X Jornadas de Actualización en Medicina de Urgencias y VI Jornadas de Ecografía de la semFYC
6-7-8 de febrero de 2025
Servicios de Urgencias.
Dolor abdominal en hipocondrio derecho.
Enfoque individual: antecedentes personales, anamnesis, exploración, pruebas complementarias, etc.
Varón de 54 años que acude a Urgencias por dolor abdominal en hipocondrio derecho, de varios días de evolución, no irradiado a espalda, que empeora con las comidas. No ha presentado fiebre ni vómitos.
De pruebas complementarias, se solicitó análisis de sangre con perfil biliar y pancreático, que fueron normales.
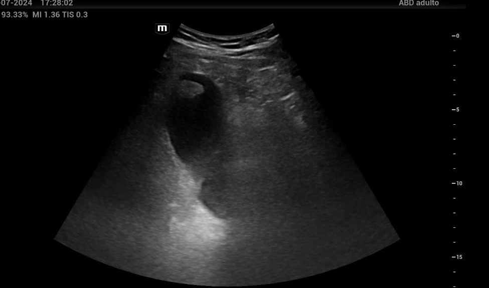
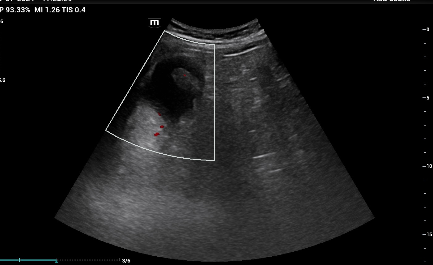
En la ecografía clínica, la vesícula biliar presentaba imagen ecogénica de bordes bien definidos, sin sombra acústica posterior, localizada en cúpula vesicular. Se pidió al paciente que se colocara en decúbito lateral izquierdo y se comprobó que la lesión continuaba localizada en cúpula vesicular, sin haberse desplazado al movilizar al paciente. Dicha lesión presentaba un tamaño de 2,8 x 1,7 cm (imagen 28), y se activó Doppler, observándose que dicha lesión tenía una captación central de Doppler, correspondiente a un vaso nutricio. La pared de la vesícula no estaba engrosada y no había dilatación de vía biliar intra ni extrahepática.
Enfoque familiar y comunitario: estudio de la familia y la comunidad (si fuese necesario)
Sin interés.
Juicio clínico, diagnóstico diferencial, identificación de problemas
El diagnóstico fue de pólipo vesicular. Dentro del diagnóstico diferencial tenemos que pensar en un cólico biliar, una colecistitis, una coledocolitiasis o una colangitis. En pacientes con episodios repetidos de dolor en hipocondrio derecho, con la ecografía podemos descartar que se trate de colelitiasis al observar cálculos en su interior. Si el paciente asocia fiebre, la ecografía nos ayudará con el diagnóstico de colecistitis (presencia de colelitiasis, vesícula distendida, y pared engrosada). Como en este caso, podemos encontrar patología menos prevalente y que se diferencia de las litiasis por no presentar sombra acústica posterior, por no ser móviles y porque en ocasiones pueden presentar captación Doppler.
Tratamiento y planes de actuación.
En la ecografía abdominal reglada se confirmó que se trataba de un pólipo vesicular sospechoso de adenoma, y se derivó a las consultas de Cirugía General y Digestivo.
Evolución
El paciente está pendiente de colecistectomía, dado el tamaño del pólipo.
La ecografía clínica abdominal para el diagnóstico diferencial del dolor en hipocondrio derecho es muy útil, dado que la gran mayoría de la patología es diagnosticada mediante ecografía.


