V Jornadas de Ecografía de la semFYC

9 y 10 de febrero de 2024

Comunicaciones: Casos clínicos

No era hematuria (póster)

Ámbito del caso

Paciente femenino de 58 años que acude Atención Continuada del Centro de Salud, ubicado a 20 kilómetros del Hospital de referencia.

Motivos de consulta

Disuria, hematuria y dolor abdominopélvico.

Historia clínica

Enfoque individual

Antecedentedes Personales:
Alergia Succinilcolina
Hipertensión Arterial
Posible polineuropatia a estudio

Paciente que consulta por dolor abdominal, disuria y hematuria que se ha repetido en los últimos dos meses 
Se realiza tira reactiva con resultado positivo para Leucocitos y Hematies 
Se remite a su medico de Atención Primaria
Urinocultivos repetidos negativos
Se realiza ecografía renal y vesical en Consulta de médico de Cabecera
 

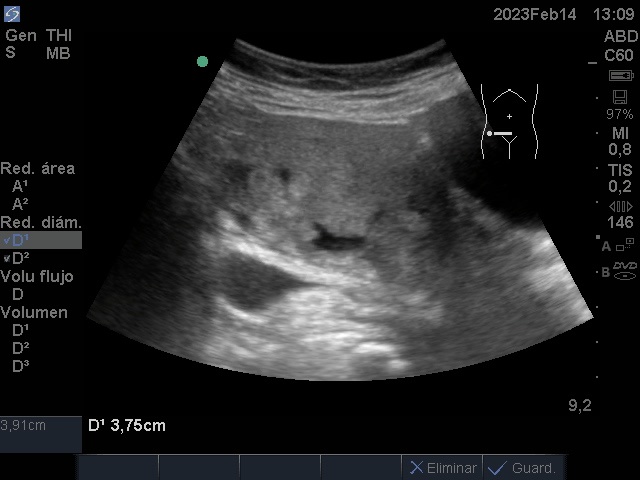
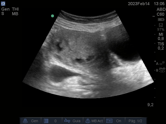
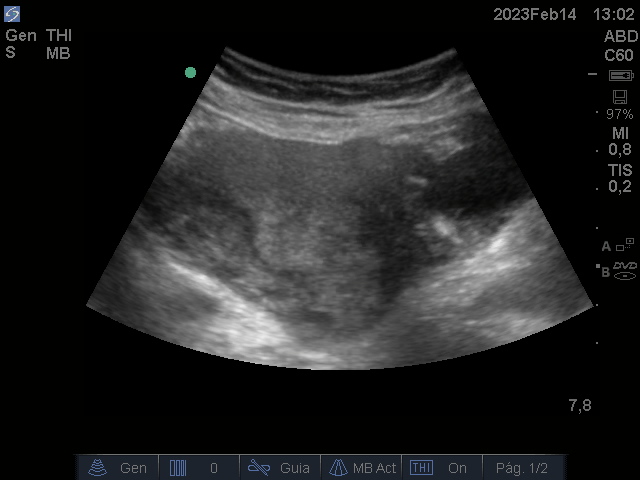
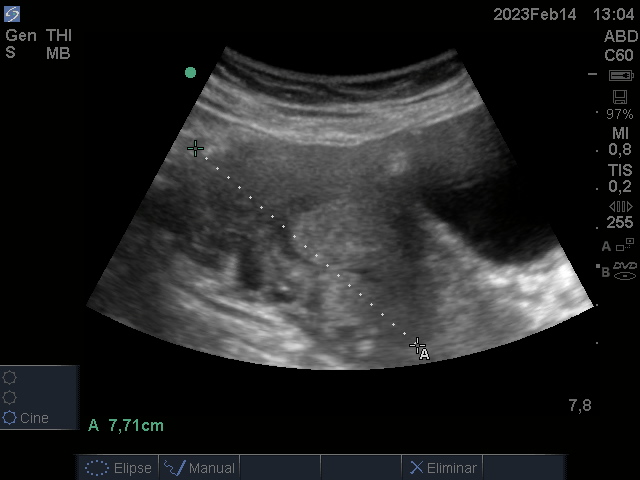
Hallazgos ecográficos

Riñones de tamaño y ecogenicidad normal, con relación cortico sinusal conservada. 
Vejiga bien replecionada sin ecos en su interior.
Útero aumentado de tamaño heterogéneo, con áreas sólido quísticas de bordes irregulares.
 

Pruebas complementarias

Se remite a la paciente a Ginecología en carácter preferente.
Ecografía transvaginal confirma útero aumentado de tamaño con paredes engrosadas, con abundante vascularizacion al aplicar dopper color. Ovario derecho: quiste anecoico de 32x26 mm.
Ovario Izquierdo: quiste de similares características 62x56 mm.

Se toma biopsia endometrial.
Se solicita Ecografía de alta resolucion y Tomografía Axial Computarizada.

Tomografía Tóraco-abdómino-pélvico:
Neoplasia endometrial con probable infiltración de cervix uterino y adenopatía ilíaca derecha asociada. No se observan signos de diseminación a distancia.
 

Juicio clínico, diagnóstico diferencial, identificación de problemas

ID: Masa pélvica

Diagnóstico diferencial:   

  • Hiperpelasia endometrial
  • Neoplasia de endometrio
  • Miomas múltiples

Anatomía patológica: Adenocarcinoma de endometrio de células claras.

Diagnóstico: Neoplasia de Endometrio tipo II estadio III C2.

Tratamiento y planes de actuación

Se realiza histerectomia radical + doble anexectomia + linfadenectomia pélvica y paraaórtica (citorreducción) + omentectomía (cirugia de citorreducción completa).
4 Ciclos de tratamiento con Carbo-taxol.
Radioterapia.
 

Evolución

Actualmente la paciente se encuentra recibiendo la última sesión de radioterapia, con aceptable tolerancia. 

Conclusiones (y aplicabilidad para la Medicina de Familia)

Si bien la ecografía no reemplaza la anamnesis ni el exámen fisico, en este caso no permitió reorientar el estudio de la paciente inicialmente interpretado como hematuria cuando en realidad se trataba una metrorragia de la postmenopausia, permitiendo remitir en forma preferente a la especialidad correspondiente.
 
 
 
 

Comunicaciones y ponencias semFYC: 2026; Comunicaciones: Casos clínicos. ISSN: 2339-9333

Autores

Laise ., Viviana Elizabeth
CS de Chiva. Valencia
Rosero Arenas, Mª De Los ángeles
CS de Cheste. Valencia
Rosero Arenas, Esteban
CS de Cheste. Valencia