5, 6 y 7 de febrero de 2026
Enfoque individual
Mujer de 43 años sin AP relevantes. Acude a consulta tras caída accidental en vía pública por la mañana con traumatismo directo en rodilla. No TCE u otros traumatismos. Deambulación dolorosa pero posible tras caída hasta consulta por la tarde.
EF: excoriación superficial en rodilla izquierda con edema y hematoma extenso. Peloteo positivo. Dolor intenso a la palpación en polo inferior de rótula. No dolor en interlíneas. Limitación para flexión. Varo y valgo negativos. Cajones negativos. Meniscales negativos.
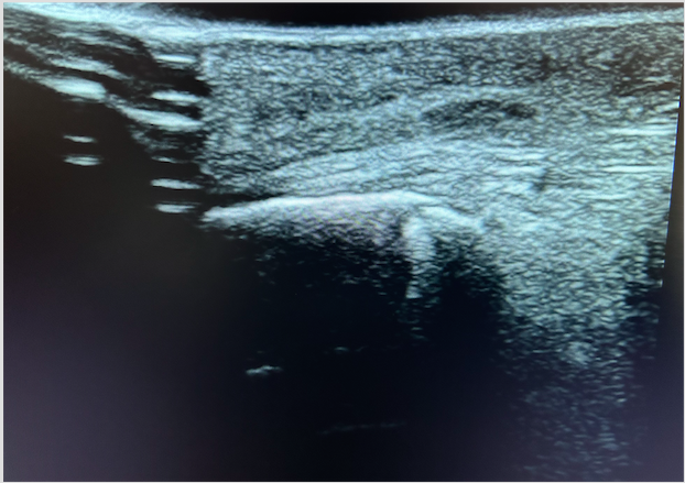
Eco musculoesquelético: Se visualiza línea hiperecogénica que atraviesa perpendicular a la cortical compatible con fractura de rótula. Tendón rotuliano ligeramente anecoico en inserción, sin datos de rotura.
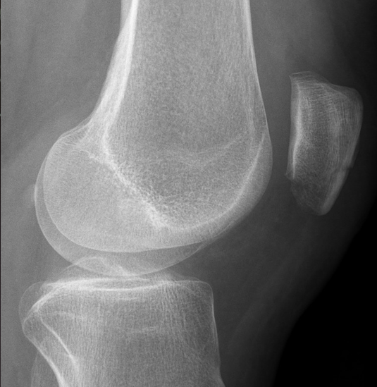
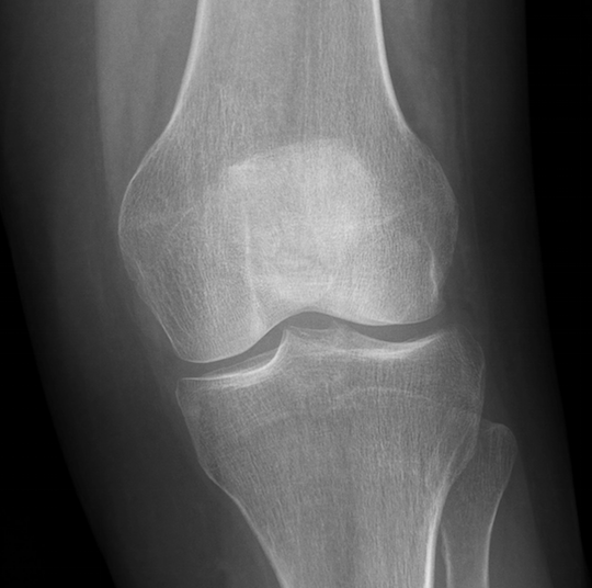
Se solicita Rx para completar estudio.
Enfoque familiar y comunitario
No.Juicio clínico, diagnóstico diferencial, identificación de problemas
Fractura de polo inferior de rótula.
Tratamiento y planes de actuación
Ante los hallazgos se deriva a Urgencias de Traumatología donde confirman diagnóstico.
Evolución
Realizan tratamiento conservador con ortesis de rodilla inmovilizadora en extensión citando para seguimiento en consultas.
La ecografía clínica en manos del Médico de Familia supone una herramienta de exploración fundamental en la aproximación diagnóstica y toma de decisiones, cuyo valor aumenta sobre todo si las condiciones de trabajo no nos permiten tener otras herramientas diagnósticas accesibles como puede ser en medios rurales.



