V Jornadas de Ecografía de la semFYC
9 y 10 de febrero de 2024
Enfoque individual
Mujer de 50 años que consulta por hematuria macroscópica autolimitadas en la última semana, sin síntomas miccionales. Objetivamos micción en consulta con tinte hematúrico (en lavar carne, no objetivamos coágulos). Exfumadora desde hace 6 meses (15 paquetes-año). Antecedente Familiar: cáncer urotelial padre.
En la exploración física:
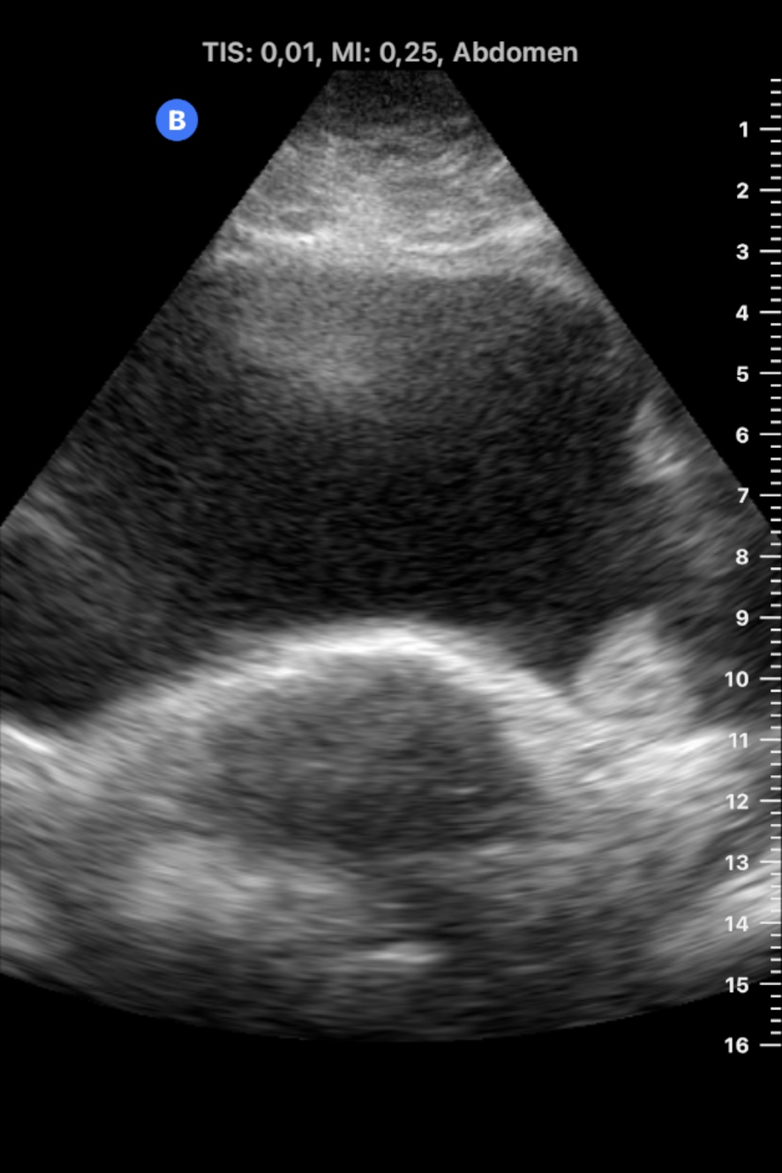
Hallazgos ecográficos
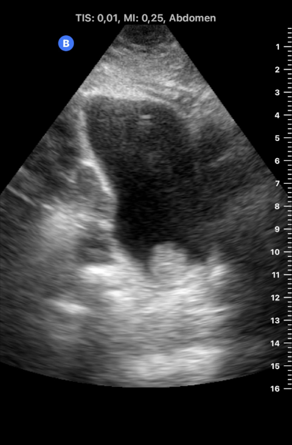
Realizamos Ecografía clínica en consultorio rural, con sonda portátil: riñones con ecoestructura, tamaño y localización normales. Ausencia de dilatación de vías urinarias. Vejiga bien repleccionada en la que se objserva en la base izquierda de la vejiga una imagen homogénea, sólida, intravesica y dependiente de la mucosa, sin sombra acústica posterior. No se modifica con el cambio postural de la paciente.
Pruebas complementarias
Solicitamos analítica, sistemático de orina, con sedimento y cultivo de orina. Solicitamos consulta preferente con urología, desde donde fue citada en 2 meses (3 de agosto). Ante sospecha de origen tumoral, con citación en 2 meses, remitimos a urgencias para adelantar estudio urológico.
