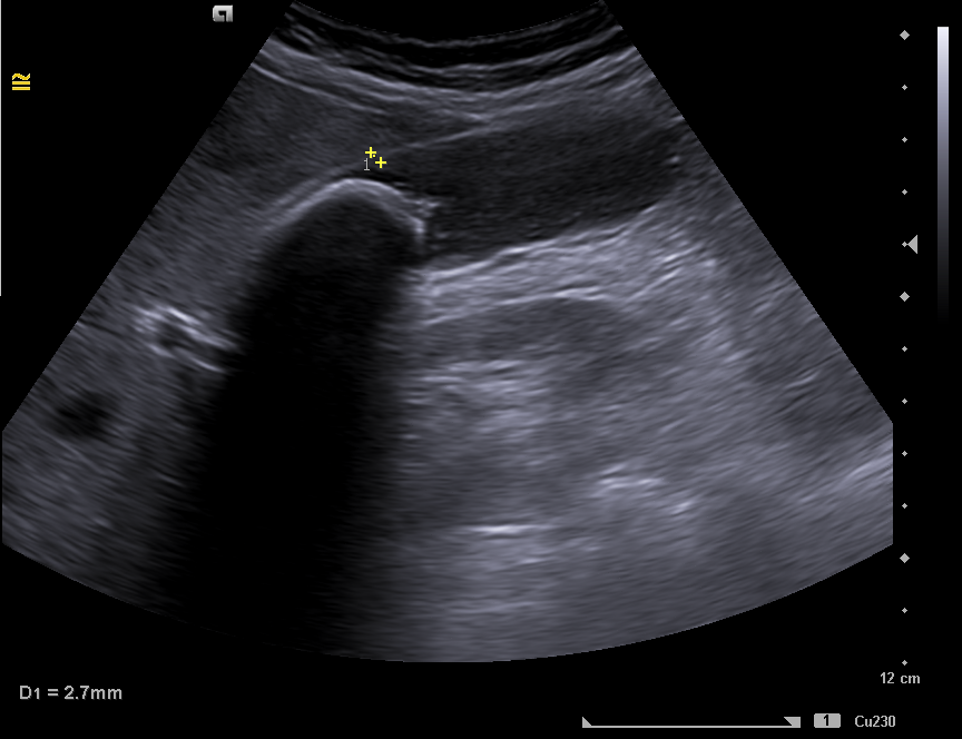
Se realiza una ecografía clínica en el momento, con calcificación en toda la vesícula, enfocando el diagnóstico en la presencia de una vesícula en porcelana y explicamos a la paciente el posible manejo.

Ante la clínica se cita a la paciente en ayunas, para conseguir una máxima distensión de la vesícula.  Se observa una imagen hiperecogénica  móvil, con sombra acústica posterior compatible con litiasis de 35 mm. Sin colección perivesicular ni dilatación de la vía biliar intrahepática y extrahepática. Hígado con ecoestructura y ecogenicidad normal, sin LOES en su interior.  Hallazgos compatibles con litiasis vesicular gigante, descartando el diagnóstico de vesícula en porcelana.

Pruebas complementarias

Sin mejoría de lumbalgia tras tratamiento, se realiza radiografía de columna, donde se observa calcificación de una estructura esférica en el cuadrante superior derecho.

Juicio clínico, diagnóstico diferencial, identificación de problemas

Ante este hallazgo nos planteamos el diagnóstico diferencial con patologías que cursen con presencia de lesiones de densidad cálcica en hipocondrio derecho, entre las que encontramos:

  • Vesícula y vía biliar: Litiasis vesicular, Vesícula en porcelana
  • Hígado: Granulomas calcificados, hidatidosis

Tratamiento y planes de actuación

Derivación a digestivo quienes programan intervención quirúrgica

Evolución

Nuestra paciente se encuentra en lista de espera quirúrgica.

Conclusiones (y aplicabilidad para la Medicina de Familia)

Este caso nos permite entender la importancia de la realización de una ecografía clínica en adecuadas condiciones,  concretamente en la vesícula, debemos hacerlo de forma programada, para permitir su mejor replección y llegar a un correcto diagnóstico. El juicio clínico inicial parecía estar en concordancia con el de vesícula en porcelana por la falsa imagen de vesícula totalmente calcificada que, en realidad, producía esa litiasis gigante. Esto es importante para un adecuado manejo de las litiasis, ya que, en los pacientes asintomáticos, se recomienda colecistectomía en casos concretos con aumento de riesgo de cáncer de vesícula como presencia litiasis de gran tamaño (> 3 cm) o vesículas en porcelana.


Comunicaciones y ponencias semFYC: 2026; Comunicaciones: Casos clínicos. ISSN: 2339-9333

Autores

Buendia Peñalver, Maria Esperanza
C.S Las Torres De Cotillas. Murcia
Mateos Panalés, Maria
C.S Las Torres De Cotillas. Murcia