X Jornadas de Actualización en Medicina de Urgencias y VI Jornadas de Ecografía de la semFYC
6-7-8 de febrero de 2025
Servicio de Urgencias hospitalarias.
Dolor torácico y disnea.
Enfoque individual: antecedentes personales, anamnesis, exploración, pruebas complementarias, etc.
Antecedentes personales: HTA, DLP, DM tipo 2. Trombosis venosas de senos sigmoides y transversos con extensión a yugular derecha de causa indeterminada y tromboembolismo pulmonar segmentario en 2021, sin anticoagulación actual por hematoma subdural agudo espontáneo con tratamiento con Acenocumarol. Artropatía psoriásica.
Tratamiento habitual: losartan/hidroclorotiazida 100/25 mg 1-0-0; Dapagliflozina/metformina 5/850 mg 1-0-1; Simvastatina/ezetimiba 40/10 mg 1-0-0; Metotrexato 25 SC semanal, Folinato cálcico 15 mg semanal.
Anamnesis: Varón de 68 años que acude por dolor torácico de características pleuríticas y disnea de 4 días de evolución. En las últimas horas asocia mareo, por lo que decide consultar. Afebril. No presenta otra sintomatología acompañante.
Exploración física: anodina salvo taquicardia a 110 lpm y taquipnea a 24 rpm.
Electrocardiograma: Ritmo sinusal a unos 110 lpm, PR normal, QRS estrecho con eje normal, ondas T negativas en cara inferior y derivaciones precordiales.
Juicio clínico, diagnóstico diferencial, identificación de problemas
Diagnóstico diferencial entre tromboembolismo pulmonar e infarto agudo de miocardio.
