X Jornadas de Actualización en Medicina de Urgencias y VI Jornadas de Ecografía de la semFYC
6-7-8 de febrero de 2025
Servicio de Urgencias.
Lactante de 2 años que presenta fiebre y tos.
Enfoque individual: antecedentes personales, anamnesis, exploración, pruebas complementarias, etc.
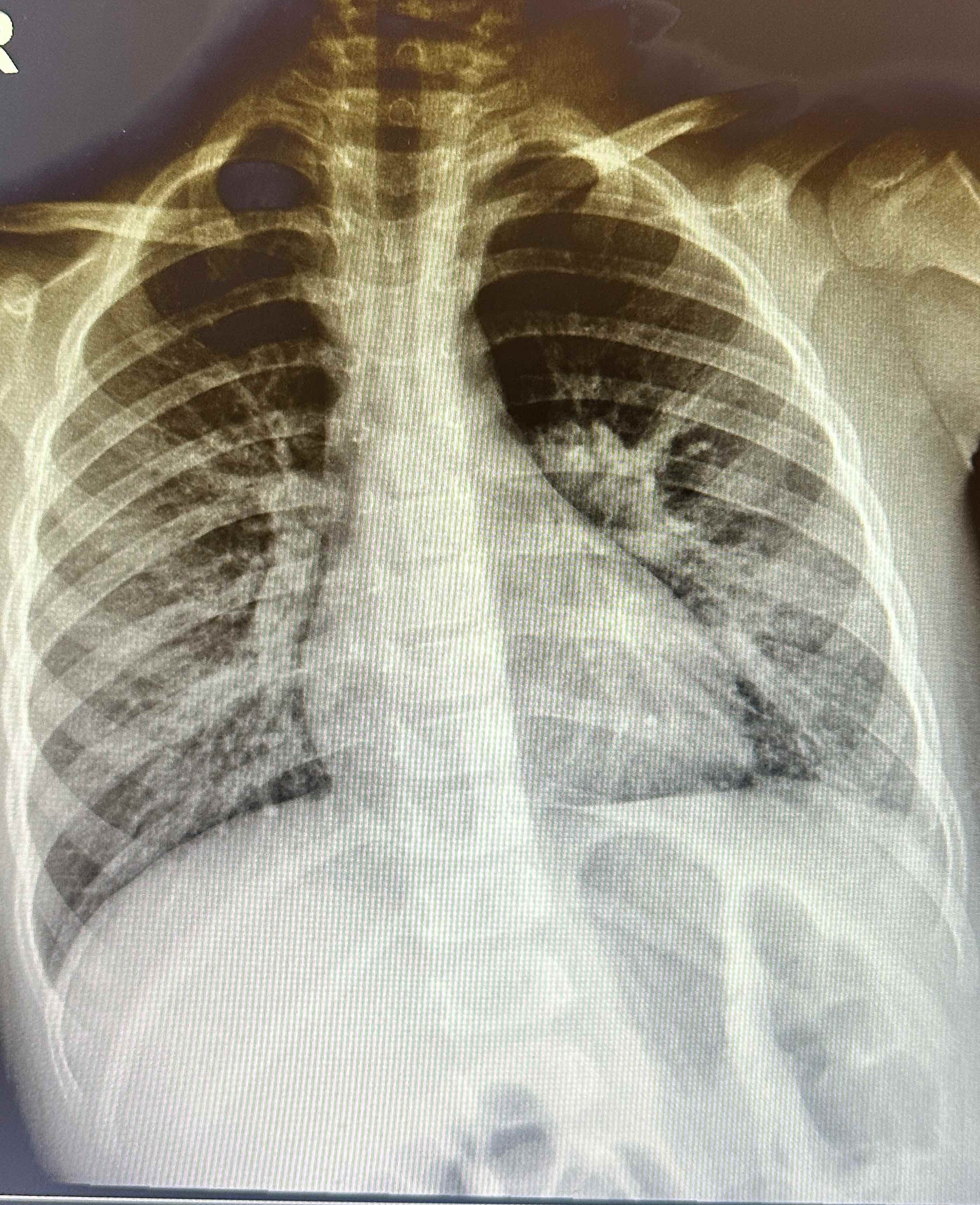
Lactante de 2 años sin antecedentes médicos o quirúrgicos conocidos, con esquema de vacunación completa, refieren los padres 3 días de presentar fiebre de hasta 39 ºC, continua y tos. Al Examen físico con buen estado general, llanto fácil pero consolable, activo y reactivo. Tórax: no tirajes costales, a la auscultación pulmonar con subcrepitante en base pulmonar izquierda e hipoventalación en zona lateroexterna basal izquierda. Se solicita radiografía de tórax en la que hay dudas sobre posible infiltrado basal por lo que se realiza ecografía pulmonar en la que se evidencian líneas B y pequeño derrame pleural.
Enfoque familiar y comunitario: estudio de la familia y la comunidad (si fuese necesario)
No fue necesario.
Juicio clínico, diagnóstico diferencial, identificación de problemas
Neumonía adquirida en la comunidad.
Diagnósticos diferenciales:
Tratamiento y planes de actuación.
Se instaura tratamiento en base a guía ABE:
Evolución
El paciente en todo momento permaneció clinicamente estable por lo que tras realización de pruebas se decidió manejo ambulatorio con antibioticoterapia ya que no presentaba criterios de ingreso hospitalario.
La ecografía pulmonar es una herramienta valiosa para el diagnóstico de neumonía en niños, mostrando características específicas como consolidación, broncograma aéreo, líneas B y posibles derrames pleurales. Estos hallazgos nos ayudan a diferenciar entre diferentes tipos de neumonía, a evaluar la gravedad del estado del paciente y a resolver dudas radiológicas, sin embargo, lo ideal sería que al ser una prueba no invasiva y más cómoda para el paciente, esta se realizara en el Centro de Salud, evitando radiación innecesaria al paciente.


