5, 6 y 7 de febrero de 2026
Mostrar cómo la ecografía clínica se convierte en una herramienta decisiva para romper la barrera de la negación en pacientes con riesgo cardiovascular silente, y cómo ver el daño con sus propios ojos genera un punto de inflexión en su actitud, su compromiso y su salud.
Sabemos lo difícil que es que un paciente sin síntomas se tome en serio su dislipemia, su obesidad o su tabaquismo. Las analíticas no duelen. Las cifras no emocionan. Los folletos se olvidan. «Yo me encuentro bien», es una de las frases más repetidas en consulta. Pero… ¿y si pudieran verse por dentro?
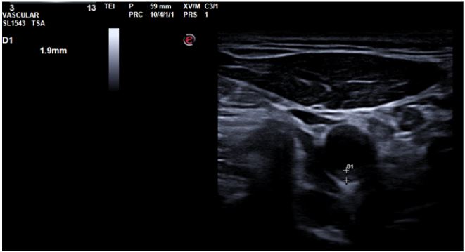
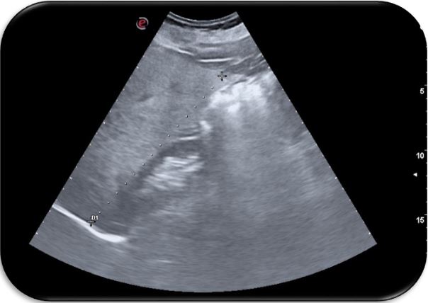
De esta forma, comenzamos a utilizar la ecografía no solo como herramienta diagnóstica, sino también como instrumento de concienciación visual. Así, mostramos en directo al paciente sus placas de ateroma en carótidas o femorales, o la hiperecogenicidad hepática fruto de su esteatosis. Al ver su daño, muchos cambian de actitud. Frases como «¿esto está dentro de mí, doctora?» se repiten, y suelen ir seguidas de decisiones reales. Ese momento es mágico. La negación se rompe. La conciencia se enciende. El cambio empieza. Tras ver sus imágenes, pacientes que no tomaban tratamiento empezaron a hacerlo. Fumadores empedernidos pidieron ayuda. Personas que decían «ya adelgazaré» empezaron a perder peso. Todo, porque lo vieron.
La ecografía no solo diagnostica. Despierta. Convence. Empodera. Es una herramienta emocional que activa al paciente. Enseñarle su enfermedad es enseñarle su futuro… y darle el poder de cambiarlo.
Cualquier médico de familia con formación básica en ecografía puede usar esta estrategia desde ya. No hacen falta recursos extra. Solo un ecógrafo, una sonda… y la voluntad de mostrar para transformar.


