X Jornadas de Actualización en Medicina de Urgencias y VI Jornadas de Ecografía de la semFYC
6-7-8 de febrero de 2025
Atención Primaria.
Pérdida de peso y estreñimiento.
Antecedentes personales relevantes, anamnesis, exploración física y lugar que ocupa en ella la ecografía
Hombre de 64 años, HTA, DM2, cardiopatía isquémica, fumador de 1 paquete por día.
Acude a consulta en enero 2023, refiere 10 días de estreñimiento asociado a pérdida de peso (6 kg en 1 mes) y algún vómito autolimitado.
Exploración, analítica y SOH negativo normales. En control refiere mejoría.
En marzo 2024 acude nuevamente con clínica de estreñimiento y pérdida de 10 kg en 6 meses, astenia y dolor abdominal en hipogastrio. No productos patológicos, no náuseas o vómitos.
EF: peso 77,5 kg. TA 134/87 FC 90 SO2 97%.
Abdomen: palpación de masa en flanco izquierdo.
TR: no se palpa fecaloma, heces blandas.
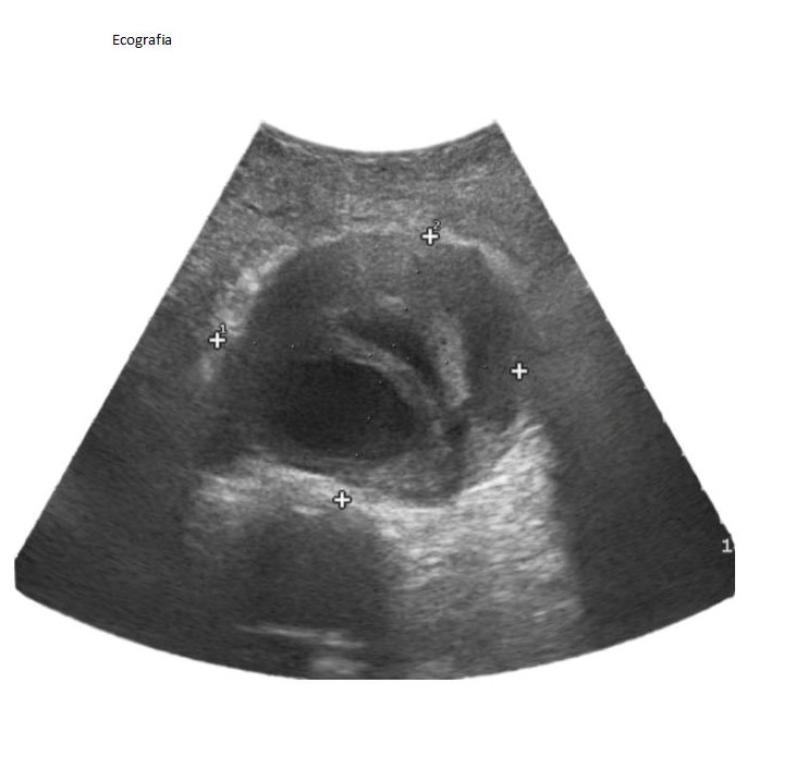
Descripción de los hallazgos ecográficos y las imágenes más relevantes para la resolución del caso
Ecografía en consulta: se observa aorta abdominal aumentado de tamaño > 8 cm.
Es derivado al servicio de urgencias.
A su llegada a urgencias el paciente se encuentra asintomático, no refiere dolor ni náuseas ni vómitos tampoco cortejo vegetativo.
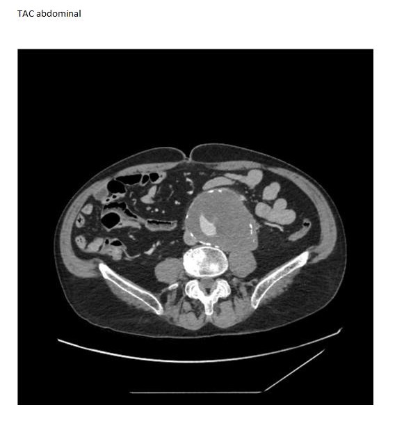
TAC abdominopevico: Aneurisma aorta abdominal (AAA) infrarrenal. Se observan signos de inestabilidad/rotura inminente, diámetro de 10 cm.
Otras pruebas complementarias realizadas (si existen)
Analítica urgencias: HG, bioquímica y coagulación normales.
Rx tórax: sin hallazgos patológicos.
Rx abdomen: dilatación de asas de colon.
Juicio clínico, diagnóstico diferencial, concordancia con el hospital (en su caso)
Juicio clínico: aneurisma de aorta abdominal infrarrenal.
Decisiones adoptadas: tratamiento, planes de actuación
Se realiza IC al servicio de cirugía vascular y se le realiza IQ.
Evolución y seguimiento
Evolución favorable tras la colocación de endoprótesis por aneurisma de AAA infrarrenal.
Actualmente continúa en revisiones periódicas con eco-Doppler y con recomendaciones de no fumar y caminar.
El aneurisma de aorta abdominal (AAA) es una dilatación patológica de la aorta ≥ 3 cm. El sector de la aorta infrarrenal es el más afectado por el proceso ateroesclerótico.
Un 75% de los AAA son asintomáticos y suele ser un hallazgo casual en pruebas de imagen.
La rotura del AAA es la complicación más grave. El riesgo de rotura es más frecuente en los AAA ≥ 5,5 cm y conlleva una mortalidad prehospitalaria del 60%.
Con este caso queremos reafirmar la importancia de la ecografía como apoyo diagnóstico, ya que es un método rápido, seguro, no invasivo, de bajo costo y sencillo, que nos permite acortar tiempo de diagnóstico y de espera y así agilizar la resolución del caso.

