X Jornadas de Actualización en Medicina de Urgencias y VI Jornadas de Ecografía de la semFYC
6-7-8 de febrero de 2025
Urgencias Hospitalarias.
Deterioro del estado general.
Enfoque individual: antecedentes personales, anamnesis, exploración, pruebas complementarias, etc.
> Anamnesis: Mujer de 78 años acude por cuadro de 3 semanas de evolución con disnea progresiva, actualmente a pequeños esfuerzos, asociado a malestar general. Ortopnea de dos almohadas, sin cambios. Empeoramiento progresivo con hiporexia, 1 vómito alimenticio aislado ayer. Sin otra clínica acompañante.
> Exploración física: aceptable estado general, SatO2 90% basal TA: 160/62 mmHg; FC: 78 lpm.
> Pruebas complementarias
Juicio clínico, diagnóstico diferencial, identificación de problemas
Se realiza IC a Cardiología por sospecha de IC descompensada y recomienda intensificar pauta diurética. Sin embargo, la paciente pasa la noche en observación con escasa respuesta al tratamiento.
Tratamiento y planes de actuación.
Intensificación de pauta diurética.
Evolución
Atendiendo a la elevación de RFA en analítica inicial se procede a control para descartar posible foco infeccioso: descenso de la leucocitosis, neutrofilia y PCR 8, con deterioro de la función renal, iones normales. Bilirrubina total 3,29, a expensas de directa. AST 238, ALT 31.
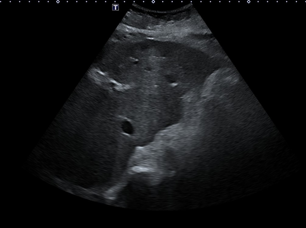
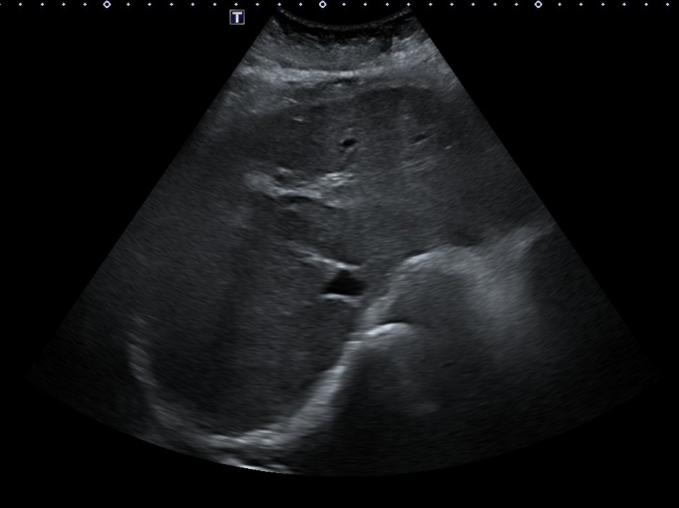
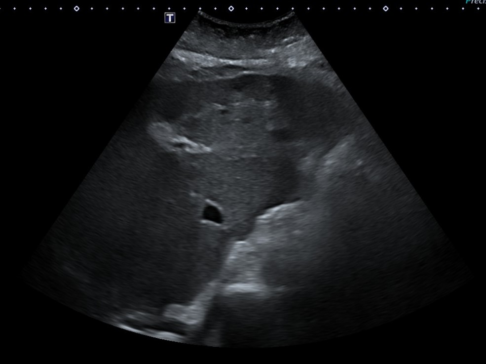
Ante resultados analíticos se realiza ecografía clínica a pie de cama. Se evidencia parénquima hepático de consistencia irregular con lesiones hipoecoicas sugestivas de metástasis tumorales. Se solicita estudio reglado.
En TC abdominal-pélvico informan:
Múltiples lesiones hipodensas hepáticas en probable relación con metástasis sin poder descartar sobreinfección de las mismas dado los datos clínicos aportados. Adenopatías retroperitoneales patológicas.
Se decide ingreso de la paciente para completar estudio a cargo de medicina interna.
Con este caso queremos resaltar la importancia de la valoración de las pruebas complementarias y la clínica en su conjunto. Ya que, a pesar de que la mayoría de los datos aportados por la paciente eran sugestivos de una posible descompensación de su insuficiencia cardiaca, los resultados analíticos fueron fundamentales para evidenciar un proceso neoplásico. En este caso, además la posibilidad de realización de ecografía a pie de cama resultó un apoyo fundamental en el diagnóstico final.


