X Jornadas de Actualización en Medicina de Urgencias y VI Jornadas de Ecografía de la semFYC
6-7-8 de febrero de 2025
Mujer de 52 años consulta porque le han dicho que tiene un bulto en en una RMN realizada por dolor cervical. Ella no se habia notado nada.
Acude muy procupada porque le han dicho que tiene que venir urgente a la consulta porque le han dicho que tiene un bulto en la RMN pedida por otro motivo.
Antecedentes personales relevantes, anamnesis, exploración física y lugar que ocupa en ella la ecografía
Acude a los resultados de la RMN muy preocupada porque le han dicho en la privada donde le han pedido RMN que tiene un bulto en el cuello pero que tiene que venir a la publica que se lo miren porque su seguro no lo cubre.
Veo informe de RMN privada donde solo hablan de «nódulo tiroideo».
Exploracion: no se palpa nada a nivel tiroideo.
Descripción de los hallazgos ecográficos y las imágenes más relevantes para la resolución del caso
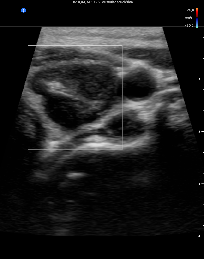
EcoscopiAP:
Tiroides de tamaño y ecoestructura normal que no capta Doppler.
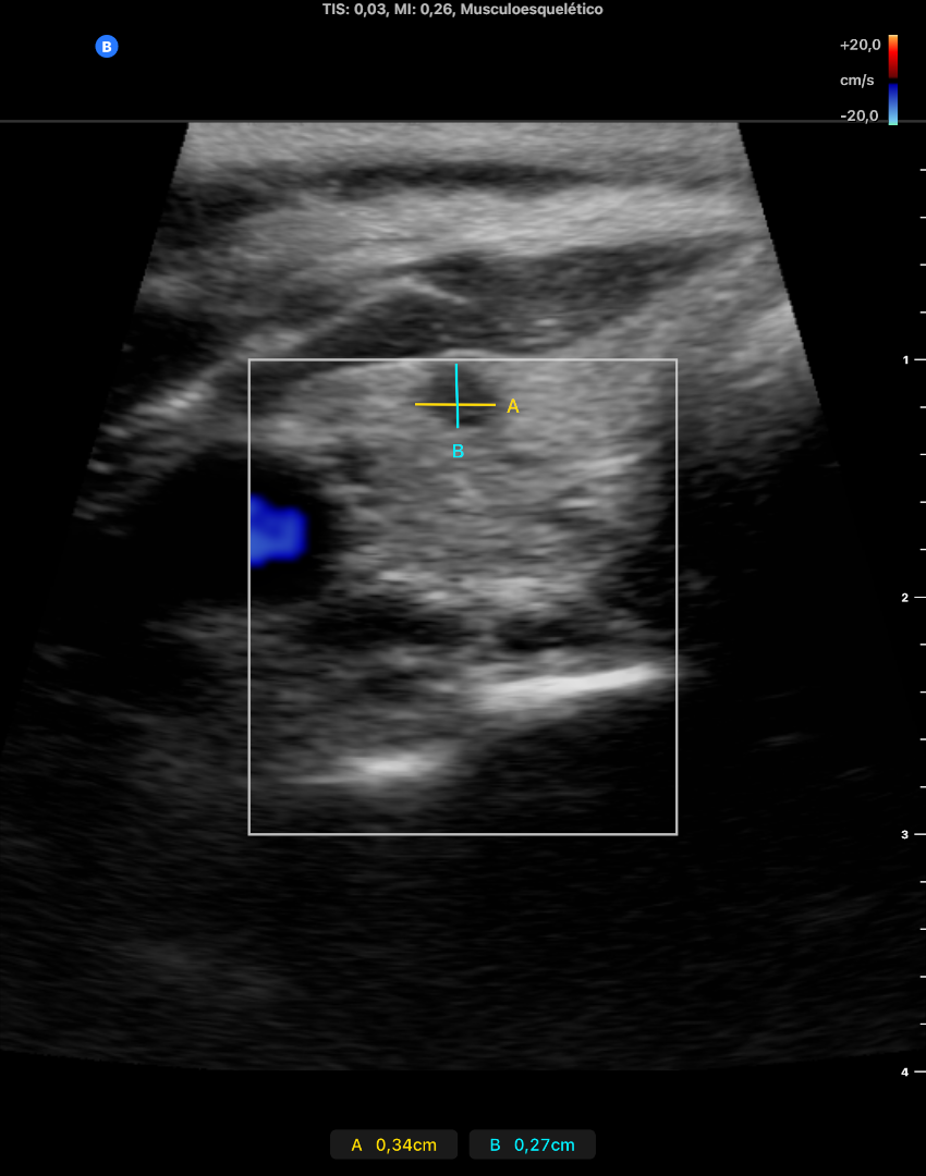
En LTD se objetivan 2 nódulos, uno de ellos quistico y el otro solido bien delimitados, que no captan doppler de 2 x 3 x 2 mm cada uno aproximdamente en diametros APxTxL.
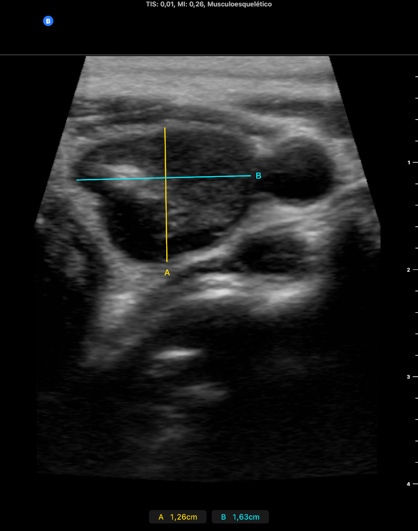
En LTI se objetiva un nódulo predominante de 30 mm de diámetro L y 16 x 14 mm en diámetros APxT captante de Doppler, de contenido casi solido, TIRADS 4-5. No adenopatias laterocervicales sospechosas.
Otras pruebas complementarias realizadas (si existen)
Se pide ecografía reglada urgente:
Nódulo tiroideo TIRADs 5 en LTI, recomendándose obtención de muestras para AP ecoguiada.
PAAF: neoplasia folicular tiroidea.
Juicio clínico, diagnóstico diferencial, concordancia con el hospital (en su caso)
Impresion diagnóstica: nódulo tiroideo hallazgos casual. Datos sospechosos por ecoscopiAP y luego confirmados por eco reglada y PAAF.
Diagnóstico diferencial: nódulo benigno vs maligno.
Decisiones adoptadas: tratamiento, planes de actuación
Se deriva a cirugía y endocrinología donde realizan intervención de hemitiroidectomía.
Evolución y seguimiento
La paciente evoluciona favorablemente tras IQ.
Sin la ecoscopia se hubiera demorado mas el diagnóstico porque si bien no se tratan de cánceres agresivos los tiroideos, esto demuestra que se trata de una herramienta que permite adelantar tanto diagnósticos como tratamientos.