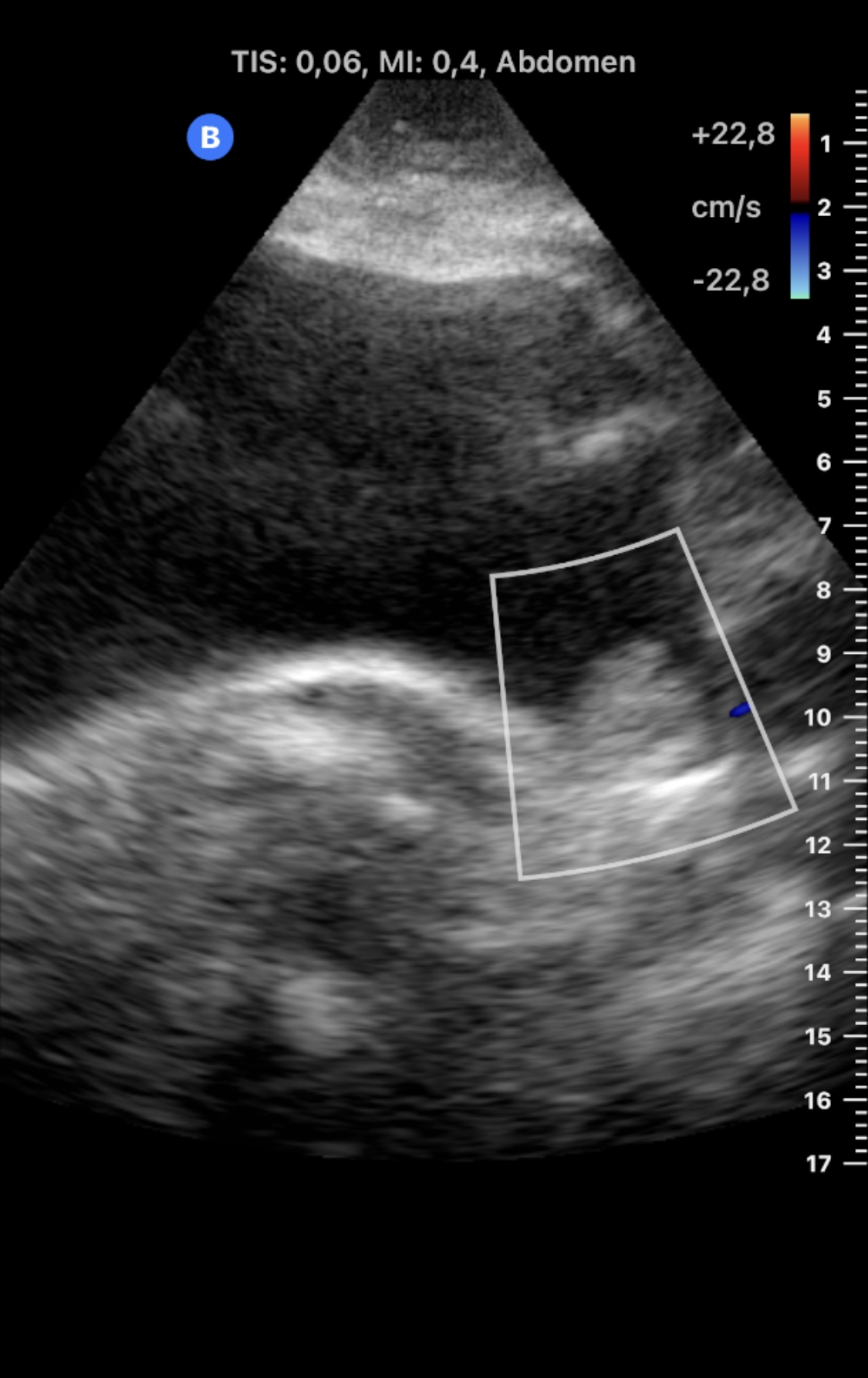
En urgencias se realizó ecografía reglada: «...Vejiga poco replecionada, poco valorable en este estado, observándose en su margen inferior izquierdo, lo que parece corresponder con una lesión de partes blandas de unos 27,5 x 14 x 26,2 mm y márgenes lobulados, que no se modifica con los cambios posturales».
Se traslada a consultas de cistoscopia: leve hematuria. Neoformación de unos 2 cm en fondo en lado izquierdo.
Juicio clínico, diagnóstico diferencial, identificación de problemas
Carcinoma papilar urotelial de alto grado, que no infiltra el tejido conectivo subepitelial.
Tratamiento y planes de actuación
Se programa en 2 semanas ingreso para resección transuretral de vejiga.
Evolución
Se reseca en su totalidad, con base muscular incluida. Se programa protocolo de tratamiento intravesical con 6 ciclos de BCG (bacilo de Calmette-Guérin).
Debe descartarse el origen neoplásico ante la hematuria macroscópica monosintomática en pacientes fumadores. La orientación ecográfica desde la consulta de Atención Primaria puede ser útil para un diagnóstico precoz, mejorando el pronóstico. En este caso, la evolución ha sido favorable, aunque tras resección y ciclos de BCG, en cistoscopia de control, la paciente ha presentado mínima recidiva del tumor.
