X Jornadas de Actualización en Medicina de Urgencias y VI Jornadas de Ecografía de la semFYC
6-7-8 de febrero de 2025
Servicio de Urgencias de Atención Primaria y Hospitalaria.
Miodesopsias en ojo derecho sin dolor asociado.
Enfoque individual: antecedentes personales, anamnesis, exploración, pruebas complementarias, etc.
Mujer de 68 años de edad sin antecedentes personales de interés ni alergias medicamentosas que consulta por visión de una «mancha negra» que se moviliza junto con el movimiento del ojo derecho. Niega traumatismo asociado, tampoco desencadenante claro.
La exploración neurológica es normal, apreciando movimientos oculares conservados, pupilas isocóricas, normorreactivas con reflejos conservados. A la exploración individual de cada ojo, se aprecia disminución de agudeza visual de ojo izquierdo respecto a derecho.
Dado que la primera valoración se realiza en urgencias de Atención Primaria, se decide derivación a urgencias hospitalarias para valoración con fondo de ojo.
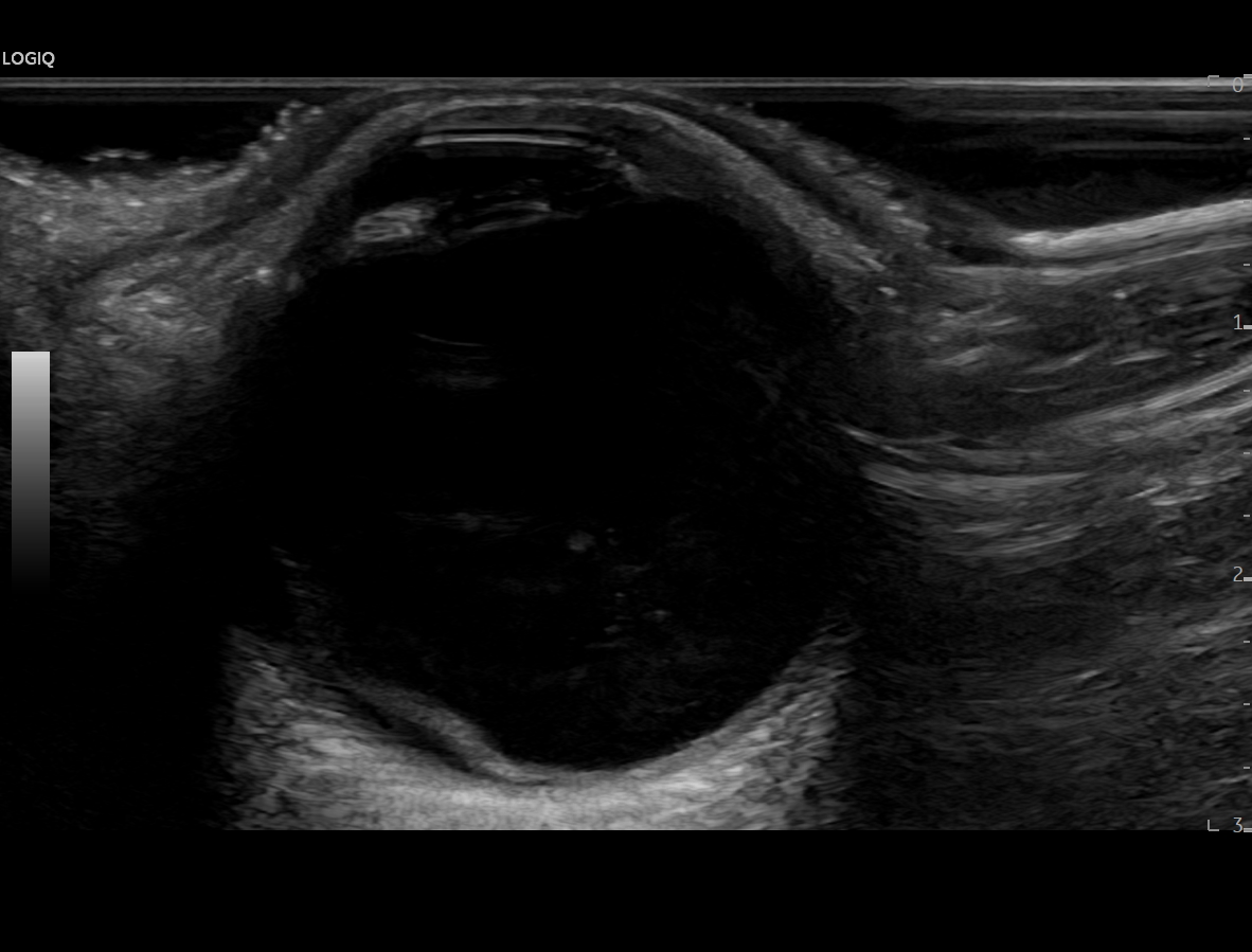
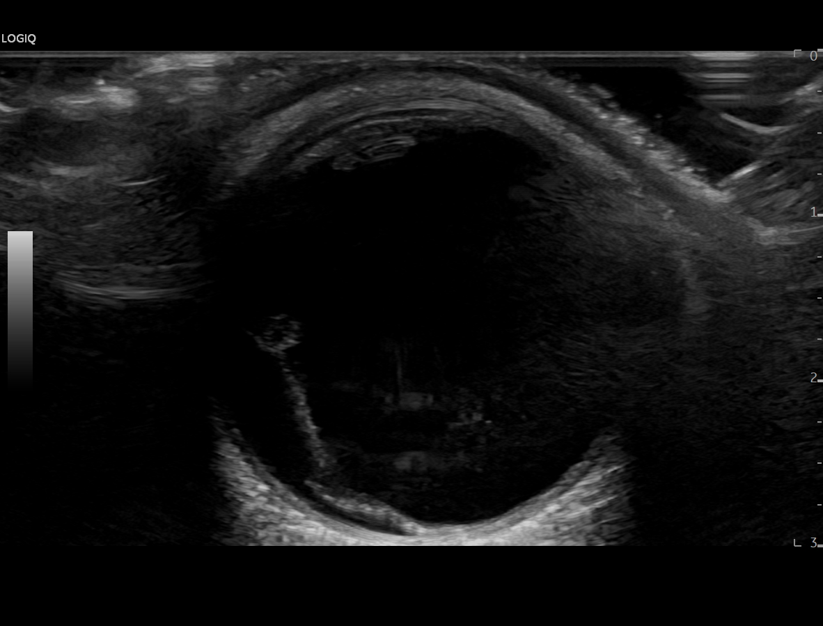
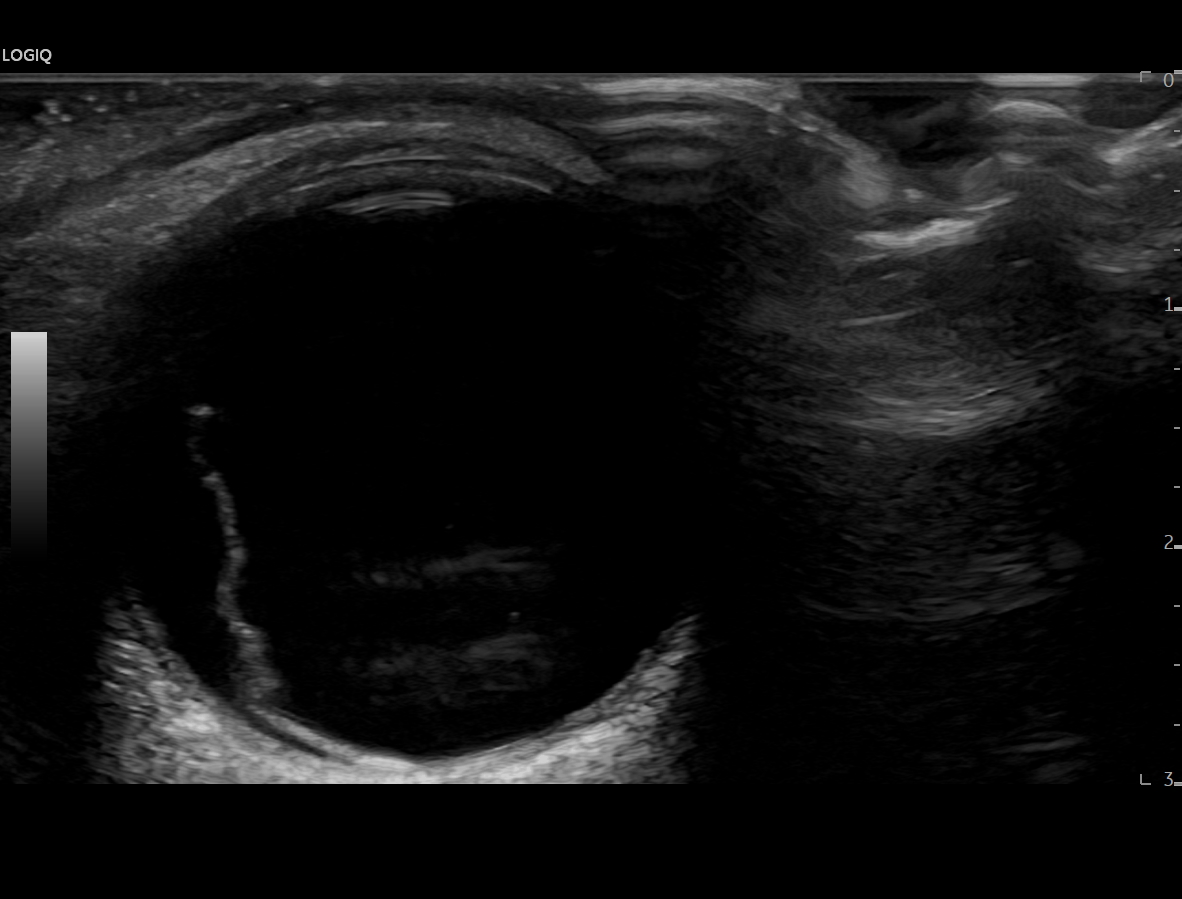
En urgencias hospitalarias se valora presión intraocular de ojo derecho en 12 mmHg y se realiza ecografía clínica del ojo con sonda plana, apreciando la imagen de sospecha de desprendimiento de vítreo posterior al apreciar una capa flotante en la porción posterior del mismo que en condiciones normales, no debería visualizarse.
Enfoque familiar y comunitario: estudio de la familia y la comunidad (si fuese necesario)
Sin antecedentes familiares de interés.
Juicio clínico, diagnóstico diferencial, identificación de problemas
Dado que la paciente no tiene antecedentes personales ni factores de riesgo cardiovascular, no parece corresponderse con una degeneración macular ni un desprendimiento de retina, aunque sí parece impresionar de un desprendimiento de vítreo posterior como posible causa inicial.
Tratamiento y planes de actuación.
Tras confirmar diagnóstico de sospecha con fondo de ojo por servicio de Oftalmología, se cita en consultas de láser para fototerapia.
Evolución
Tras dos sesiones de terapia láser y un mes posterior realizando reposo relativo, la paciente va recuperando agudeza visual, no apreciando distorsión de imágenes.
Aunque hay varias formas de llegar al diagnóstico definitivo, en estos casos la clínica y la visualización de “moscas” suele ser lo que más ayuda a llegar al diagnóstico, aunque posteriormente debe ser confirmada la afectación del polo posterior del ojo para valorar el tratamiento.



