5, 6 y 7 de febrero de 2026
Atención Primaria.
Síntomas abdominales.
Enfoque individual
Hombre de 49 años, deportista, sin antecedentes médicos relevantes, consulta por molestias digestiva y distensión abdominal de unos 4 meses, con plenitud posprandial y dispepsia sin dolor abdominal. Refiere empeoramiento de la distensión tras las comidas y cuando practica deporte. No clara alteración del ritmo deposicional. No pérdida de peso ni rectorragia. No antecedentes familiares relevantes. A la exploración física, se palpa masa de consistencia pétrea de unos 8 cm en flanco izquierdo y fosa ilíaca izquierda, discretamente pulsátil, no dolorosa a la palpación, sin soplos audibles.
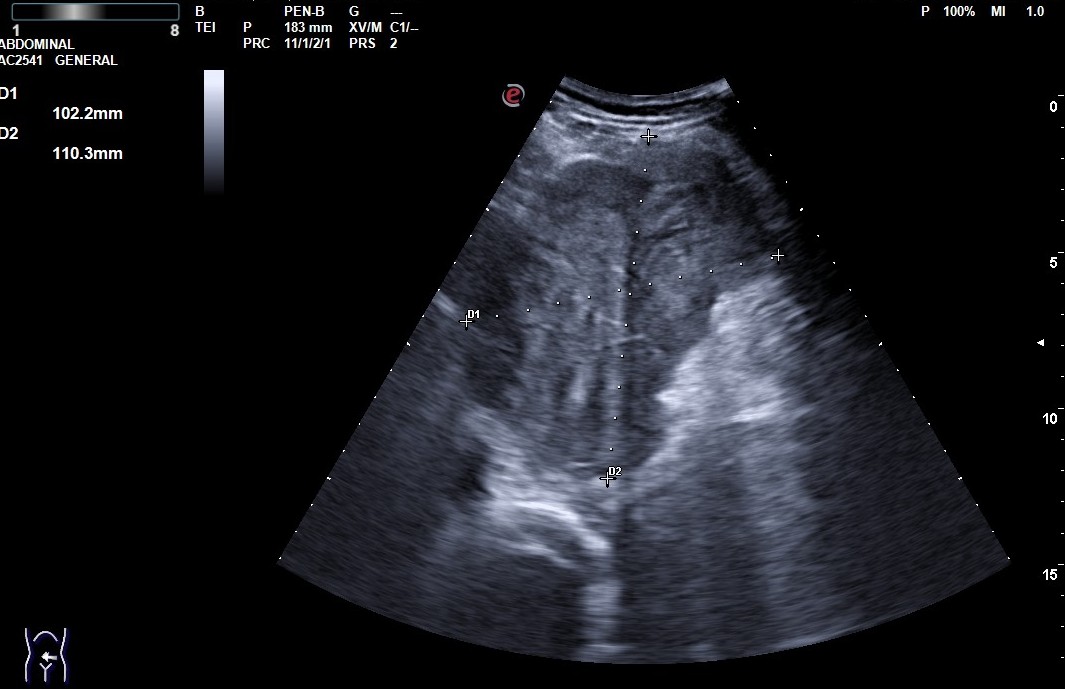
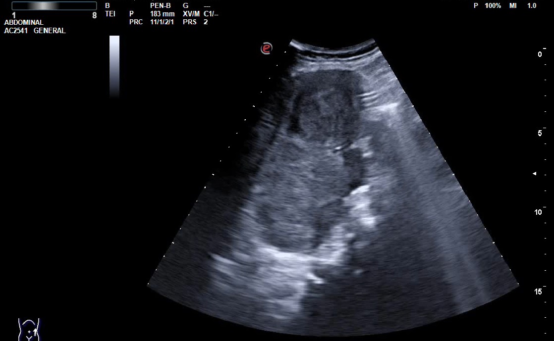
Hallazgos ecográficos
Se realiza ecografía en el Centro de Salud, donde se observa una masa de 123 x 102 x 103 mm de ecogenicidad mixta, con algunas áreas calcificadas en su interior, puntiformes, con bordes lobulados bien definidos, sin captación vascular. Se manda imágenes a Radiología mediante e-consulta y tramitan TAC abdominal, donde se confirma la masa de 12 cm de diámetro, siendo GIST la primera opción diagnóstica, a valorar proceso linfoproliferativo o sarcoma retroperitoneal.
Pruebas complementarias
Ante estos hallazgos se realiza PET-TAC y biopsia.
Juicio clínico, diagnóstico diferencial, concordancia con el hospital (en su caso)
La anatomía patológica describió: «proliferación fibroblástica inespecífica de bajo grado histopatológico. No es posible distinguir entre una reacción fibroblástica inespecífica y una proliferación mesenquimal tumoral de bajo grado, como la fibromatosis tipo desmoide».
Tratamiento, planes de actuación
Se programa cirugía para extirpación, con diagnóstico definitivo de fibromatosis profunda (tumor desmoide) con infiltración de tejido adiposo abdominal y capas externas de segmento de intestino delgado.
Evolución
No precisó tratamiento adyuvante.
El paciente acudió refiriendo síntomas inespecíficos que en consulta pueden confundirse con patología no urgente que atendemos frecuentemente en la consulta de Atención Primaria, como puede ser la dispepsia funcional. En este caso la exploración física fue imprescindible para el adecuado abordaje del caso y la ecografía en Atención Primaria permitió apoyar la sospecha de malignidad, canalizándose la derivación mucho más rápido gracias a derivar las imágenes a radiología y con posterior inclusión en circuito de malignidad para su rápida cirugía.

