X Jornadas de Actualización en Medicina de Urgencias y VI Jornadas de Ecografía de la semFYC
6-7-8 de febrero de 2025
Urgencias hospitalarias.
Enfoque individual: antecedentes personales, anamnesis, exploración, pruebas complementarias, etc.
Hombre de 82 años, institucionalizado en residencia, antecedentes de gammapatía monoclonal de significado incierto y portador de prótesis aórtica mecánica, anticoagulado con acenocumarol. Acude a Urgencias por dolor y aumento del diámetro de la pierna izquierda de 2 días de evolución. Además, presenta desde hace meses una lesión cutánea en región glútea ipsilateral, por lo que ha permanecido encamado un mes. Ha tomado correctamente la anticoagulación, pero su hija comenta que con malos controles de INR. Niega disnea, fiebre u otra sintomatología de interés.
Exploración pierna izquierda: signos de insuficiencia venosa, edema con fóvea hasta raíz de miembro, dolor a la palpación en toda su extensión. No aumento de temperatura. Signo de Homans negativo. Úlcera grado 2 en región glútea izquierda. En pierna derecha, edema con fóvea hasta tericio medio.
Analítica sanguínea: leucocitos 11,22 miles/mm3, proteína C reactiva 7.70 mg/dL, dímero D 1.14 µg/ml.
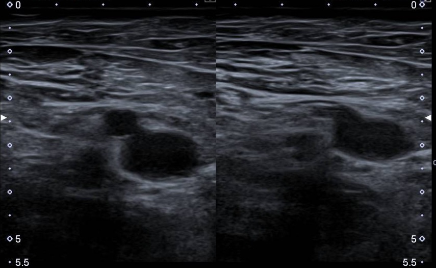
Ante elevación del dímero D, decidimos realizar ecografía clínica a pie de cama: Las venas femoral común, femoral profunda, cayado de la vena safena mayor y poplítea izquierdas no son compresibles con el transductor y no presentan vascularización en el estudio Doppler y se observa material ecogénico en su interior. Hallazgos compatibles con trombosis venosa profunda extensa.
Juicio clínico, diagnóstico diferencial, identificación de problemas
Diagnóstico diferencial: celulitis o trombosis venosa. Parecía más probable la celulitis debido a la presencia de úlcera en región glútea ipsilateral, con reactantes de fase aguda elevados en la analítica y habiendo tomado correctamente la medicación anticoagulante. Sin embargo, la ecografía ayudó en el diagnóstico de trombosis venosa profunda extensa.
Tratamiento y planes de actuación.
Se inició heparina subcutánea desde el servicio de Urgencias y se realizó ingreso a la planta de Geriatría.

