V Jornadas de Ecografía de la semFYC

9 y 10 de febrero de 2024

Comunicaciones: Casos clínicos

¡No me toques los...! (póster)

Ámbito del caso

Servicio de urgencias de Atención Primaria 

Motivos de consulta

Dolor testicular.

Historia clínica

Enfoque individual

Varón de 16 años con antecedente de orquiepididimitis en 2020, acude a consulta por dolor testicular derecho, irradiado a fosa ilíaca derecha de un día de evolución, acompañado de náuseas y un episodio emético. Niega fiebre, clínica miccional o criodiaforesis. No traumatismo previo.   

En la exploración física, a nivel abdominal destaca dolor a la palpación en fosa ilíaca derecha con molestias en hipogastrio y fosa ilíaca izquierda, sin signos de irritación peritoneal. A nivel testicular, teste derecho aumentado de volumen, doloroso a la palpación, cremastérico dudoso, signo de Prehn positivo.  

Ante este cuadro y al disponer de ecógrafo en el Centro de Salud, se decide realizar, una ecografía clínica testicular.

Hallazgos ecográficos

Ecografía testicular:  

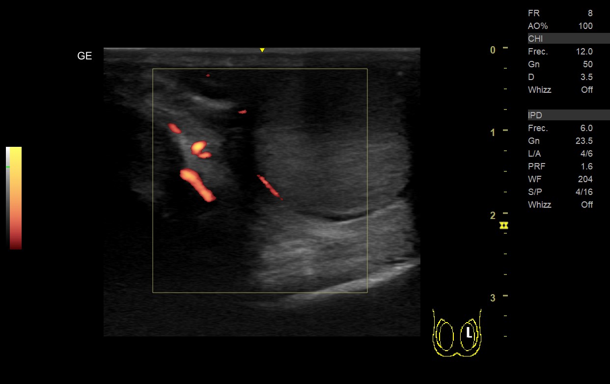
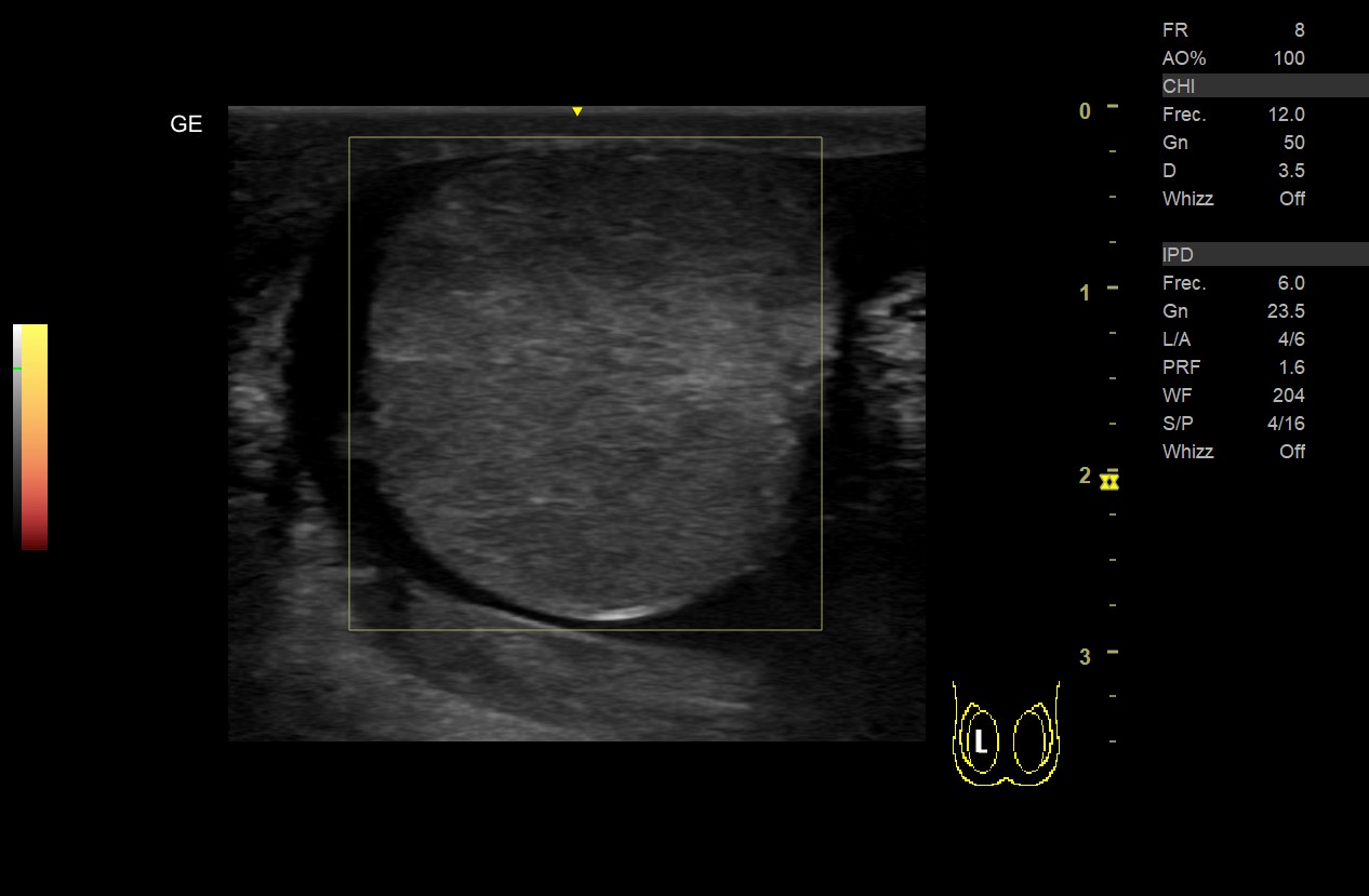
  • Teste derecho: aumento de volumen con ecogenicidad heterogénea (áreas más hipoecogenicas), sin captación Doppler color ni power en teste o epidídimo derecho y presencia de líquido en bolsa escrotal. 
  • Teste izquierdo: volumen y ecogenicidad homogénea con captación Doppler en teste y epidídimo, ausencia de hidrocele.

