V Jornadas de Ecografía de la semFYC
9 y 10 de febrero de 2024
Enfoque individual
Antecedentes personales: Paciente con glomerulonefritis crónica, anemia mixta. Posteriormente de haber sufrido COVID sin precisar ingreso, presenta pérdida de peso y astenia en la analítica actual destaca leucocitosis y PCR alta.
Orientación: descartar síndrome Post-Covid en paciente con patología renal grave y anemia mixta, sin poder descartar proceso neoplásico.
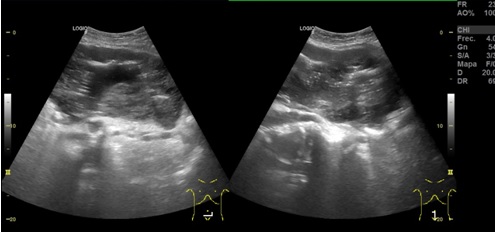
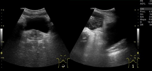
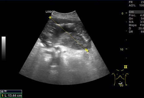
Hallazgos ecográficos
Hallazgos ecográficos: en región umbilical se aprecia una neoformación de contenido heterogéneo de unos 15 cm de diámetro. Imágenes compatibles con Esteatosis hepática. Quistes renales derechos. Esplenomegali.
Pruebas complementarias
TAC Abdominal: Gran masa intrabdominal en mesogastrio, hipogastrio y flanco izquierdo, de 15,8 cm, con paredes abultadas y contenido hidro-aéreo. Contacta con asas de intestino delgado, sigma y pared abdominal anterior. El origen de la masa es un asa intestinal probablemente. Sospechoso de malignidad. Adenopatías peritoneales adyacentes a la masa, de hasta 16 mm. No signos de oclusión intestinal.
Juicio clínico, diagnóstico diferencial, identificación de problemas
Masa Abdominal a estudio. En el Hospital se confirma Tumor de Estroma Intestinal (GIST).
Tratamiento y planes de actuación
El paciente ingresó de manera programada para intervención por GIST: requiere dos anastomosis de intestino delgado y colostomía terminal.
Evolución
Posteriormente candidato a tratamiento con Imatinib. Siendo la evolución del paciente satisfactorio.
El Tumor de Estroma Intestinal (GIST) es un sarcoma de partes blandas, pero se comporta diferente al resto de sarcomas. Pueden surgir en cualquier punto desde el esófago hasta el ano. Durante años se ha confundido el GIST con el leiomiosarcoma intestinal. La diferencia es crucial, ya que mientras el GIST es muy sensible al tratamiento con imatinib en los casos que sea necesario, el leiomiosarcoma es completamente resistente a su acción. La cirugía es el tratamiento clásico de los GIST y hay que valorar cuándo asociar tratamiento con Imatinib.
Destacamos que en este caso gracias a la Ecografía Abdominal realizada en Atención Primaria se ganó tiempo para agilizar el diagnóstico y que el paciente pudiera recibir el tratamiento adecuado con más premura.
