V Jornadas de Ecografía de la semFYC

9 y 10 de febrero de 2024

Comunicaciones: Casos clínicos

Mi padre no respira bien (póster)

Ámbito del caso

Urgencias.

Motivos de consulta

Disnea.

Historia clínica

Enfoque individual

Sin alergias. Dislipémico. Infarto lacunar (2012). Institucionalizado. Tratamiento: ácido acetilsalicílico 150 mg, atorvastatina 40 mg, trazodona 100 mg y omeprazol 20 mg.

Varón de 80 años que es traído por desaturación del 80% de dos días de evolución junto con autoescucha de ruidos respiratorios. Niegan episodios de atragantamiento.

Regular estado general, consciente y desorientado en las 3 esferas, palidez cutánea y deshidratación mucosas, saturación 85% con gafas nasales a 2 lpm, eupneico en reposo. Tensión arterial 103/63 mmHg, frecuencia cardíaca de 87 lpm, temperatura de 36.4 º C. Auscultación cardiopulmonar: tonos rítmicos con abolición del murmullo vesicular en base derecha, roncus dispersos de predominio en hemitórax derecho. Abdomen y miembros inferiores anodinos.

Hallazgos ecográficos

Ecografía pulmonar: patrón A bilateral.

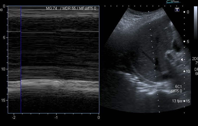
Ecografía diafragmática: se identifica una marcada elevación del hemidiafragma derecho, que se encuentra aplanado con los movimientos respiratorios (imagen 3 y 4) en modo M, compatible con parálisis diafragmática. No se visualiza líquido en fosa de Morrison. El hemidiafragma izquierdo se encuentra normoposicionado con movimientos normales y acordes a la respiración.

Pruebas complementarias

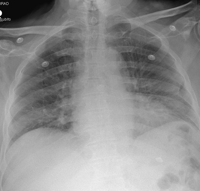
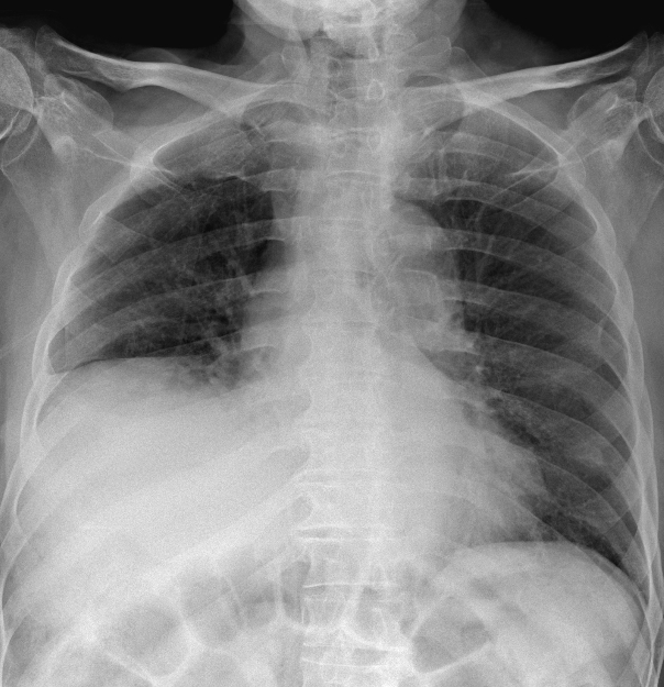
Radiografía de tórax: pérdida de volumen pulmonar con elevación de hemidiafragma derecho (imagen 1), no presente en previas (imagen 2). No claros infiltrados ni derrame pleural.
Electrocardiograma: ritmo sinusal a 80 lpm, no datos de isquemia aguda.
Analítica: Cr de 2.1, urea 125, PCR 27.9, leucocitos 12200 (80%).
Orina normal. Gripe y covid negativo.
Gasometría arterial (Fi02 28%): pH 7.45, p02 75%, pC02 41.2, lactato 0.8.

Juicio clínico, diagnóstico diferencial, identificación de problemas

Insuficiencia respiratoria parcial asociada a parálisis diafragmática derecha, probable IVRB no condensante.

Neumonía, derrame pleural, neoplasia.

Tratamiento y planes de actuación

Sueroterapia intravenosa y gafas nasales a 4 lpm. Se inicia cobertura antibiótica junto con corticoterapia intravenosa y broncodilatadores. Ingreso hospitalario.

Evolución

Al tercer día, realizan TAC de tórax que corrobora parálisis diafragmática derecha que dificulta la aireación de la pirámide basal derecha con condensación y atelectasia, sin derrame pleural asociado. Descartan neoplasia. Buena evolución y alta a la semana.

Conclusiones (y aplicabilidad para la Medicina de Familia)

Ante un paciente con insuficiencia respiratoria sin una clara causa, como complemento a la exploración física y ecografía pulmonar, sugerimos la evaluación de la movilidad diafragmática a través de la ecografía e integración de dicha información en el contexto clínico.
 


Comunicaciones y ponencias semFYC: 2026; Comunicaciones: Casos clínicos. ISSN: 2339-9333

Autores

Borox Callejas, Marina
Urgencias Hospitalarias La Mancha Centro. Alcázar de San Juan