5, 6 y 7 de febrero de 2026
Enfoque individual
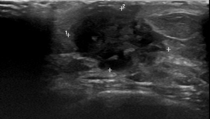
Paciente acude por múltiples motivos de consulta y el último de ellos refiere que quiere que le vean un bulto en el pecho que le ha sangrado.Hallazgos ecográficos
Se realiza una ecografía en centro de salud sobre lesión próxima a pezón de consistencia dura de más de dos dedos de grosor, donde se observa una imagen heterogénea (áreas isoecogénicas y áreas hipoecogénicas) sin captación de flujo de 20 mm o mayor, no aspecto ovoide sino masa circular. En axila próxima se observa ganglio ovalado con centro hiperecogénico sin captación de flujo que descarta adenopatía sospechosa de malignidad.Pruebas complementarias
Se deriva a cirugía general por sospecha de neo de mama en varón donde realizan mamografía, ecografía, TAC y PEC TAC para valorar tratamiento.Juicio clínico, diagnóstico diferencial, concordancia con el hospital (en su caso)
Carcinoma ductal infiltrante.Tratamiento, planes de actuación
Tras cirugía de mastectomía realizan tratamiento quimio y radioterapia.Evolución
Actualmente tras cirugía paciente animado y contento. No ha iniciado tratamiento quimioterápico o radioterápico.