X Jornadas de Actualización en Medicina de Urgencias y VI Jornadas de Ecografía de la semFYC
6-7-8 de febrero de 2025
Atención Primaria
Hombre de 68 años que consulta por bultoma inguinal de 2 semanas de evolución.
Antecedentes personales relevantes, anamnesis, exploración física y lugar que ocupa en ella la ecografía
Antecedentes personales: Hipertensión arterial en tratamiento con candesartan, hipercolesterolemia en tratamiento con Rosuvastatina, fibrilación auricular anticoagulada con edoxaban.
Anamnesis: Bultoma inguinal indoloro derecho de 2 semanas de evolución. Antecedente de ictus isquémico sometido a trombectomía mecánica mediante punción arteria femoral común derecha hace 3 semanas. No déficit motor en extremidad inferior derecha.
Exploración física: bultoma inguinal de 3 x 2 cm de tamaño, duro y pulsátil. No eritematoso, no doloroso a la palpación.
Ante dichos hallazgos, se realiza ecografía en Atención Primaria.
Descripción de los hallazgos ecográficos y las imágenes más relevantes para la resolución del caso
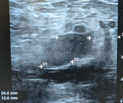
Imagen redondeada hipoecogénica y uniloculada de 25 mm x 12 mm de tamaño. Está conectada con la arteria principal lesionada a través de un cuello (en este caso con la arteria femoral derecha).
El Doppler ayuda a establecer el diagnóstico, ya que dentro de la lesión quística adyacente al vaso, se observa el signo de Yin Yang: flujo anterógrado y retrógrado en distintos colores, en la porción no trombosada.
Otras pruebas complementarias realizadas (si existen)
No se realizaron más pruebas complementarias.
Juicio clínico, diagnóstico diferencial, concordancia con el hospital (en su caso)
En el diagnóstico diferencial, nos planteamos los diferentes posibles diagnósticos: adenopatía reactiva, absceso y pseudoaneurisma. Gracias a la realización de la ecografía, se observó que el bultoma no correspondía con una adenopatía ni un absceso. En el caso del absceso, el paciente no presentó síntomas compatibles con dicho posible diagnóstico: no fiebre, ni eritema del bultoma.
Entre las diferentes opciones diagnósticas, ante sospecha de posible pseudoaneurisma tras realizar trombectomía, se decide derivar de manera preferente a cirugía vascular.
Decisiones adoptadas: tratamiento, planes de actuación
El paciente fue valorado por cirugía vascular a las 24 horas de la interconsulta. Se realizó nuevo Eco-Doppler arterial, confirmando la aparición del pseudoaneurisma. Posteriormente, se ingresó al paciente en el hospital, realizando punción ecoguiada del pseudoaneurisma femoral derecho con inyección de 0,5 ml de trombina consiguiendo trombosis completa del mismo.
Evolución y seguimiento
El paciente presentó resolución completa del bultoma tras trombosis del pseudoaneurisma.
Es importante el diagnóstico precoz de los pseudoaneurismas, ya que su evolución varía desde la trombosis espontánea a la rotura, siendo esta la causa más importante de morbilidad.