Tratamiento y planes de actuación.
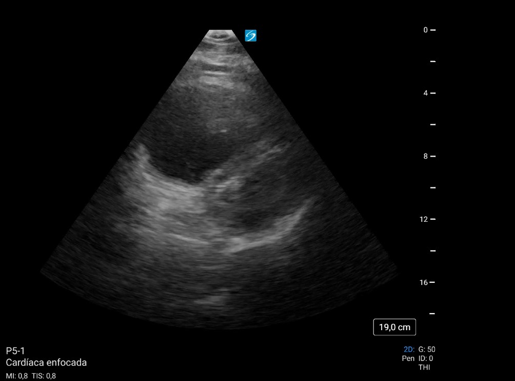
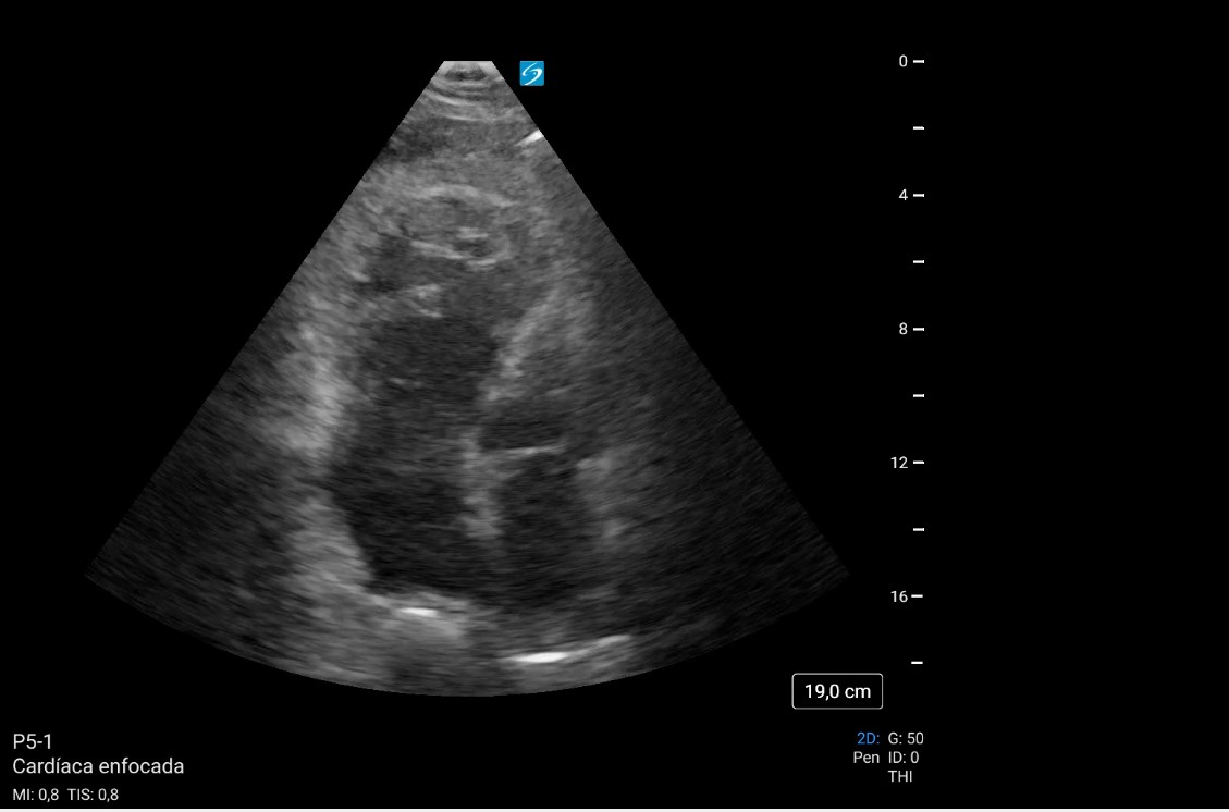
Se decide realizar ecocardiografía clínica para valorar las cavidades cardíacas, observando datos de sobrecarga derecha y una imagen compatible con trombo en ventrículo derecho: signos indirectos de TEP, confirmando alta sospecha, iniciando anticoagulación y solicitando angioTC directamente.
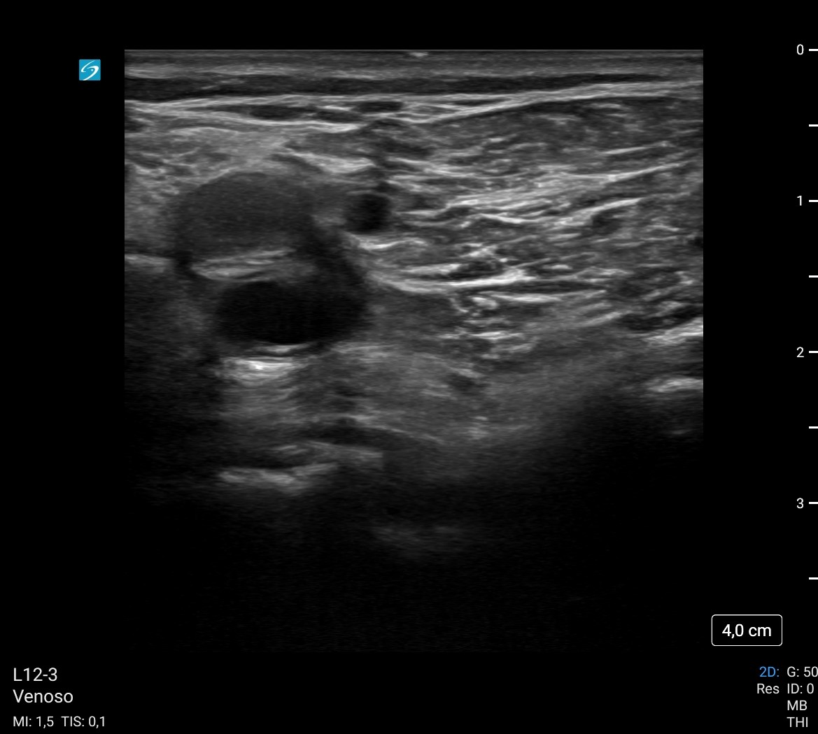
Asimismo, realizo ecografía clínica de sistema venoso profundo, observando una imagen hiperecogénica en vena poplítea, que no colapsa, todo ello compatible con TVP (a pesar de que el paciente tenía una exploración de EEII anodina).
Evolución
El angioTC pulmonar solicitado confirmó nuestra sospecha: TEP bilateral, proximal y distal, con signos de hipertensión pulmonar y sobrecarga cardíaca derecha. Posteriormente, ingresó en Medicina Intensiva, donde se confirmaron la presencia de trombo intraventricular de 7-8 cm y la TVP poplítea. Se continuó con anticoagulación y el paciente evolucionó favorablemente.
La ecografía clínica aceleró el diagnóstico diferencial de dolor torácico y disnea, de forma que se pudo iniciar la anticoagulación a los pocos minutos del inicio de la atención sanitaria, previo al resultado de pruebas complementarias. Asimismo, permitió solicitar y realizar un angioTC pulmonar de manera más rápida, optimizando el manejo del paciente.


