V Jornadas de Ecografía de la semFYC
9 y 10 de febrero de 2024
Enfoque individual
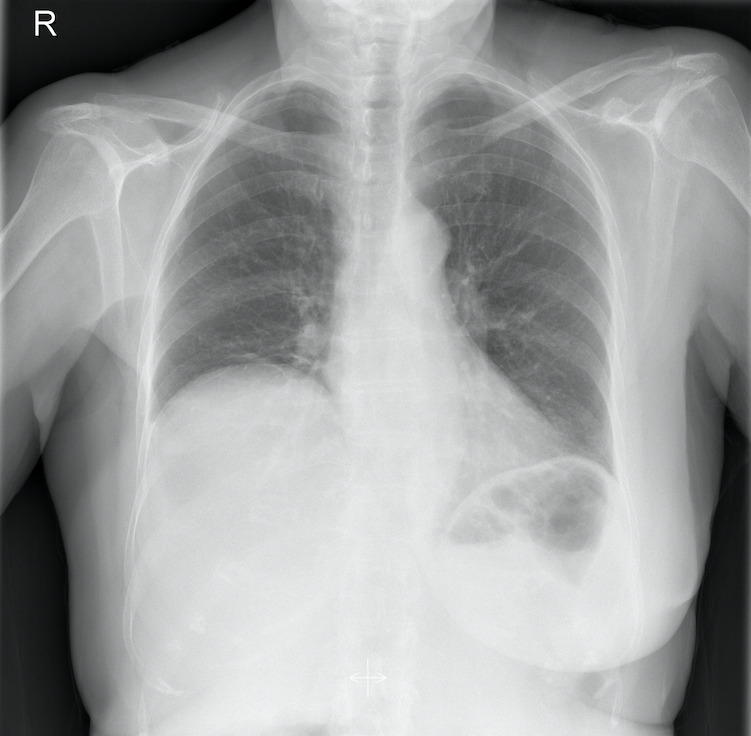
Mujer de 85 años, hipertensa en tratamiento con ARA-II, fue valorada por la mañana en su domicilio debido a dolor torácico no opresivo que aumentaba al inspirar de 24 horas de evolución. Acudió más tarde al punto de atención continuada (PAC) porque el dolor era intenso a pesar de la analgesia pautada. Indagando mejor, el dolor se localizaba en hipocondrio derecho irradiándose al hombro ipsilateral sin acompañarse de fiebre, ictericia, náuseas, vómitos ni alteraciones deposicionales. El ECG fue normal. La auscultación cardio-pulmonar anodina. Destacaba una hepatomegalia dolorosa de dos traveses de dedo con Murphy dudoso. Se derivó al Servicio de Urgencias Hospitalarias (SUH) para valoración. Los datos analíticos de laboratorio se encontraban dentro de límites normales. Se solicitó radiografía de tórax y abdomen que mostraron elevación de hemidiafragma derecho y se dió el alta hospitalaria con el diagnóstico de: «dolor abdominal inespecífico sin datos de alarma» con tratamiento sintomático.
Hallazgos ecográficos
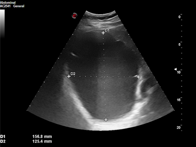
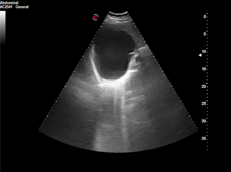
Realizamos ecografía clínica (EC) en nuestro centro de salud, objetivando un quiste de 15 x 12 x 12 cm a expensas de lóbulo hepático derecho, con paredes lisas, refuerzo posterior, contenido anecoico y Doppler-negativo.
Pruebas complementarias
No.
Juicio clínico, diagnóstico diferencial, identificación de problemas
La sospecha diagnóstica principal fue de quiste hepático simple.
En el diagnóstico diferencial se deben descartar el cistoadenoma hepatobiliar y la hidatidosis, esta última mediante serología.
Tratamiento y planes de actuación
La paciente acudió reiteradamente a la consulta de su médico de familia por el mismo motivo. Se solicitó una ecografía abdominal reglada (citada para julio 2024), se pautaron un procinético, un antiflatulento y se añadieron opiáceos menores sin observarse mejoría clínica sustancial.
Evolución
Derivamos a la unidad de diagnóstico rápido hospitalaria donde se espera realizar en la brevedad TAC abdominal para filiar la lesión y valorar opciones terapéuticas.
Los quistes hepáticos simples generalmente no suelen necesitar tratamiento ni seguimiento salvo que sean gigantes (entre 10-20 cm) o que se asocien a síntomas compresivos y/o complicaciones.
La EC fue esencial para aclarar la causa de la sintomatología, dado que en el SUH inicialmente no se llegó a un diagnóstico claro. Todo médico de familia debería disponer de EC y estar entrenado en esta técnica para lograr un diagnóstico temprano, incrementando así su autonomía, capacidad de manejo y resolutividad.
