5, 6 y 7 de febrero de 2026
Atención Primaria.
Hombre de 42 años que consulta por dolor en hombro derecho que ha mejorado poco con AINE y fisioterapia.
Enfoque individual
Antecedentes personales: sin interés.
Anamnesis: Refiere traumatismo de alto impacto en brazo derecho al tirarse a la piscina de cabeza el pasado mes de julio (hace aproximadamente dos meses). Sin traumatismo directo en el hombro.
Exploración: Sin lesiones apreciables a la exploración. Movilidad conservada de hombro derecho pero con dolor referido a la abducción completa y elevación completa del brazo. Refiere dolor principalmente a la maniobra de Gerber (al llevarse el brazo a la espalda)
Se decide realizar exploración del hombro con ecógrafo del centro de salud para completar estudio.
Hallazgos ecográficos
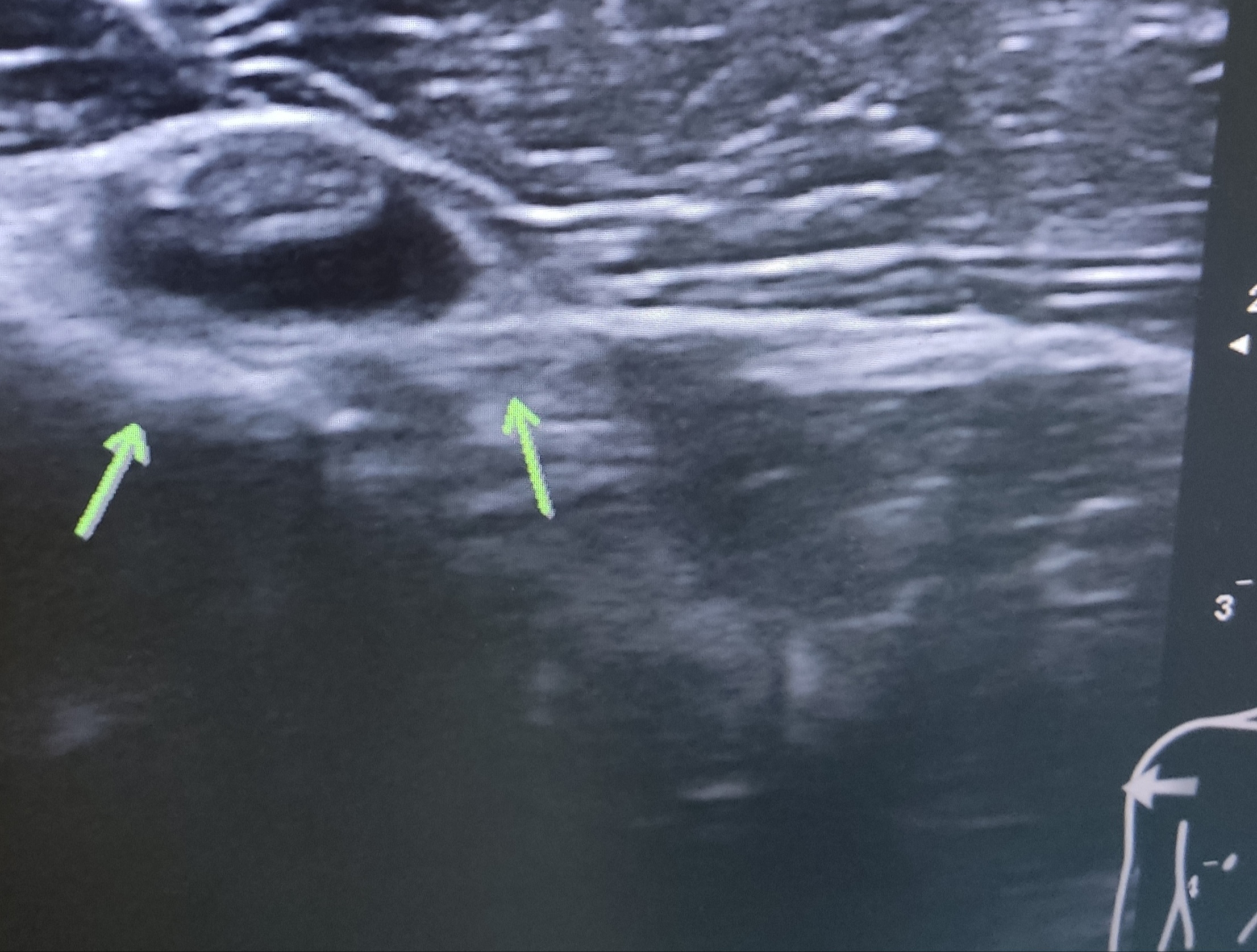
El tendón del bíceps conserva su morfología y ecoestructura homogénea y fibrilar, lo que apunta a que ese líquido sea un derrame bicipital.
Se observan pequeñas calcificaciones en tendón supraespinoso.
En el corte transversal del supraespinoso se observan varias imágenes hipoecoicas bien delimitadas en el espesor del tendón que podrían hacer sospechar una rotura parcial intrasustancia.
Pruebas complementarias
No realizadas.
Juicio clínico, diagnóstico diferencial, concordancia con el hospital (en su caso)
Diagnóstico Diferencial: Si el tendón mostrara alguna alteración en su aspecto y patrón ecográfico, y al estudio con doppler-color presentara actividad y fuera doloroso a la sonopalpación con clínica compatible (test de palm-up positivo) cabría el diagnóstico de una tenosinovitis bicipital.
En el corte transversal del supraespinoso se observan varias imágenes hipoecoicas bien delimitadas en el espesor del tendón que podrían hacer sospechar una rotura parcial intrasustancia o podrían corresponder con una persistencia de fibras musculares del supraespinoso más allá del arco óseo acromial (lo que puede ser bastante frecuente en gente joven menor de 50 años). Podemos "tirarnos a la piscina" y sugerir que tiene un supraespinoso que distalmente al acromión/ligamento coracoacromial está formado por fibras tendinosas en su mayoría, acompañadas por zonas de fibras musculares que con el envejecimiento se irán fibrosando, convirtiéndose en fibras tendinosas.
Tratamiento, planes de actuación
Continuar con rehabilitación y analgesia.
Evolución
En tratamiento.
La ecografía es una herramienta útil tiempo efectiva en atención primaria para complementar a la exploración y facilitarnos el diagnóstico clínico.



