5, 6 y 7 de febrero de 2026
Atención Primaria (AP), centro de salud.
Edema en pierna izquierda (izda).
Enfoque individual
Antecedentes personales:
Anamnesis: hombre de 66 años que acude a consulta por presentar desde semanas anteriores, edema en la pierna derecha, que ha ido progresando hasta llegar al tercio superior, que desaparece con el decúbito. No presenta disnea, ni fiebre ni otra clínica asociada.
Exploración física: tensión arterial: 130/74, auscultación cardiopulmonar: normal. Extremidades inferiores: edema con fóvea hasta tercio superior de la pierna derecha, con aumento leve de calor local y eritema. Pulsos pedios palpables.
Escala de Wells para TVP: 3
Hallazgos ecográficos
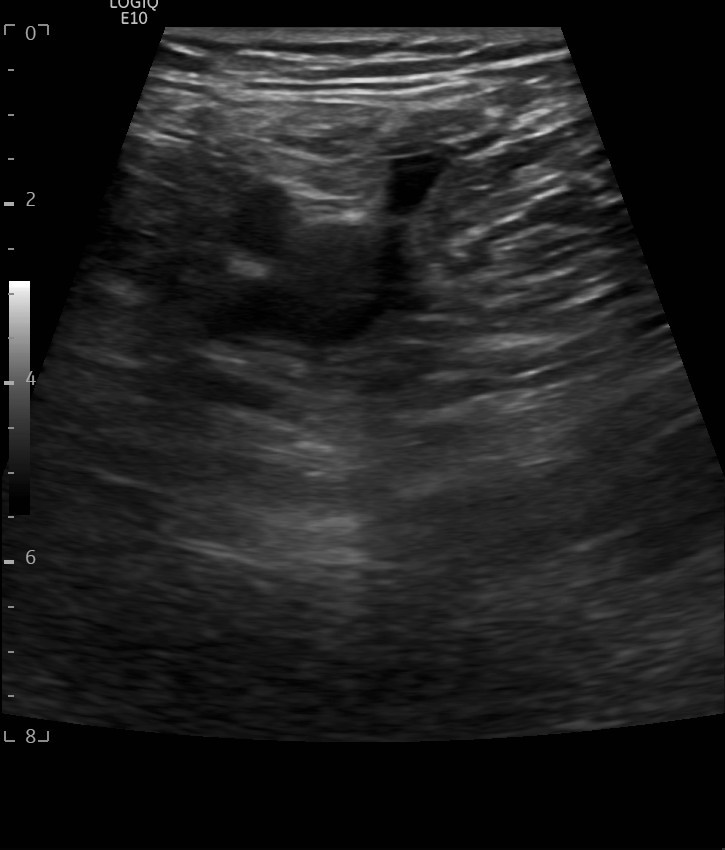
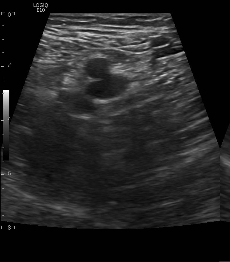
Hallazgos ecográficos: se realiza una ecografía del sistema venoso profundo en 2 puntos demostrando la completa compresibilidad del mismo, no presencia de material ecogénico y buenos flujos en el Doppler color, descartándose trombosis venosa profunda (TVP).
Pruebas complementarias: se realiza dímero D, ante la alta sospecha de TVP, dada la exploración física, cuyo resultado es de 481, descartando con casi total seguridad TVP.
Se realiza una ecografía cutánea: se observan imágenes de “patrón en empedrado o adoquinado”, sugestivo de posible celulitis.
Pruebas complementarias
Dímero D: 481
Juicio clínico, diagnóstico diferencial, concordancia con el hospital (en su caso)
Celulitis.
Tratamiento, planes de actuación
Se instaura tratamiento antibiótico con amoxicilina/clavulánico de 875 mg, mejorando el edema, disminuyendo este hasta tercio medio de la pierna. Se añade clindamicina de 300 miligramos ante la respuesta parcial al tratamiento, además de medidas físicas como medias de compresión y elevación de la pierna en sedestación.
Evolución
Resolución de la celulitis.
Anteriormente a la instauración del ecógrafo en consultas de AP, este tipo de cuadros clínicos los derivábamos a urgencias para descartar un proceso potencialmente grave como es la TVP. Con la ecografía en consulta, podemos descartar de una forma razonable la TVP, y diagnosticar como en este caso, una celulitis, cuya clínica ha sido larvada, por extensión en el tiempo y ausencia de fiebre.