Juicio clínico, diagnóstico diferencial, identificación de problemas

Diagnósticos diferenciales:

Por los antecedentes del paciente y la clínica presentada, los diagnósticos diferenciales que se tuvieron en cuenta principalmente fueron:  

  • Epididimitis/orquiepididimitis: varón joven, antecedente de episodio previo, dolor de 24 horas de evolución, signo de Prehn positivo, cremastérico dudoso.
  • Torsión testicular: dolor intenso, cremastérico dudoso, ausencia de síntomas urinarios, presencia de náuseas y vomito.

Al realizar la ecografía, destaca la ausencia de captación Doppler lo cual nos inclina a un diagnóstico de Torsión testicular, ya que a nivel ecográfico la epididimitis presentaría una mayor vascularización y flujo con Doppler.

Juicio clínico:

Torsión testicular.

Tratamiento y planes de actuación

Analgesia y derivación a urgencias hospitalarias para valoración por parte de urología.

Evolución

Urología decide orquiectomía derecha.

Actualmente, paciente asintomático con buena evolución tras cirugía.

Conclusiones (y aplicabilidad para la Medicina de Familia)

La ecografía clínica como demuestra este caso desempeñó un papel fundamental al ofrecer datos esenciales que nos permitieron junto a la anamnesis y la exploración física descartar los diferentes diagnósticos diferenciales de un dolor escrotal. Esta contribución de la ecografía no solo facilitó una orientación diagnóstica más certera, sino que también nos permitió realizar una derivación inmediata teniendo en cuenta que la torsión testicular es una patología con un tratamiento tiempo-dependiente.


Comunicaciones y ponencias semFYC: 2026; Comunicaciones: Casos clínicos. ISSN: 2339-9333

Autores

Guerrero Flores, Paola Carolina
CS Eularia Del Rio
Olivero Sanjuanelo, Guillermo Jose
CS Eularia Del Rio
Marí Clapés, Carolina
CS Eularia Del Rio